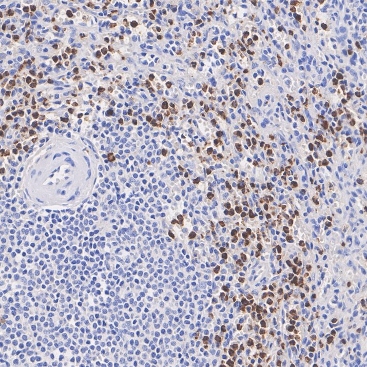
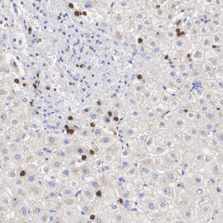
Catalog# HA500252
Granzyme B Rabbit Polyclonal Antibody
Application
-
IHC-P
-
mIHC
Reactivity
-
Human
This product has been cited in peer reviewed publications, see list HERE

