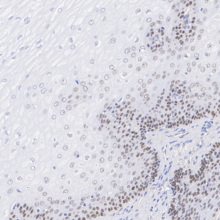
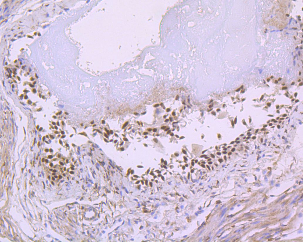
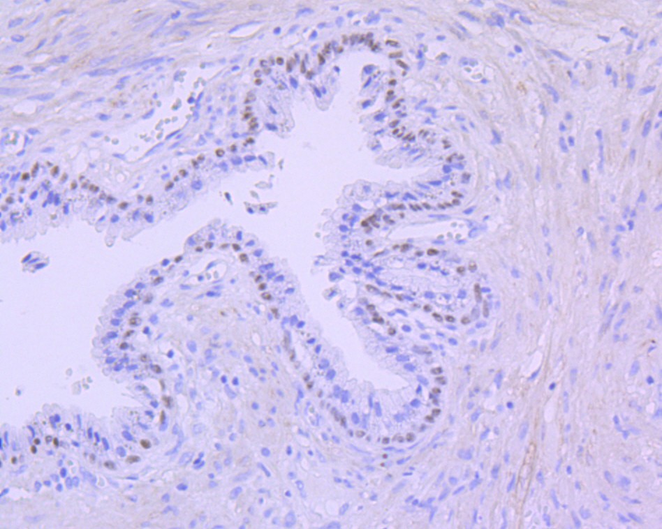
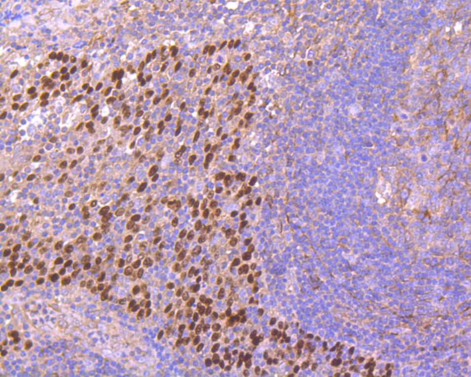
Catalog# ET7110-47
p63 Recombinant Rabbit Monoclonal Antibody [JE53-53]
Application
-
WB
-
IF-Cell
-
IHC-P
Reactivity
-
Human
-
Mouse

