Catalog# ET1603-20
MEK1 Recombinant Rabbit Monoclonal Antibody [SZ22-01]
Application
-
WB
-
IF-Cell
-
IF-Tissue
-
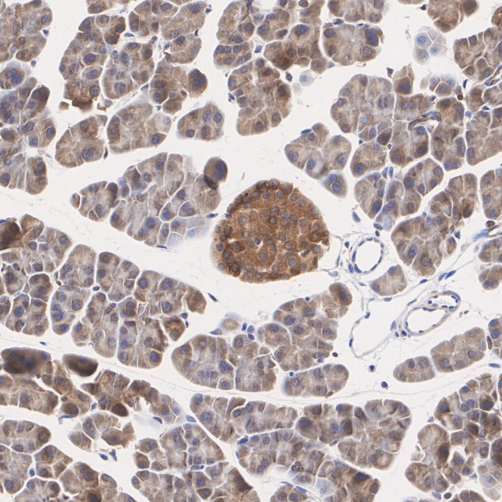
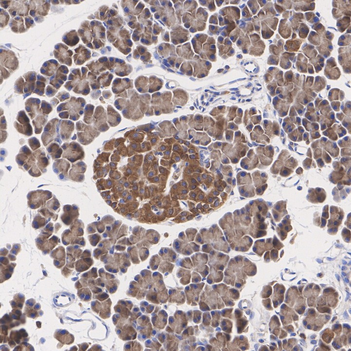
IHC-P
-
IP
-
FC
Reactivity
-
Human
-
Mouse
-
Rat
Predicted reactivity
预测的种属支持售后
-
Cow
-
Dog
Conjugation
-
unconjugated
This product has been cited in peer reviewed publications, see list HERE


浙公网安备 33019202000643号