Catalog# HA601605
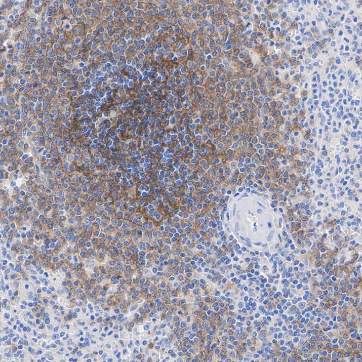
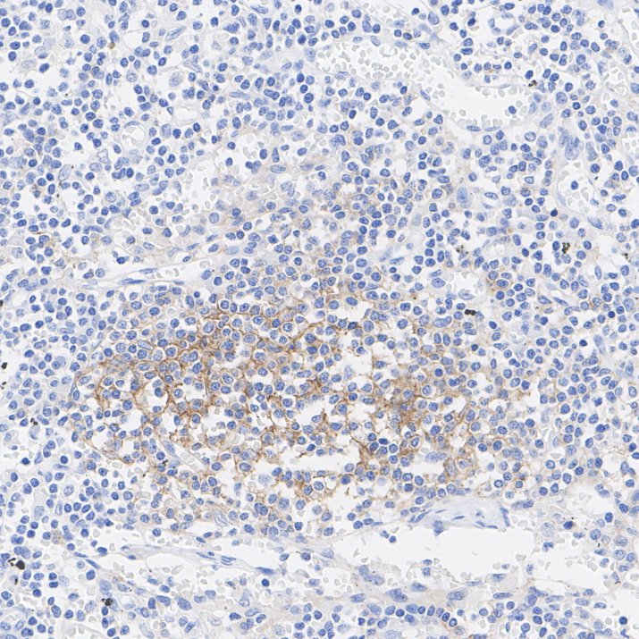
CD21 Recombinant Antibody [PD00-23] - Rat IgG1 (Chimeric)
Application
-
WB
-
IHC-P
Reactivity
-
Human
BSA and Azide free
-
HA610405
不含抗保成分
Conjugation
-
unconjugated

浙公网安备 33019202000643号