Skip to content

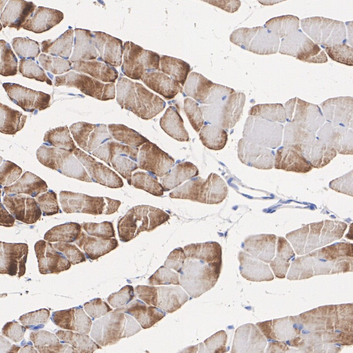
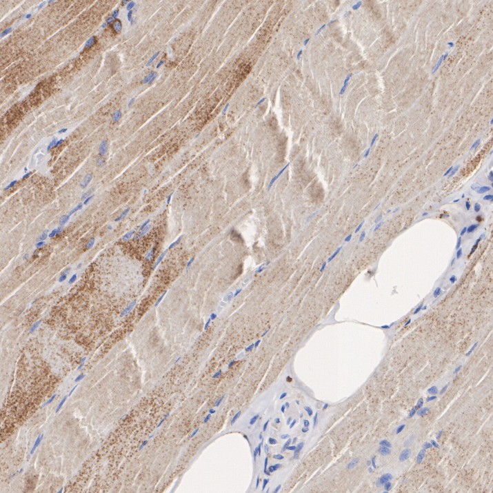
Hexokinase II Recombinant Rabbit Monoclonal Antibody [PSH07-97]

RMB: 900 特惠 1500

产品规格

Catalog# HA722933

Hexokinase II Recombinant Rabbit Monoclonal Antibody [PSH07-97]

Application
  • WB

  • IHC-P

  • IF-Cell

  • FC

  • IP

Reactivity
  • Human

  • Mouse

  • Rat

  • Monkey

BSA and Azide free
Conjugation
  • unconjugated

This product has been cited in peer reviewed publications, see list HERE
Close (esc)

Popup

Use this popup to embed a mailing list sign up form. Alternatively use it as a simple call to action with a link to a product or a page.

Age verification

By clicking enter you are verifying that you are old enough to consume alcohol.

搜索