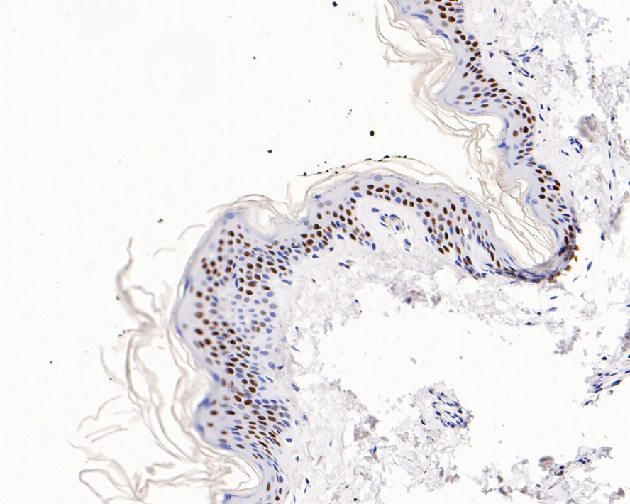
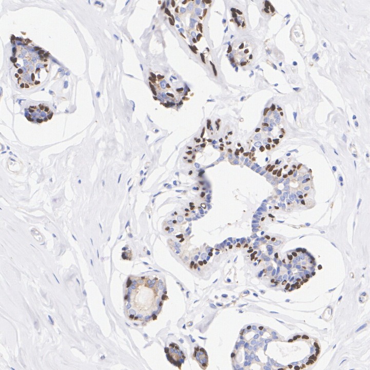
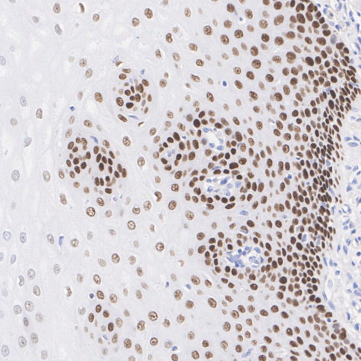
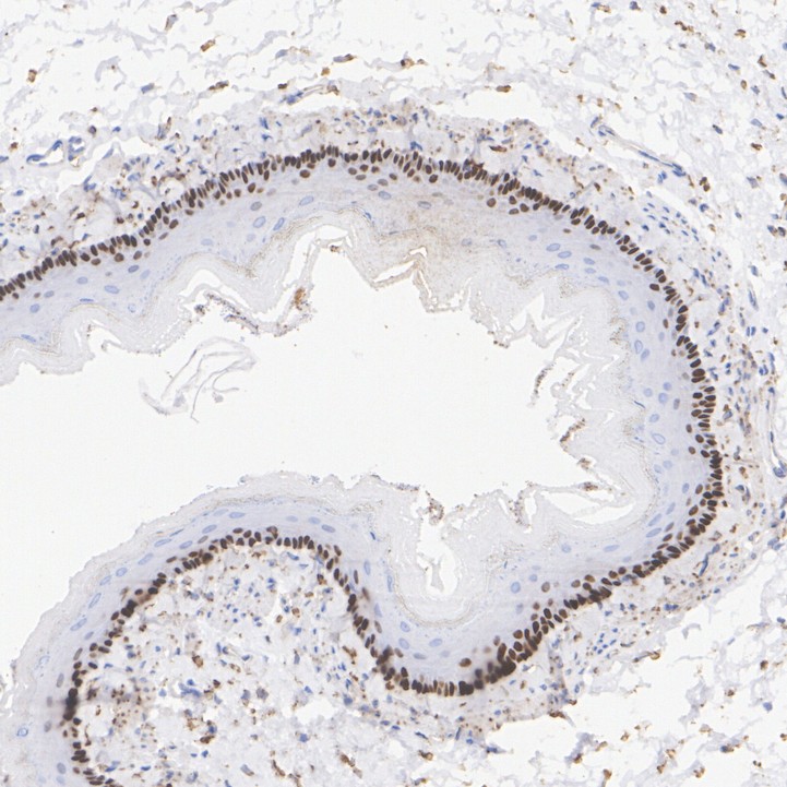
Catalog# ET1610-44
p63 Recombinant Rabbit Monoclonal Antibody [SC06-31]
Application
-
WB
-
IF-Cell
-
IF-Tissue
-
IHC-P
-
FC
Reactivity
-
Human
-
Mouse
-
Rat
This product has been cited in peer reviewed publications, see list HERE

