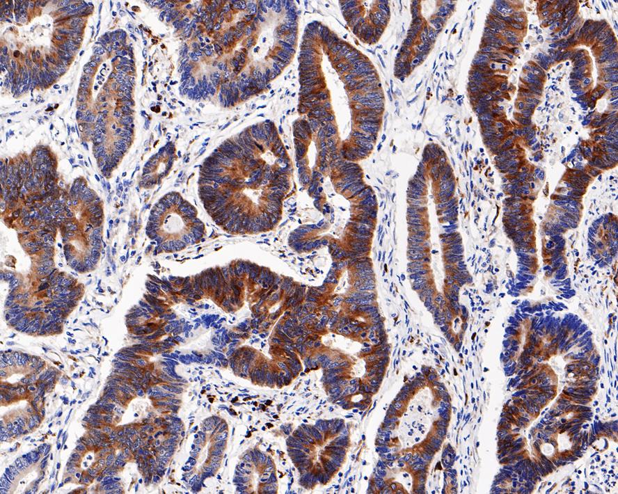
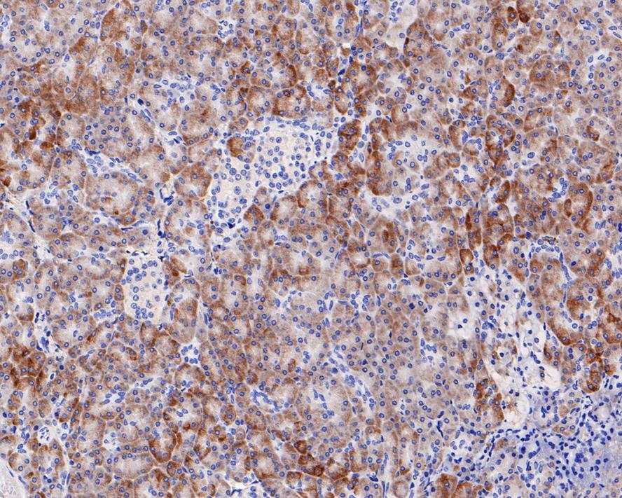
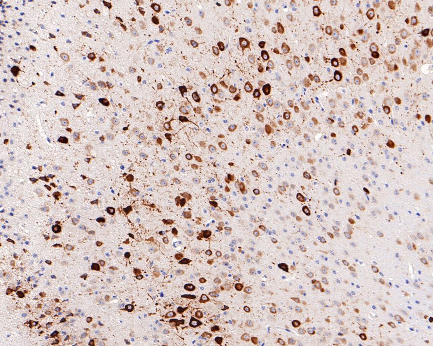
Phospho-RPS6 (S240 + S244) Recombinant Rabbit Monoclonal Antibody [PS00-65] - BSA and Azide free
Catalog# HA750684
Phospho-RPS6 (S240 + S244) Recombinant Rabbit Monoclonal Antibody [PS00-65] - BSA and Azide free
Application
-
WB
-
IHC-P
-
IF-Cell
Reactivity
-
Human
-
Mouse
With BSA and Azide
-
HA721589
含抗保成分
Predicted reactivity
预测的种属支持售后
-
Rat
Conjugation
-
unconjugated
浙公网安备 33019202000643号