图片
-
Western blot analysis of DYKDDDDK Tag (FLAG) on different lysates with Mouse anti-DYKDDDDK Tag (FLAG) antibody (HA610054) at 1/5,000 dilution.
Lane 1: HeLa cell lysate
Lane 2: HeLa transfected with FLAG-tagged Histon H3.1 (N-terminal) cell lysate
Lysates/proteins at 5 µg/Lane.
Predicted band size: 15 kDa
Observed band size: 18 kDa
Exposure time: 1 minute 30 seconds;
4-20% SDS-PAGE gel.
Proteins were transferred to a PVDF membrane and blocked with 5% NFDM/TBST for 1 hour at room temperature. The primary antibody (HA610054) at 1/5,000 dilution was used in 5% NFDM/TBST at 4℃ overnight. Goat Anti-Mouse IgG - HRP Secondary Antibody (HA1006) at 1/50,000 dilution was used for 1 hour at room temperature.
-
Western blot analysis of DYKDDDDK Tag (FLAG) on different lysates with Mouse anti-DYKDDDDK Tag (FLAG) antibody (HA610054) at 1/5,000 dilution.
Lane 1: L-929 cell lysate
Lane 2: L-929 transfected with FLAG-tagged CD5 (C-terminal) cell lysate
Lysates/proteins at 5 µg/Lane.
Predicted band size: 65 kDa
Observed band size: 65 kDa
Exposure time: 1 minute 59 seconds;
4-20% SDS-PAGE gel.
Proteins were transferred to a PVDF membrane and blocked with 5% NFDM/TBST for 1 hour at room temperature. The primary antibody (HA610054) at 1/5,000 dilution was used in 5% NFDM/TBST at room temperature for 2 hours. Goat Anti-Mouse IgG - HRP Secondary Antibody (HA1006) at 1/50,000 dilution was used for 1 hour at room temperature.
-
DYKDDDDK Tag (FLAG) was immunoprecipitated from 0.2 mg 293T transfected with FLAG-tagged PD-L1 (C-terminal) cell lysate with HA610054 at 2 µg/10 µl beads. Western blot was performed from the immunoprecipitate using HA610054 at 1/20,000 dilution. Anti-Mouse IgG for IP Nano-secondary antibody (NBI02H) at 1/5,000 dilution was used for 1 hour at room temperature.
Lane 1: 293T transfected with FLAG-tagged PD-L1 (C-terminal) cell lysate (input)
Lane 2: HA610054 IP in 293T transfected with FLAG-tagged PD-L1 (C-terminal) cell lysate
Lane 3: Mouse IgG instead of HA610054 in 293T transfected with FLAG-tagged PD-L1 (C-terminal) cell lysate
Blocking/Dilution buffer: primary antibody dilution (K1803)
Exposure time: 2 seconds; ECL: K1801
-
DYKDDDDK Tag (FLAG) was immunoprecipitated from 0.2 mg 293T transfected with FLAG-tagged MYRF (N-terminal) cell lysate with HA610054 at 2 µg/10 µl beads. Western blot was performed from the immunoprecipitate using HA610054 at 1/20,000 dilution. Anti-Mouse IgG for IP Nano-secondary antibody (NBI02H) at 1/5,000 dilution was used for 1 hour at room temperature.
Lane 1: 293T transfected with FLAG-tagged MYRF (N-terminal) cell lysate (input)
Lane 2: HA610054 IP in 293T transfected with FLAG-tagged MYRF (N-terminal) cell lysate
Lane 3: Mouse IgG instead of HA610054 in 293T transfected with FLAG-tagged MYRF (N-terminal) cell lysate
Blocking/Dilution buffer: primary antibody dilution (K1803)
Exposure time: 2 seconds; ECL: K1801
-
Immunohistochemical analysis of paraffin-embedded HeLa transfected with FLAG-tagged Claudin 18.2 (C-terminal) cells with Mouse anti-DYKDDDDK Tag (FLAG) antibody (HA610054) at 1/1,000 dilution.
The section was pre-treated using heat mediated antigen retrieval with Tris-EDTA buffer (pH 9.0) for 20 minutes. The tissues were blocked in 1% BSA for 20 minutes at room temperature, washed with ddH2O and PBS, and then probed with the primary antibody (HA610054) at 1/1,000 dilution for 1 hour at room temperature. The detection was performed using an HRP conjugated compact polymer system. DAB was used as the chromogen. Tissues were counterstained with hematoxylin and mounted with DPX.
-
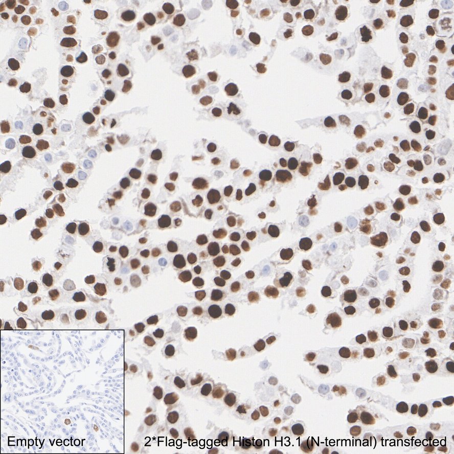
Immunohistochemical analysis of paraffin-embedded HeLa transfected with 2*FLAG-tagged Histone H3.1 (N-terminal) cells with Mouse anti-DYKDDDDK Tag (FLAG) antibody (HA610054) at 1/1,000 dilution.
The section was pre-treated using heat mediated antigen retrieval with Tris-EDTA buffer (pH 9.0) for 20 minutes. The tissues were blocked in 1% BSA for 20 minutes at room temperature, washed with ddH2O and PBS, and then probed with the primary antibody (HA610054) at 1/1,000 dilution for 1 hour at room temperature. The detection was performed using an HRP conjugated compact polymer system. DAB was used as the chromogen. Tissues were counterstained with hematoxylin and mounted with DPX.
-
Immunocytochemistry analysis of HeLa cells labeling DYKDDDDK Tag (FLAG) with Mouse anti-DYKDDDDK Tag (FLAG) antibody (HA610054) at 1/1,000 dilution.
HeLa cells, transfected with empty control (top, negative) / Flag-tagged Claudin 18.2 (C-terminal) (middle, positive) / 2*Flag-tagged Histon H3.1 (N-terminal) (bottom, positive) expression vector, respectively, were fixed in 4% paraformaldehyde for 15 minutes at room temperature, permeabilized with 0.1% Triton X-100 in PBS for 15 minutes at room temperature, then blocked with 1% BSA in 10% negative goat serum for 1 hour at room temperature. Cells were then incubated with Mouse anti-DYKDDDDK Tag (FLAG) antibody (HA610054) at 1/1,000 dilution in 1% BSA in PBST overnight at 4 ℃. Goat Anti-Mouse IgG H&L (iFluor™ 594, HA1126) was used as the secondary antibody at 1/1,000 dilution. PBS instead of the primary antibody was used as the secondary antibody only control. Nuclear DNA was labelled in blue with DAPI.
DYKDDDDK Tag (FLAG) (HA724169, green) was stained at 1/1,000 dilution overnight at +4℃. Goat Anti-Rabbit IgG H&L (iFluor™ 488, HA1121) was used as the secondary antibody at 1/1,000 dilution.
请注意: All products are "FOR RESEARCH USE ONLY AND ARE NOT INTENDED FOR DIAGNOSTIC OR THERAPEUTIC USE"