Catalog# HA721282
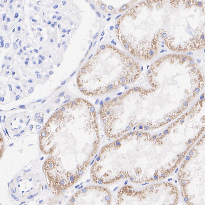
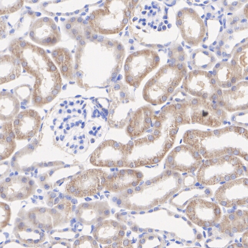
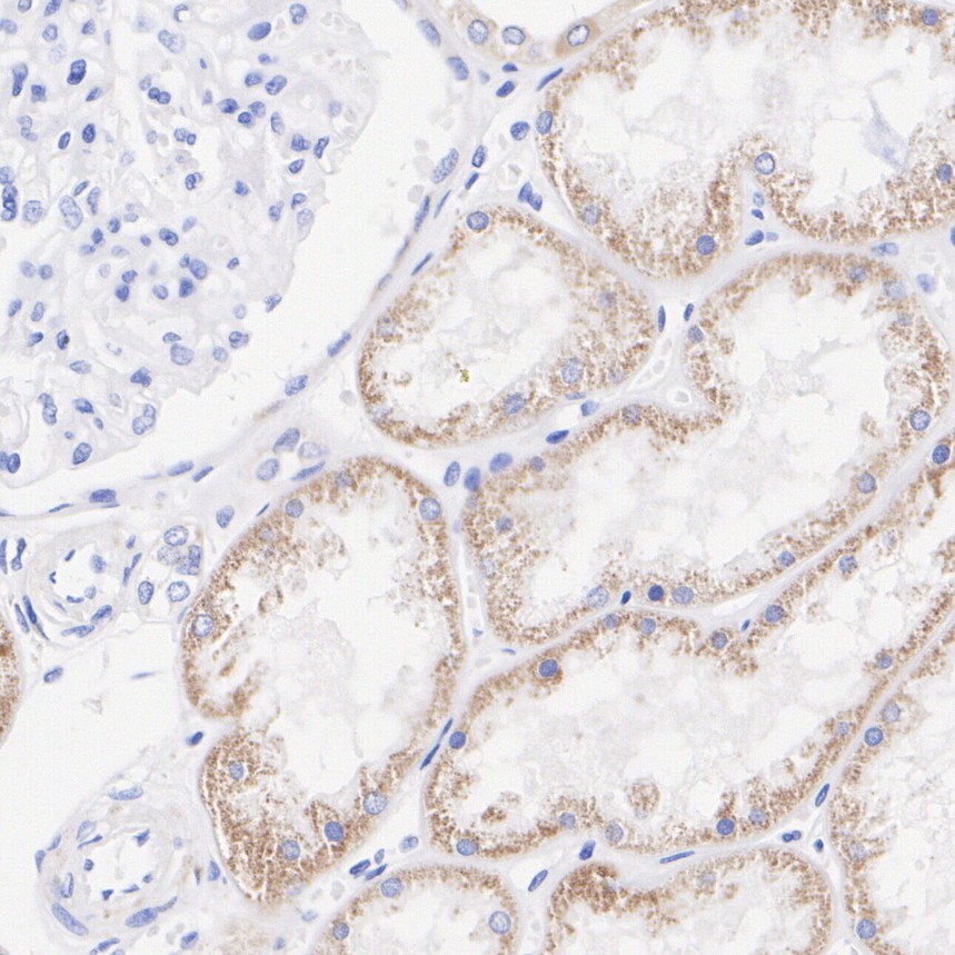
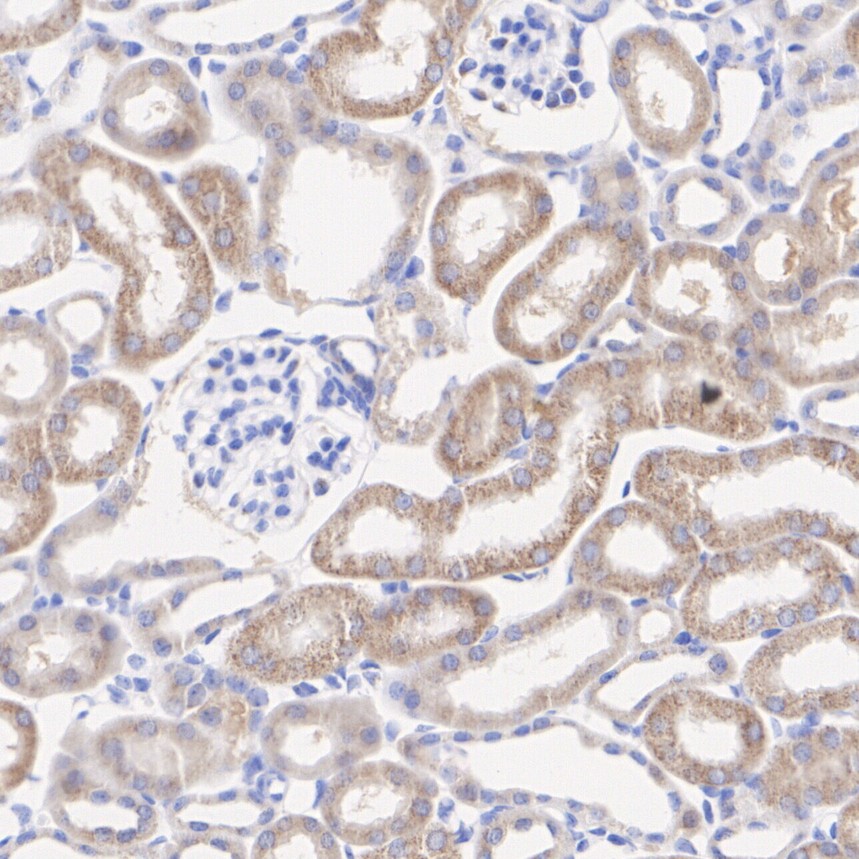
GM130 Recombinant Rabbit Monoclonal Antibody [JE42-53]
Application
-
WB
-
IHC-P
-
IF-Cell
Reactivity
-
Human
-
Mouse
Conjugation
-
unconjugated
This product has been cited in peer reviewed publications, see list HERE

浙公网安备 33019202000643号