Catalog# HA500210
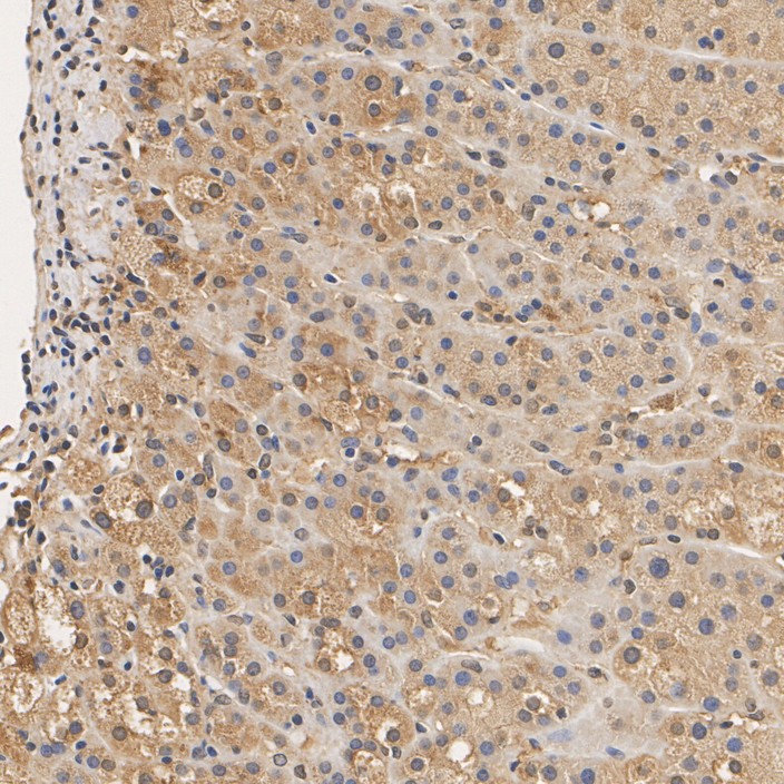
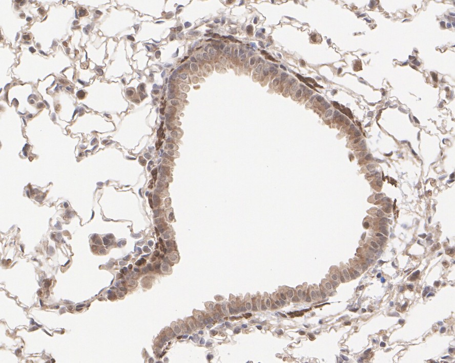
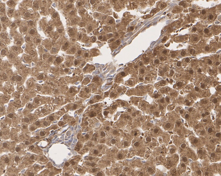
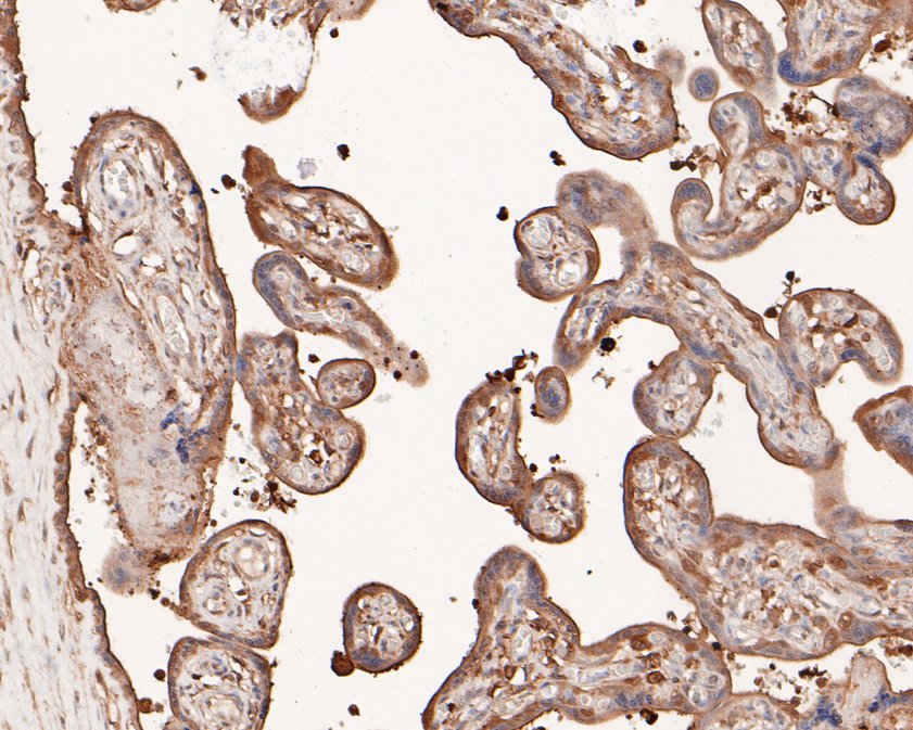
SREBP1 Rabbit Polyclonal Antibody
Application
-
WB
-
IHC-P
Reactivity
-
Human
-
Mouse
Conjugation
-
unconjugated
This product has been cited in peer reviewed publications, see list HERE

浙公网安备 33019202000643号