图片
-
☑ Cell treatment (CT)
Western blot analysis of Phospho-CDK1 (T161) on different lysates with Rabbit anti-Phospho-CDK1 (T161) antibody (HA750876) at 1/2,000 dilution.
Lane 1: HeLa cell lysate
Lane 2: HeLa treated with 100nM Calyculin A for 30 minutes cell lysate
Lane 3: Jurkat cell lysate
Lane 4: Jurkat treated with 100nM Calyculin A for 30 minutes cell lysate
Lane 5: NIH/3T3 cell lysate
Lane 6: NIH/3T3 treated with 100nM Calyculin A for 30 minutes cell lysate
Lane 7: PC-12 cell lysate
Lane 8: PC-12 treated with UV for 1 hour cell lysate
Lysates/proteins at 30 µg/Lane.
Predicted band size: 34 kDa
Observed band size: 34 kDa
Exposure time: 5 minutes;
4-20% SDS-PAGE gel.
Proteins were transferred to a PVDF membrane and blocked with 5% NFDM/TBST for 1 hour at room temperature. The primary antibody (HA750876) at 1/2,000 dilution was used in 5% NFDM/TBST at 4℃ overnight. Goat Anti-Rabbit IgG - HRP Secondary Antibody (HA1001) at 1/50,000 dilution was used for 1 hour at room temperature.
-
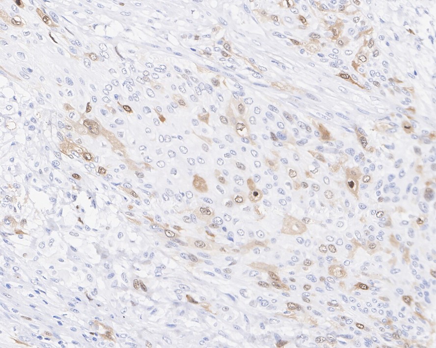
Immunohistochemical analysis of paraffin-embedded human cervix cancer tissue with Rabbit anti-Phospho-CDK1 (T161) antibody (HA750876) at 1/200 dilution.
The section was pre-treated using heat mediated antigen retrieval with sodium citrate buffer (pH 6.0) (high pressure) for 2 minutes. The tissues were blocked in 1% BSA for 20 minutes at room temperature, washed with ddH2O and PBS, and then probed with the primary antibody (HA750876) at 1/200 dilution for 1 hour at room temperature. The detection was performed using an HRP conjugated compact polymer system. DAB was used as the chromogen. Tissues were counterstained with hematoxylin and mounted with DPX.
-
☑ Cell treatment (CT)
Immunocytochemistry analysis of Jurkat cells treated with or without 100nM Calyculin A for 30 minutes labeling Phospho-CDK1 (T161) with Rabbit anti-Phospho-CDK1 (T161) antibody (HA750876) at 1/2,500 dilution.
Cells were fixed in 100% precooled methanol for 5 minutes at room temperature, then blocked with 1% BSA in 10% negative goat serum for 1 hour at room temperature. Cells were then incubated with Rabbit anti-Phospho-CDK1 (T161) antibody (HA750876) at 1/2,500 dilution in 1% BSA in PBST overnight at 4 ℃. Goat Anti-Rabbit IgG H&L (iFluor™ 488, HA1121) was used as the secondary antibody at 1/1,000 dilution. PBS instead of the primary antibody was used as the secondary antibody only control. Nuclear DNA was labelled in blue with DAPI.
Beta tubulin (M1305-2, red) was stained at 1/100 dilution overnight at +4℃. Goat Anti-Mouse IgG H&L (iFluor™ 594, HA1126) was used as the secondary antibody at 1/1,000 dilution.
-
☑ Cell treatment (CT)
Flow cytometric analysis of HeLa cells treated with or without 100nM Calyculin A for 30 minutes labeling Phospho-CDK1 (T161).
Cells were fixed and permeabilized. Then stained with the primary antibody (HA750876, 1/100) (red) compared with Rabbit IgG Isotype Control (green). After incubation of the primary antibody at +4℃ for an hour, the cells were stained with a iFluor™ 488 conjugate-Goat anti-Rabbit IgG Secondary antibody (HA1121) at 1/1,000 dilution for 30 minutes at +4℃. Unlabelled sample was used as a control (cells without incubation with primary antibody; black).
-
☑ Cell treatment (CT)
Flow cytometric analysis of NIH/3T3 cells treated with or without 100nM Calyculin A for 30 minutes labeling Phospho-CDK1 (T161).
Cells were fixed and permeabilized. Then stained with the primary antibody (HA750876, 1/100) (red) compared with Rabbit IgG Isotype Control (green). After incubation of the primary antibody at +4℃ for an hour, the cells were stained with a iFluor™ 488 conjugate-Goat anti-Rabbit IgG Secondary antibody (HA1121) at 1/1,000 dilution for 30 minutes at +4℃. Unlabelled sample was used as a control (cells without incubation with primary antibody; black).
请注意: All products are "FOR RESEARCH USE ONLY AND ARE NOT INTENDED FOR DIAGNOSTIC OR THERAPEUTIC USE"