图片
-
Western blot analysis of SREBP1 on different lysates with Rabbit anti-SREBP1 antibody (HA750968) at 1/2,000 dilution.
Lane 1: HeLa cell lysate
Lane 2: HEK-293 cell lysate
Lane 3: MCF7 cell lysate
Lane 4: A549 cell lysate
Lane 5: SK-Br-3 cell lysate
Lysates/proteins at 20 µg/Lane.
Predicted band size: 122 kDa
Observed band size: 80-100 kDa
Exposure time: 3 minutes; ECL: K1801;
4-20% SDS-PAGE gel.
Proteins were transferred to a PVDF membrane and blocked with 5% NFDM/TBST for 1 hour at room temperature. The primary antibody (HA750968) at 1/2,000 dilution was used in 5% NFDM/TBST at 4℃ overnight. Goat Anti-Rabbit IgG - HRP Secondary Antibody (HA1001) at 1/50,000 dilution was used for 1 hour at room temperature.
-
☑ Knockdown (KD)
Western blot analysis of SREBP1 on different lysates with Rabbit anti-SREBP1 antibody (HA750968) at 1/2,000 dilution.
Lane 1: HeLa-si-NT cell lysate
Lane 2: HeLa-si-SREBP1 cell lysate
Lysates/proteins at 10 µg/Lane.
Predicted band size: 122 kDa
Observed band size: 100 kDa
Exposure time: 1 minute 50 seconds; ECL: K1801;
4-20% SDS-PAGE gel.
Proteins were transferred to a PVDF membrane and blocked with 5% NFDM/TBST for 1 hour at room temperature. The primary antibody (HA750968) at 1/2,000 dilution was used in 5% NFDM/TBST at 4℃ overnight. Goat Anti-Rabbit IgG - HRP Secondary Antibody (HA1001) at 1/50,000 dilution was used for 1 hour at room temperature.
-
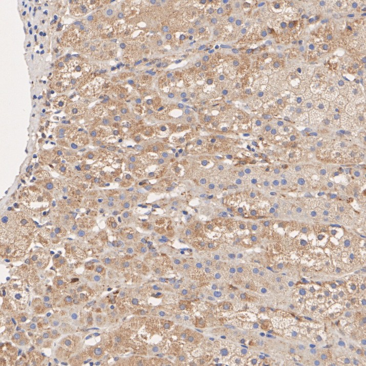
Immunohistochemical analysis of paraffin-embedded human adrenal gland tissue with Rabbit anti-SREBP1 antibody (HA750968) at 1/50 dilution.
The section was pre-treated using heat mediated antigen retrieval with sodium citrate buffer (pH 6.0) (high pressure) for 2 minutes. The tissues were blocked in 1% BSA for 20 minutes at room temperature, washed with ddH2O and PBS, and then probed with the primary antibody (HA750968) at 1/50 dilution for 1 hour at room temperature. The detection was performed using an HRP conjugated compact polymer system. DAB was used as the chromogen. Tissues were counterstained with hematoxylin and mounted with DPX.
-
Immunocytochemistry analysis of HeLa cells labeling SREBP1 with Rabbit anti-SREBP1 antibody (HA750968) at 1/100 dilution.
Cells were fixed in 4% paraformaldehyde for 20 minutes at room temperature, permeabilized with 0.1% Triton X-100 in PBS for 5 minutes at room temperature, then blocked with 1% BSA in 10% negative goat serum for 1 hour at room temperature. Cells were then incubated with Rabbit anti-SREBP1 antibody (HA750968) at 1/100 dilution in 1% BSA in PBST overnight at 4 ℃. Goat Anti-Rabbit IgG H&L (iFluor™ 488, HA1121) was used as the secondary antibody at 1/1,000 dilution. PBS instead of the primary antibody was used as the secondary antibody only control. Nuclear DNA was labelled in blue with DAPI.
Beta tubulin (M1305-2, red) was stained at 1/100 dilution overnight at +4℃. Goat Anti-Mouse IgG H&L (iFluor™ 594, HA1126) was used as the secondary antibody at 1/1,000 dilution.
请注意: All products are "FOR RESEARCH USE ONLY AND ARE NOT INTENDED FOR DIAGNOSTIC OR THERAPEUTIC USE"