Hexokinase 2 also known as HK2 is an enzyme which in humans is encoded by the HK2 gene on chromosome 2. Hexokinases phosphorylate glucose to produce glucose-6-phosphate (G6P), the first step in most glucose metabolism pathways. This gene encodes hexokinase 2, the predominant form found in skeletal muscle. It localizes to the outer membrane of mitochondria. As an isoform of hexokinase and a member of the sugar kinase family, HK2 catalyzes the rate-limiting and first obligatory step of glucose metabolism, which is the ATP-dependent phosphorylation of glucose to G6P. Physiological levels of G6P can regulate this process by inhibiting HK2 as negative feedback, though inorganic phosphate (Pi) can relieve G6P inhibition. Pi can also directly regulate HK2, and the double regulation may better suit its anabolic functions. By phosphorylating glucose, HK2 effectively prevents glucose from leaving the cell and, thus, commits glucose to energy metabolism. Moreover, its localization and attachment to the OMM promotes the coupling of glycolysis to mitochondrial oxidative phosphorylation, which greatly enhances ATP production to meet the cell’s energy demands. Specifically, HK2 binds VDAC to trigger opening of the channel and release mitochondrial ATP to further fuel the glycolytic process.
背景文献
1. Rho H et al. Hexokinase 2-mediated gene expression via histone lactylation is required for hepatic stellate cell activation and liver fibrosis. Cell Metab. 2023 Aug
2. Leng L et al. Microglial hexokinase 2 deficiency increases ATP generation through lipid metabolism leading to beta-amyloid clearance. Nat Metab. 2022 Oct
Western blot analysis of Hexokinase II on different lysates with Rabbit anti-Hexokinase II antibody (HA723033) at 1/2,000 dilution.
Lane 1: HeLa cell lysate (20 µg/Lane) Lane 2: 293T cell lysate (20 µg/Lane) Lane 3: HepG2 cell lysate (20 µg/Lane) Lane 4: Jurkat cell lysate (20 µg/Lane) Lane 5: A549 cell lysate (negative) (20 µg/Lane) Lane 6: LNCaP cell lysate (20 µg/Lane) Lane 7: NIH/3T3 cell lysate (20 µg/Lane) Lane 8: 4T1 cell lysate (20 µg/Lane) Lane 9: PC-12 cell lysate (20 µg/Lane) Lane 10: Mouse skeletal muscle tissue lysate (40 µg/Lane) Lane 11: Mouse testis tissue lysate (40 µg/Lane) Lane 12: Rat skeletal muscle tissue lysate (40 µg/Lane) Lane 13: Rat testis tissue lysate (40 µg/Lane)
Predicted band size: 102 kDa Observed band size: 102 kDa
Exposure time: 2 minutes 18 seconds; ECL: K1801;
4-20% SDS-PAGE gel.
Proteins were transferred to a PVDF membrane and blocked with 5% NFDM/TBST for 1 hour at room temperature. The primary antibody (HA723033) at 1/2,000 dilution was used in 5% NFDM/TBST at 4℃ overnight. Goat Anti-Rabbit IgG - HRP Secondary Antibody (HA1001) at 1/50,000 dilution was used for 1 hour at room temperature.
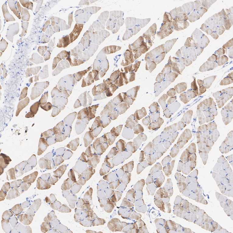
Immunohistochemical analysis of paraffin-embedded mouse skeletal muscle tissue with Rabbit anti-Hexokinase II antibody (HA723033) at 1/200 dilution.
The section was pre-treated using heat mediated antigen retrieval with Tris-EDTA buffer (pH 9.0) for 20 minutes. The tissues were blocked in 1% BSA for 20 minutes at room temperature, washed with ddH2O and PBS, and then probed with the primary antibody (HA723033) at 1/200 dilution for 1 hour at room temperature. The detection was performed using an HRP conjugated compact polymer system. DAB was used as the chromogen. Tissues were counterstained with hematoxylin and mounted with DPX.
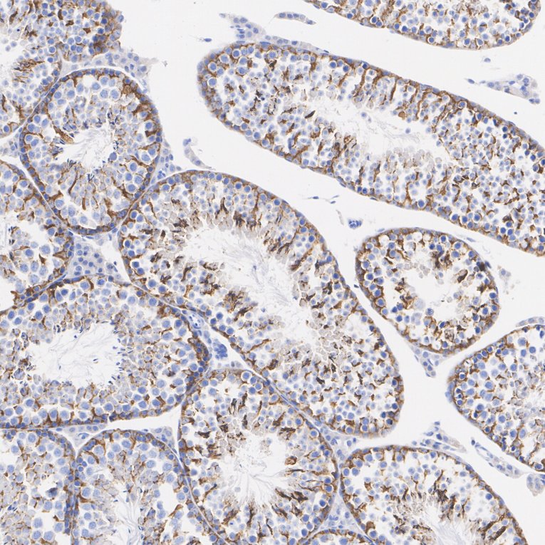
Immunohistochemical analysis of paraffin-embedded mouse testis tissue with Rabbit anti-Hexokinase II antibody (HA723033) at 1/1,000 dilution.
The section was pre-treated using heat mediated antigen retrieval with Tris-EDTA buffer (pH 9.0) for 20 minutes. The tissues were blocked in 1% BSA for 20 minutes at room temperature, washed with ddH2O and PBS, and then probed with the primary antibody (HA723033) at 1/1,000 dilution for 1 hour at room temperature. The detection was performed using an HRP conjugated compact polymer system. DAB was used as the chromogen. Tissues were counterstained with hematoxylin and mounted with DPX.
Immunocytochemistry analysis of PC-12 cells labeling Hexokinase II with Rabbit anti-Hexokinase II antibody (HA723033) at 1/50 dilution.
Cells were fixed in 4% paraformaldehyde for 15 minutes at room temperature, permeabilized with 0.1% Triton X-100 in PBS for 15 minutes at room temperature, then blocked with 1% BSA in 10% negative goat serum for 1 hour at room temperature. Cells were then incubated with Rabbit anti-Hexokinase II antibody (HA723033) at 1/50 dilution in 1% BSA in PBST overnight at 4 ℃. Goat Anti-Rabbit IgG H&L (iFluor™ 488, HA1121) was used as the secondary antibody at 1/1,000 dilution. PBS instead of the primary antibody was used as the secondary antibody only control. Nuclear DNA was labelled in blue with DAPI.
Beta tubulin (HA601187, red) was stained at 1/100 dilution overnight at +4℃. Goat Anti-Mouse IgG H&L (iFluor™ 594, HA1126) was used as the secondary antibody at 1/1,000 dilution.
Hexokinase II was immunoprecipitated from 0.2 mg HeLa cell lysate with HA723033 at 2 µg/10 µl beads. Western blot was performed from the immunoprecipitate using HA723033 at 1/2,000 dilution. Mouse Anti-Rabbit IgG kappa light chain secondary antibody (M1208-2) at 1/5,000 dilution was used for 1 hour at room temperature.
Lane 1: HeLa cell lysate (input) Lane 2: HA723033 IP in HeLa cell lysate Lane 3: Rabbit IgG instead of HA723033 in HeLa cell lysate