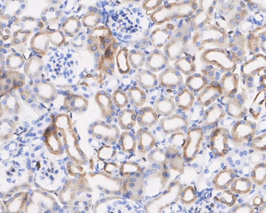
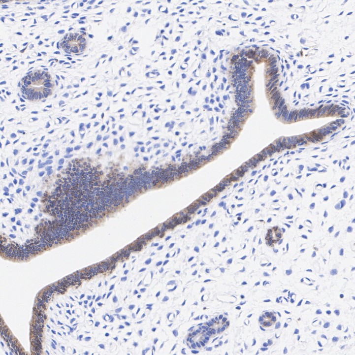
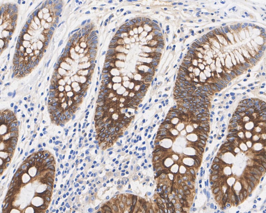
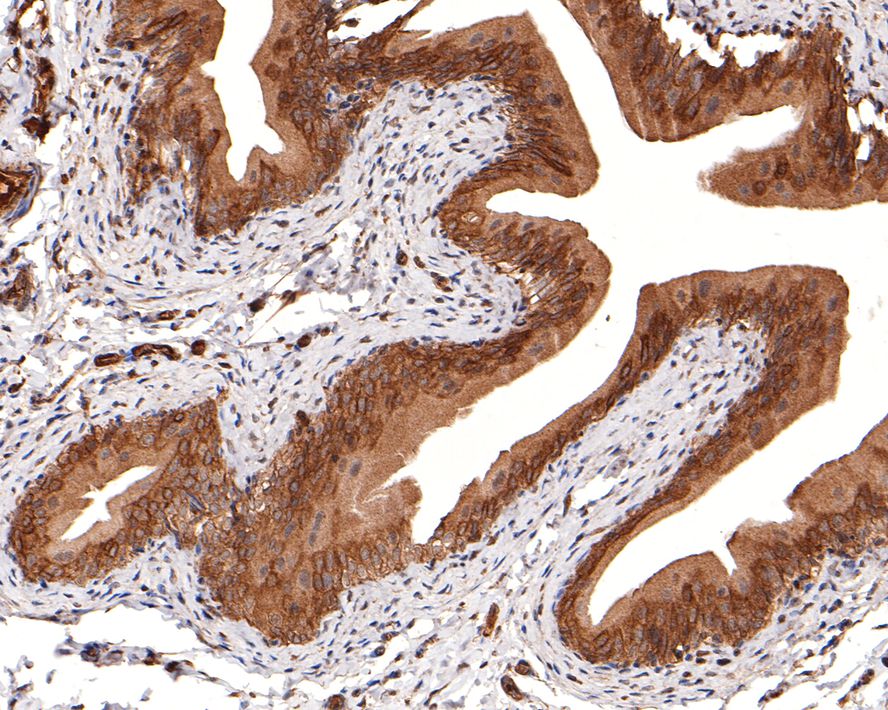
COX2 Recombinant Rabbit Monoclonal Antibody [SC56-06] - BSA and Azide free
Catalog# HA750207
COX2 Recombinant Rabbit Monoclonal Antibody [SC56-06] - BSA and Azide free
Application
-
WB
-
IF-Cell
-
IF-Tissue
-
IHC-P
Reactivity
-
Human
-
Mouse
-
Rat
With BSA and Azide
-
ET1610-23
含抗保成分
Conjugation
-
unconjugated
浙公网安备 33019202000643号