Skip to content

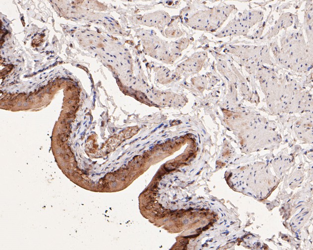
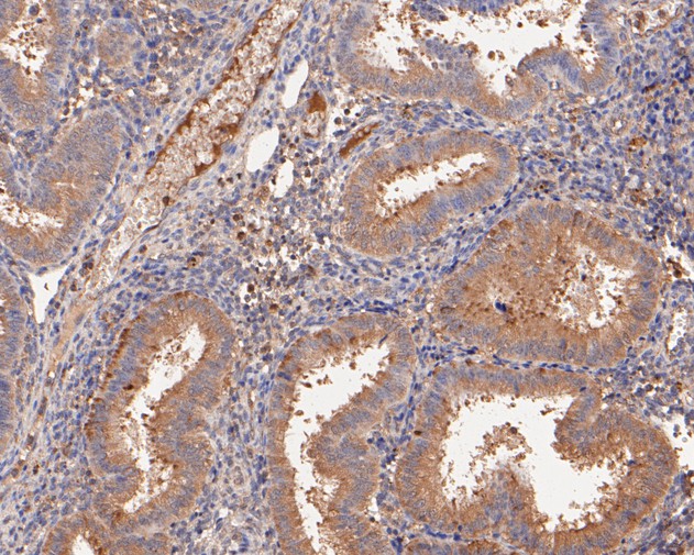
COX2 Mouse Monoclonal Antibody [A3F7]

RMB: 900 特惠 1500

产品规格

Catalog# EM1902-12

COX2 Mouse Monoclonal Antibody [A3F7]

Application
  • WB

  • IHC-P

  • FC

Reactivity
  • Human

  • Rat

Conjugation
  • unconjugated

This product has been cited in peer reviewed publications, see list HERE
Close (esc)

Popup

Use this popup to embed a mailing list sign up form. Alternatively use it as a simple call to action with a link to a product or a page.

Age verification

By clicking enter you are verifying that you are old enough to consume alcohol.

搜索