Zinc finger protein GLI1 also known as glioma-associated oncogene is a protein that in humans is encoded by the GLI1 gene. It was originally isolated from human glioblastoma cells. The Gli proteins are the effectors of Hedgehog (Hh) signaling and have been shown to be involved in cell fate determination, proliferation and patterning in many cell types and most organs during embryo development. In the developing spinal cord the target genes of Gli proteins, that are themselves transcription factors, are arranged into a complex gene regulatory network that translates the extracellular concentration gradient of Sonic hedgehog into different cell fates along the dorsoventral axis. The Gli transcription factors activate/inhibit transcription by binding to Gli responsive genes and by interacting with the transcription complex. The Gli transcription factors have DNA binding zinc finger domains which bind to consensus sequences on their target genes to initiate or suppress transcription.
背景文献
1. Li P et al. Nestin Mediates Hedgehog Pathway Tumorigenesis. Cancer Res 76:5573-83 (2016).
2. Smirnova NF et al. Detection and quantification of epithelial progenitor cell populations in human healthy and IPF lungs. Respir Res 17:83 (2016).
序列相似性
Belongs to the GLI C2H2-type zinc-finger protein family.
组织特异性
Detected in testis (at protein level). Testis, myometrium and fallopian tube. Also expressed in the brain with highest expression in the cerebellum, optic nerve and olfactory tract. Isoform 1 is detected in brain, spleen, pancreas, liver, kidney and placenta; isoform 2 is not detectable in these tissues.
翻译后修饰
Phosphorylated in vitro by ULK3.; Acetylation at Lys-518 down-regulates transcriptional activity. Deacetylated by HDAC1.
Western blot analysis of Gli1 on different lysates with Rabbit anti-Gli1 antibody (ET1702-85) at 1/1,000 dilution.
Lane 1: K-562 cell lysate Lane 2: HeLa cell lysate
Lysates/proteins at 20 µg/Lane.
Predicted band size: 118 kDa Observed band size: 150 kDa
Exposure time: 59 seconds;
4-20% SDS-PAGE gel.
Proteins were transferred to a PVDF membrane and blocked with 5% NFDM/TBST for 1 hour at room temperature. The primary antibody (ET1702-85) at 1/1,000 dilution was used in 5% NFDM/TBST at 4℃ overnight. Goat Anti-Rabbit IgG - HRP Secondary Antibody (HA1001) at 1/50,000 dilution was used for 1 hour at room temperature.
Western blot analysis of Gli1 on different lysates with Rabbit anti-Gli1 antibody (ET1702-85) at 1/1,000 dilution.
Lane 1: Mouse brain tissue lysate Lane 2: Rat brain tissue lysate
Lysates/proteins at 20 µg/Lane.
Predicted band size: 118 kDa Observed band size: 150 kDa
Exposure time: 1 minute 22 seconds;
4-20% SDS-PAGE gel.
Proteins were transferred to a PVDF membrane and blocked with 5% NFDM/TBST for 1 hour at room temperature. The primary antibody (ET1702-85) at 1/1,000 dilution was used in 5% NFDM/TBST at 4℃ overnight. Goat Anti-Rabbit IgG - HRP Secondary Antibody (HA1001) at 1/50,000 dilution was used for 1 hour at room temperature.
Immunocytochemistry analysis of HeLa cells labeling Gli1 with Rabbit anti-Gli1 antibody (ET1702-85) at 1/100 dilution.
Cells were fixed in 4% paraformaldehyde for 20 minutes at room temperature, permeabilized with 0.1% Triton X-100 in PBS for 5 minutes at room temperature, then blocked with 1% BSA in 10% negative goat serum for 1 hour at room temperature. Cells were then incubated with Rabbit anti-Gli1 antibody (ET1702-85) at 1/100 dilution in 1% BSA in PBST overnight at 4 ℃. Goat Anti-Rabbit IgG H&L (iFluor™ 488, HA1121) was used as the secondary antibody at 1/1,000 dilution. PBS instead of the primary antibody was used as the secondary antibody only control. Nuclear DNA was labelled in blue with DAPI.
Beta tubulin (M1305-2, red) was stained at 1/100 dilution overnight at +4℃. Goat Anti-Mouse IgG H&L (iFluor™ 594, HA1126) was used as the secondary antibody at 1/1,000 dilution.
Immunocytochemistry analysis of Neuro-2a cells labeling Gli1 with Rabbit anti-Gli1 antibody (ET1702-85) at 1/100 dilution.
Cells were fixed in 4% paraformaldehyde for 20 minutes at room temperature, permeabilized with 0.1% Triton X-100 in PBS for 5 minutes at room temperature, then blocked with 1% BSA in 10% negative goat serum for 1 hour at room temperature. Cells were then incubated with Rabbit anti-Gli1 antibody (ET1702-85) at 1/100 dilution in 1% BSA in PBST overnight at 4 ℃. Goat Anti-Rabbit IgG H&L (iFluor™ 488, HA1121) was used as the secondary antibody at 1/1,000 dilution. PBS instead of the primary antibody was used as the secondary antibody only control. Nuclear DNA was labelled in blue with DAPI.
Beta tubulin (M1305-2, red) was stained at 1/100 dilution overnight at +4℃. Goat Anti-Mouse IgG H&L (iFluor™ 594, HA1126) was used as the secondary antibody at 1/1,000 dilution.
Immunocytochemistry analysis of C6 cells labeling Gli1 with Rabbit anti-Gli1 antibody (ET1702-85) at 1/100 dilution.
Cells were fixed in 4% paraformaldehyde for 20 minutes at room temperature, permeabilized with 0.1% Triton X-100 in PBS for 5 minutes at room temperature, then blocked with 1% BSA in 10% negative goat serum for 1 hour at room temperature. Cells were then incubated with Rabbit anti-Gli1 antibody (ET1702-85) at 1/100 dilution in 1% BSA in PBST overnight at 4 ℃. Goat Anti-Rabbit IgG H&L (iFluor™ 488, HA1121) was used as the secondary antibody at 1/1,000 dilution. PBS instead of the primary antibody was used as the secondary antibody only control. Nuclear DNA was labelled in blue with DAPI.
Beta tubulin (M1305-2, red) was stained at 1/100 dilution overnight at +4℃. Goat Anti-Mouse IgG H&L (iFluor™ 594, HA1126) was used as the secondary antibody at 1/1,000 dilution.
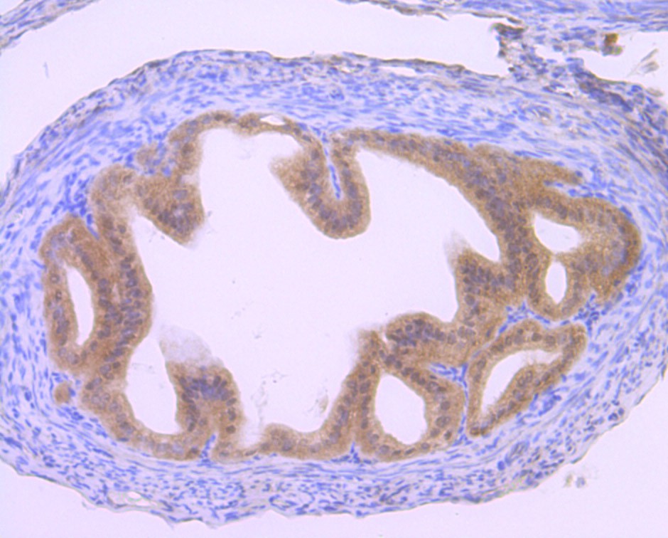
Immunohistochemical analysis of paraffin-embedded mouse fallopian tissue using anti-Gli1 antibody. The section was pre-treated using heat mediated antigen retrieval with Tris-EDTA buffer (pH 8.0-8.4) for 20 minutes.The tissues were blocked in 5% BSA for 30 minutes at room temperature, washed with ddH2O and PBS, and then probed with the primary antibody (ET1702-85, 1/50) for 30 minutes at room temperature. The detection was performed using an HRP conjugated compact polymer system. DAB was used as the chromogen. Tissues were counterstained with hematoxylin and mounted with DPX.
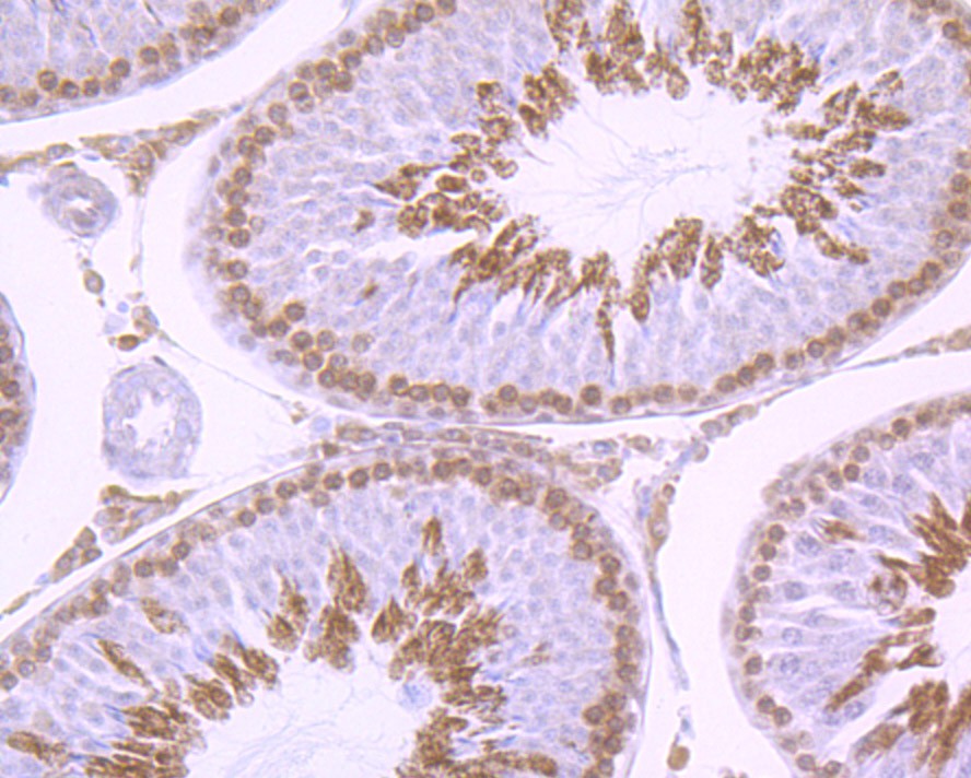
Immunohistochemical analysis of paraffin-embedded rat testis tissue using anti-Gli1 antibody. The section was pre-treated using heat mediated antigen retrieval with Tris-EDTA buffer (pH 8.0-8.4) for 20 minutes.The tissues were blocked in 5% BSA for 30 minutes at room temperature, washed with ddH2O and PBS, and then probed with the primary antibody (ET1702-85, 1/50) for 30 minutes at room temperature. The detection was performed using an HRP conjugated compact polymer system. DAB was used as the chromogen. Tissues were counterstained with hematoxylin and mounted with DPX.
请注意: All products are "FOR RESEARCH USE ONLY AND ARE NOT INTENDED FOR DIAGNOSTIC OR THERAPEUTIC USE"