Skip to content

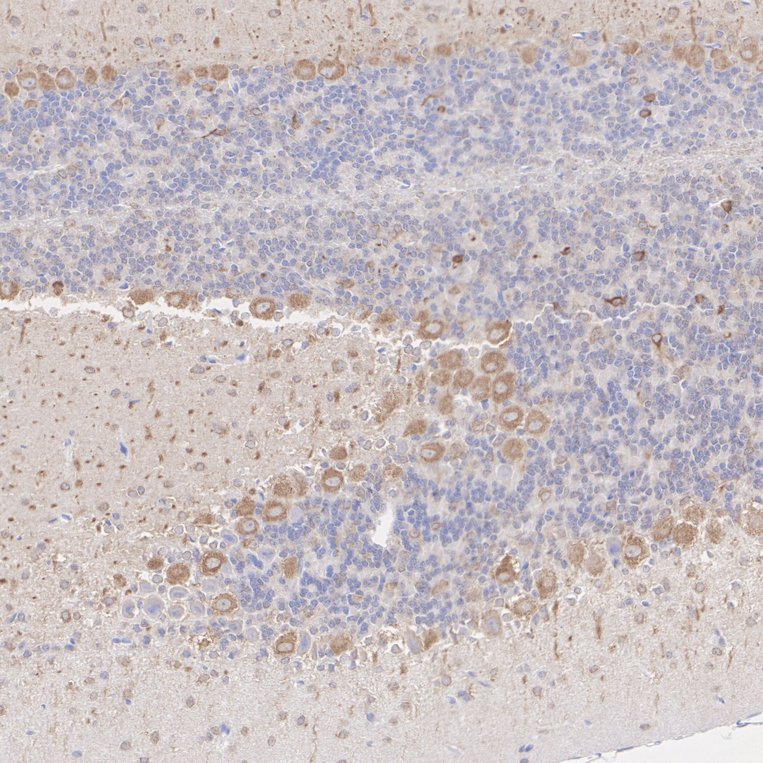
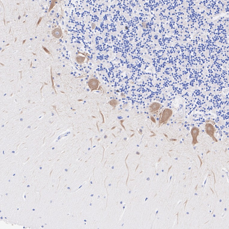
NF-H Recombinant Antibody [JF99-07] - Guinea pig IgG2 (Chimeric) - BSA and Azide free

Rmb: 5600

产品规格

联系我们

邮箱: market@huabio.cn

技术支持电话:0571-86052305

0571-89986345

市场客服电话:0571-88062880

查找各地代理商

Catalog# HA610393

NF-H Recombinant Antibody [JF99-07] - Guinea pig IgG2 (Chimeric) - BSA and Azide free

Application
  • IHC-P

Reactivity
  • Human

  • Mouse

  • Rat

With BSA and Azide
Conjugation
  • unconjugated

Close (esc)

Popup

Use this popup to embed a mailing list sign up form. Alternatively use it as a simple call to action with a link to a product or a page.

Age verification

By clicking enter you are verifying that you are old enough to consume alcohol.

搜索