-
☑ Cell treatment (CT)
Western blot analysis of Phospho-PKC alpha/beta II (T638/T641) on different lysates with Rabbit anti-Phospho-PKC alpha/beta II (T638/T641) antibody (HA751595) at 1/25,000 dilution.
Lane 1: HEK-293 cell lysate
Lane 2: HeLa cell lysate
Lane 3: C6 cell lysate
Lane 4: Mouse brain tissue lysate
Lane 5: Rat brain tissue lysate
Lane 6: NIH/3T3 cell lysate
Lane 7: NIH/3T3 starved overnight then treated with 200nM TPA for 4 hours cell lysate
Lane 8: NIH/3T3 starved overnight then treated with 200nM TPA for 4 hours cell lysate, then the membrane treated with λpp for 1 hour
Lysates/proteins at 20 µg/Lane.
Predicted band size: 77 kDa
Observed band size: 77 kDa
Exposure time: 14 seconds; ECL: K1801;
4-20% SDS-PAGE gel.
Proteins were transferred to a PVDF membrane and blocked with 5% NFDM/TBST for 1 hour at room temperature. The primary antibody (HA751595) at 1/25,000 dilution was used in primary antibody dilution (K1803) at 4℃ overnight. Goat Anti-Rabbit IgG - HRP Secondary Antibody (HA1001) at 1/50,000 dilution was used for 1 hour at room temperature.
-
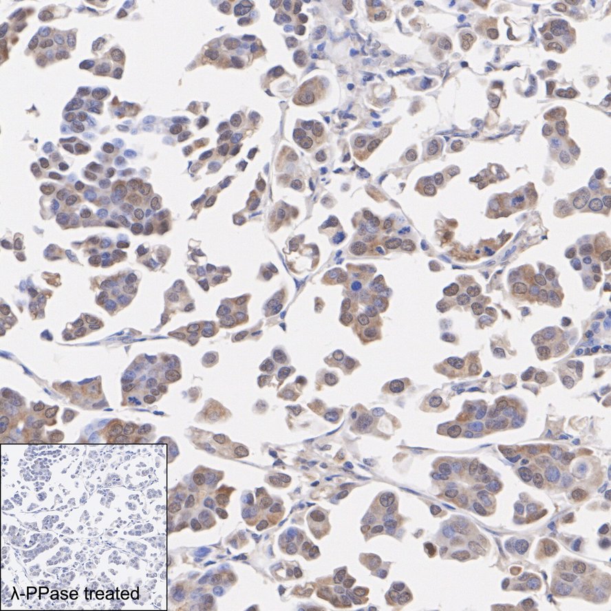
☑ Cell treatment (CT)
Immunohistochemical analysis of paraffin-embedded human breast cancer tissue untreated / treated with λpp with Rabbit anti-Phospho-PKC alpha/beta II (T638/T641) antibody (HA751595) at 1/200 dilution.
The section was pre-treated using heat mediated antigen retrieval with Tris-EDTA buffer (pH 9.0) for 20 minutes. The tissues were blocked in 1% BSA for 20 minutes at room temperature, washed with ddH2O and PBS, and then probed with the primary antibody (HA751595) at 1/200 dilution for 1 hour at room temperature. The detection was performed using an HRP conjugated compact polymer system. DAB was used as the chromogen. Tissues were counterstained with hematoxylin and mounted with DPX.
-
☑ Cell treatment (CT)
Immunocytochemistry analysis of HeLa cells untreated / treated with λpp labeling Phospho-PKC alpha/beta II (T638/T641) with Rabbit anti-Phospho-PKC alpha/beta II (T638/T641) antibody (HA751595) at 1/100 dilution.
Cells were fixed in 4% paraformaldehyde for 15 minutes at room temperature, permeabilized with 0.1% Triton X-100 in PBS for 15 minutes at room temperature, then blocked with 1% BSA in 10% negative goat serum for 1 hour at room temperature. Cells were then incubated with Rabbit anti-Phospho-PKC alpha/beta II (T638/T641) antibody (HA751595) at 1/100 dilution in 1% BSA in PBST overnight at 4 ℃. Goat Anti-Rabbit IgG H&L (iFluor™ 488, HA1121) was used as the secondary antibody at 1/1,000 dilution. PBS instead of the primary antibody was used as the secondary antibody only control. Nuclear DNA was labelled in blue with DAPI.
Beta tubulin (HA601187, red) was stained at 1/100 dilution overnight at +4℃. Goat Anti-Mouse IgG H&L (iFluor™ 594, HA1126) was used as the secondary antibody at 1/1,000 dilution.
-
☑ Cell treatment (CT)
Immunocytochemistry analysis of NIH/3T3 cells untreated / treated with λpp labeling Phospho-PKC alpha/beta II (T638/T641) with Rabbit anti-Phospho-PKC alpha/beta II (T638/T641) antibody (HA751595) at 1/100 dilution.
Cells were fixed in 4% paraformaldehyde for 15 minutes at room temperature, permeabilized with 0.1% Triton X-100 in PBS for 15 minutes at room temperature, then blocked with 1% BSA in 10% negative goat serum for 1 hour at room temperature. Cells were then incubated with Rabbit anti-Phospho-PKC alpha/beta II (T638/T641) antibody (HA751595) at 1/100 dilution in 1% BSA in PBST overnight at 4 ℃. Goat Anti-Rabbit IgG H&L (iFluor™ 488, HA1121) was used as the secondary antibody at 1/1,000 dilution. PBS instead of the primary antibody was used as the secondary antibody only control. Nuclear DNA was labelled in blue with DAPI.
Beta tubulin (HA601187, red) was stained at 1/100 dilution overnight at +4℃. Goat Anti-Mouse IgG H&L (iFluor™ 594, HA1126) was used as the secondary antibody at 1/1,000 dilution.
-
☑ Cell treatment (CT)
Immunocytochemistry analysis of C6 cells untreated / treated with λpp labeling Phospho-PKC alpha/beta II (T638/T641) with Rabbit anti-Phospho-PKC alpha/beta II (T638/T641) antibody (HA751595) at 1/100 dilution.
Cells were fixed in 4% paraformaldehyde for 15 minutes at room temperature, permeabilized with 0.1% Triton X-100 in PBS for 15 minutes at room temperature, then blocked with 1% BSA in 10% negative goat serum for 1 hour at room temperature. Cells were then incubated with Rabbit anti-Phospho-PKC alpha/beta II (T638/T641) antibody (HA751595) at 1/100 dilution in 1% BSA in PBST overnight at 4 ℃. Goat Anti-Rabbit IgG H&L (iFluor™ 488, HA1121) was used as the secondary antibody at 1/1,000 dilution. PBS instead of the primary antibody was used as the secondary antibody only control. Nuclear DNA was labelled in blue with DAPI.
Beta tubulin (HA601187, red) was stained at 1/100 dilution overnight at +4℃. Goat Anti-Mouse IgG H&L (iFluor™ 594, HA1126) was used as the secondary antibody at 1/1,000 dilution.
-
☑ Cell treatment (CT)
Flow cytometric analysis of NIH/3T3 cells untreated (left) / treated with λpp (right) labeling Phospho-PKC alpha/beta II (T638/T641).
Cells were fixed and permeabilized. Then stained with the primary antibody (HA751595, 1/1,000) (red) compared with Rabbit IgG Isotype Control (green). After incubation of the primary antibody at +4℃ for an hour, the cells were stained with a iFluor™ 488 conjugate-Goat anti-Rabbit IgG Secondary antibody (HA1121) at 1/1,000 dilution for 30 minutes at +4℃. Unlabelled sample was used as a control (cells without incubation with primary antibody; black).
-
☑ Cell treatment (CT)
Flow cytometric analysis of C6 cells untreated (left) / treated with λpp (right) labeling Phospho-PKC alpha/beta II (T638/T641).
Cells were fixed and permeabilized. Then stained with the primary antibody (HA751595, 1/1,000) (red) compared with Rabbit IgG Isotype Control (green). After incubation of the primary antibody at +4℃ for an hour, the cells were stained with a iFluor™ 488 conjugate-Goat anti-Rabbit IgG Secondary antibody (HA1121) at 1/1,000 dilution for 30 minutes at +4℃. Unlabelled sample was used as a control (cells without incubation with primary antibody; black).
-
Dot blot analysis of Phospho-PKC alpha/beta II (T638/T641) on different peptides with Rabbit anti-Phospho-PKC alpha/beta II (T638/T641) antibody (HA751595) at 1/5,000 dilution. Goat Anti-Rabbit IgG - HRP Secondary Antibody (HA1001) at 1/50,000 dilution for 1 hour at room temperature.
Lane 1: Phospho-PKC alpha (T638) peptide (positive)
Lane 2: Phospho-PKC beta II (T641) peptide (positive)
Lane 3: Phospho-PKC beta I (T642) peptide (negative)
Lane 4: Unmodified PKC alpha peptide (negative)
Proteins loading: 100ng, 25ng, 5ng;
Blocking and dilution buffer: 5% NFDM/TBST;
Exposure time: 3 seconds; ECL: K1801.
请注意: All products are "FOR RESEARCH USE ONLY AND ARE NOT INTENDED FOR DIAGNOSTIC OR THERAPEUTIC USE"