Catalog# ET1701-24
CD36 Recombinant Rabbit Monoclonal Antibody [JJ2005]
Application
-
WB
-
IF-Cell
-
IF-Tissue
-
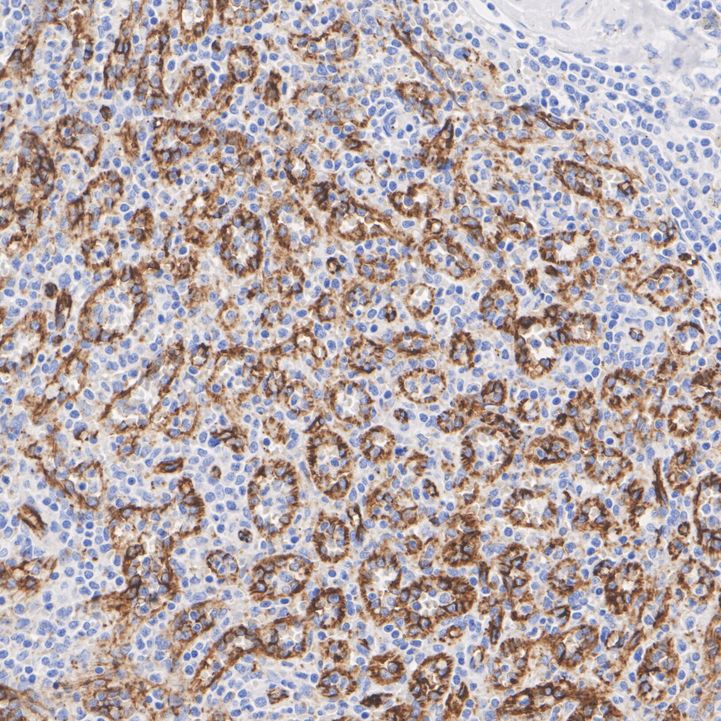
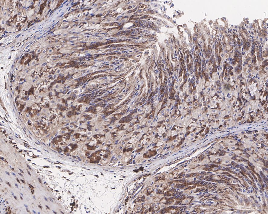
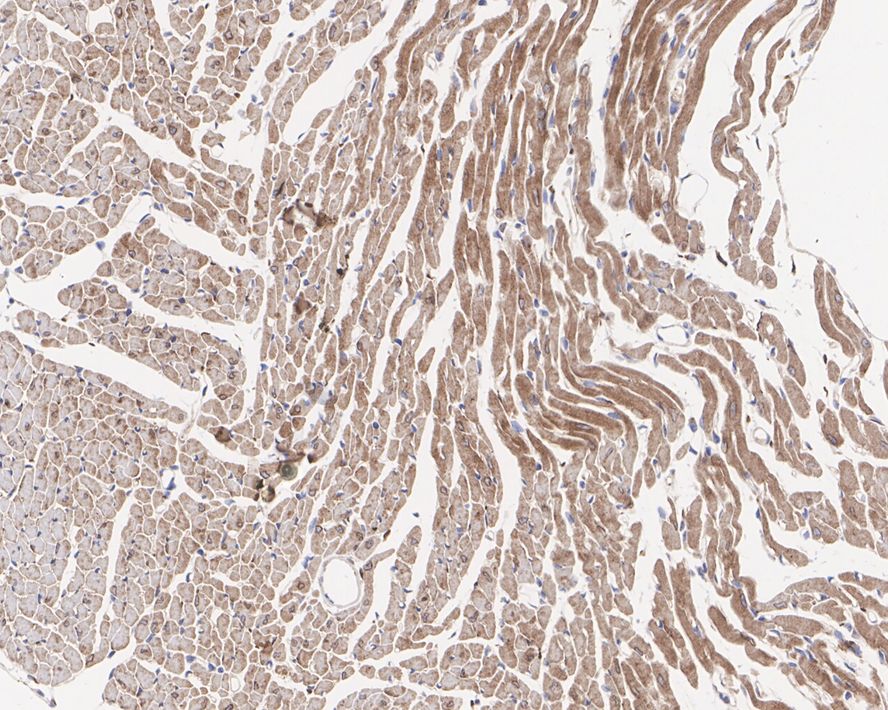
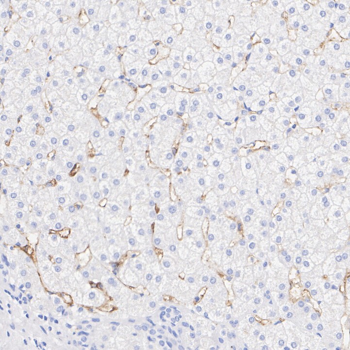
IHC-P
-
IP
Reactivity
-
Human
-
Mouse
BSA and Azide free
-
HA750307
不含抗保成分
Predicted reactivity
预测的种属支持售后
-
Rat
Conjugation
-
unconjugated
This product has been cited in peer reviewed publications, see list HERE

浙公网安备 33019202000643号