Catalog# ET1702-72
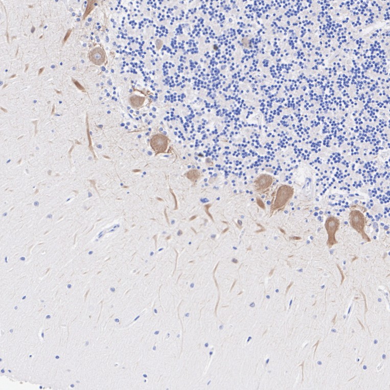
NF-H Recombinant Rabbit Monoclonal Antibody [JF99-07]
Application
-
WB
-
IHC-P
-
IHC-Fr
-
IF-Tissue
Reactivity
-
Human
-
Mouse
-
Rat
Predicted reactivity
预测的种属支持售后
-
Cynomolgus monkey
-
Pig
This product has been cited in peer reviewed publications, see list HERE

