Catalog# HA601581
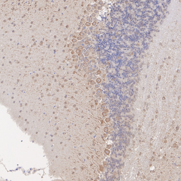
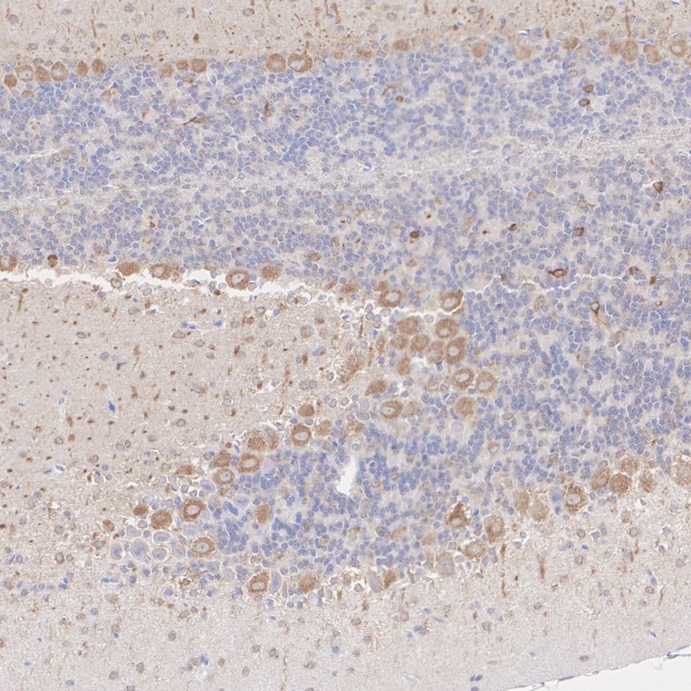
NF-H Recombinant Antibody [JF99-07] - Guinea pig IgG2 (Chimeric)
Application
-
IHC-P
Reactivity
-
Human
-
Mouse
-
Rat
BSA and Azide free
-
HA610393
不含抗保成分
Conjugation
-
unconjugated


浙公网安备 33019202000643号