概述
产品名称
NCAM1 / CD56 Recombinant Rabbit Monoclonal Antibody [JF1021]
抗体类型
Recombinant Rabbit monoclonal Antibody
免疫原
Synthetic peptide within C-terminal human NCAM1.
种属反应性
Human, Zebrafish
验证应用
WB, IF-Cell, IF-Tissue, IHC-P, FC, IP, mIHC
分子量
Predicted band size: 95 kDa
阳性对照
SH-SY5Y cell lysates, human brain tissue lysates, A549, SH-SY5Y, human tonsil tissue, zebrafish tissue, human kidney tissue, human small lell lung cancer.
偶联
unconjugated
克隆号
JF1021
RRID
产品特性
形态
Liquid
存放说明
Shipped at 4℃. Store at +4℃ short term (1-2 weeks). It is recommended to aliquot into single-use upon delivery. Store at -20℃ long term.
存储缓冲液
1*TBS (pH7.4), 0.05% BSA, 40% Glycerol. Preservative: 0.05% Sodium Azide.
亚型
IgG
纯化方式
Protein A affinity purified.
应用稀释度
-
WB
-
1:1,000-1:5,000
-
IF-Cell
-
1:50-1:200
-
IF-Tissue
-
1:50-1:200
-
IHC-P
-
1:50-1:200
-
FC
-
1:50-1:100
-
IP
-
Use at an assay dependent concentration.
-
mIHC
-
1:1,000
发表文章中的应用
| WB | 查看 1 篇文献如下 |
| IHC-P | 查看 1 篇文献如下 |
发表文章中的种属
| Mouse | 查看 1 篇文献如下 |
| Human | 查看 1 篇文献如下 |
靶点
功能
Neural cell adhesion molecules (NCAMs) are a family of closely related cell surface glycoproteins involved in cell to cell interactions during growth and thought to play an important role in embryogenesis and development. The expression of these molecules is widespread in all three germ layers during embryogenesis, but is more restrictive in adult tissues. NCAM expression is observed in a variety of human tumors including neuroblastomas, rhabdo-myosarcomas, Wilms' tumor, Ewing's sarcoma and some primitive myeloid malignancies. Multiple isoforms of NCAM have been reported in both mouse and human brain tissue. In humans, NCAMs arise from differential splicing and use of alternative polyadenylation sites of a single gene mapping to 11q23.
背景文献
1. Kong Q et al. Effects of pharmacological treatments on hippocampal NCAM1 and ERK2 expression in epileptic rats with cognitive dysfunction. Oncol Lett 12:1783-1791 (2016).
2. Berardis S et al. Gene expression profiling and secretome analysis differentiate adult-derived human liver stem/progenitor cells and human hepatic stellate cells. PLoS One 9:e86137 (2014).
亚细胞定位
Cell membrane, Secreted.
UNIPROT
别名
antigen MSK39 identified by monoclonal antibody
5.1H11 antibody
antigen recognized by monoclonal antibody
5.1H11 antibody
CD56 antibody
cell adhesion molecule, neural, 1 antibody
MSK 39 antibody
MSK39 antibody
N-CAM-1 antibody
NCAM 1 antibody
展开antigen MSK39 identified by monoclonal antibody
5.1H11 antibody
antigen recognized by monoclonal antibody
5.1H11 antibody
CD56 antibody
cell adhesion molecule, neural, 1 antibody
MSK 39 antibody
MSK39 antibody
N-CAM-1 antibody
NCAM 1 antibody
NCAM antibody
NCAM C antibody
NCAM-1 antibody
NCAM1 antibody
NCAM1_HUMAN antibody
NCAMC antibody
Neural cell adhesion molecule 1 antibody
Neural cell adhesion molecule NCAM antibody
OTTHUMP00000235666 antibody
折叠图片
-
Western blot analysis of NCAM1 / CD56 on SH-SY5Y cell lysates with Rabbit anti-NCAM1 / CD56 antibody (ET1702-43) at 1/500 dilution.
Lysates/proteins at 10 µg/Lane.
Predicted band size: 95 kDa
Observed band size: 120/140 kDa
Exposure time: 2 minutes;
6% SDS-PAGE gel.
Proteins were transferred to a PVDF membrane and blocked with 5% NFDM/TBST for 1 hour at room temperature. The primary antibody (ET1702-43) at 1/500 dilution was used in 5% NFDM/TBST at room temperature for 2 hours. Goat Anti-Rabbit IgG - HRP Secondary Antibody (HA1001) at 1:300,000 dilution was used for 1 hour at room temperature. -
Western blot analysis of NCAM1 / CD56 on human brain tissue lysates with Rabbit anti-NCAM1 / CD56 antibody (ET1702-43) at 1/2,000 dilution.
Lysates/proteins at 20 µg/Lane.
Predicted band size: 95 kDa
Observed band size: 140/180 kDa
Exposure time: 30 seconds;
6% SDS-PAGE gel.
Proteins were transferred to a PVDF membrane and blocked with 5% NFDM/TBST for 1 hour at room temperature. The primary antibody (ET1702-43) at 1/2,000 dilution was used in 5% NFDM/TBST at room temperature for 2 hours. Goat Anti-Rabbit IgG - HRP Secondary Antibody (HA1001) at 1:300,000 dilution was used for 1 hour at room temperature. -
Fluorescence multiplex immunohistochemical analysis of Tertiary Lymphoid Structures in Human Small Cell Lung Cancer (Formalin/PFA-fixed paraffin-embedded sections). Panel A: the merged image of anti-CD20 (HA721138, green), anti-PD-L1 (HA721176, cyan), anti-CD56 (ET1702-43, magenta) and anti-CD3 (HA720082, yellow) on tertiary lymphoid structures. Panel B: anti- CD20 stained on B cells. Panel C: anti-PD-L1 stained on dendritic cells and macrophages cells. Panel D: anti-CD56 stained on NKT cells. Panel E: anti-CD3 stained on T cells. HRP Conjugated UltraPolymer Goat Polyclonal Antibody HA1119/HA1120 was used as a secondary antibody. The immunostaining was performed with the Sequential Immuno-staining Kit (IRISKit™MH010101, www.luminiris.cn). The section was incubated in four rounds of staining: in the order of HA721138 (1/1,500 dilution), HA721176 (1/1,000 dilution), ET1702-43 (1/1,000 dilution), and HA720082 (1/500 dilution) for 20 mins at room temperature. Each round was followed by a separate fluorescent tyramide signal amplification system. Heat mediated antigen retrieval with Tris-EDTA buffer (pH 9.0) for 30 mins at 95℃. DAPI (blue) was used as a nuclear counter stain. Image acquisition was performed with Olympus VS200 Slide Scanner.
-
Fluorescence multiplex immunohistochemical analysis of human colon carcinoma (Formalin/PFA-fixed paraffin-embedded sections). Panel A: the merged image of anti-CD68 (EM1901-95, Yellow) and anti-CD56 (ET1702-43, Red) on human colon carcinoma. HRP Conjugated UltraPolymer Goat Polyclonal Antibody HA1119/HA1120 was used as a secondary antibody. The immunostaining was performed with the Sequential Immuno-staining Kit (IRISKit™MH010101, www.luminiris.cn). The section was incubated in two rounds of staining: in the order of EM1901-95 (1/3,000 dilution) and ET1702-43 (1/1,000 dilution) for 20 mins at room temperature. Each round was followed by a separate fluorescent tyramide signal amplification system. Heat mediated antigen retrieval with Tris-EDTA buffer (pH 9.0) for 30 mins at 95℃. DAPI (blue) was used as a nuclear counter stain. Image acquisition was performed with Zeiss Observer 7 Inverted Fluorescence Microscope.
-
ICC staining of NCAM1 / CD56 in A549 cells (red). Formalin fixed cells were permeabilized with 0.1% Triton X-100 in TBS for 10 minutes at room temperature and blocked with 1% Blocker BSA for 15 minutes at room temperature. Cells were probed with the primary antibody (ET1702-43, 1/50) for 1 hour at room temperature, washed with PBS. Alexa Fluor®594 Goat anti-Rabbit IgG was used as the secondary antibody at 1/1,000 dilution. The nuclear counter stain is DAPI (blue).
-
ICC staining of NCAM1 / CD56 in SH-SY5Y cells (red). Formalin fixed cells were permeabilized with 0.1% Triton X-100 in TBS for 10 minutes at room temperature and blocked with 1% Blocker BSA for 15 minutes at room temperature. Cells were probed with the primary antibody (ET1702-43, 1/50) for 1 hour at room temperature, washed with PBS. Alexa Fluor®594 Goat anti-Rabbit IgG was used as the secondary antibody at 1/1,000 dilution. The nuclear counter stain is DAPI (blue).
-
Immunohistochemical analysis of paraffin-embedded human tonsil tissue using anti-NCAM1 / CD56 antibody. The section was pre-treated using heat mediated antigen retrieval with Tris-EDTA buffer (pH 8.0-8.4) for 20 minutes.The tissues were blocked in 5% BSA for 30 minutes at room temperature, washed with ddH2O and PBS, and then probed with the primary antibody (ET1702-43, 1/50) for 30 minutes at room temperature. The detection was performed using an HRP conjugated compact polymer system. DAB was used as the chromogen. Tissues were counterstained with hematoxylin and mounted with DPX.
-
Immunohistochemical analysis of paraffin-embedded zebrafish tissue using anti-NCAM antibody. The section was pre-treated using heat mediated antigen retrieval with Tris-EDTA buffer (pH 8.0-8.4) for 20 minutes.The tissues were blocked in 5% BSA for 30 minutes at room temperature, washed with ddH2O and PBS, and then probed with the primary antibody (ET1702-43, 1/50) for 30 minutes at room temperature. The detection was performed using an HRP conjugated compact polymer system. DAB was used as the chromogen. Tissues were counterstained with hematoxylin and mounted with DPX.
-
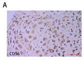
Immunohistochemical analysis of paraffin-embedded human kidney tissue with Rabbit anti-NCAM1 / CD56 antibody (ET1702-43) at 1/200 dilution.
The section was pre-treated using heat mediated antigen retrieval with Tris-EDTA buffer (pH 9.0) for 20 minutes. The tissues were blocked in 1% BSA for 20 minutes at room temperature, washed with ddH2O and PBS, and then probed with the primary antibody (ET1702-43) at 1/200 dilution for 1 hour at room temperature. The detection was performed using an HRP conjugated compact polymer system. DAB was used as the chromogen. Tissues were counterstained with hematoxylin and mounted with DPX. -
Flow cytometric analysis of NCAM1 / CD56 was done on SH-SY5Y cells. The cells were fixed, permeabilized and stained with the primary antibody (ET1702-43, 1/50) (red). After incubation of the primary antibody at room temperature for an hour, the cells were stained with a Alexa Fluor 488-conjugated Goat anti-Rabbit IgG Secondary antibody at 1/1000 dilution for 30 minutes.Unlabelled sample was used as a control (cells without incubation with primary antibody; black).
请注意: All products are "FOR RESEARCH USE ONLY AND ARE NOT INTENDED FOR DIAGNOSTIC OR THERAPEUTIC USE"
引文
-
FUT8 Regulates Cerebellar Neurogenesis and Development Through Maintaining the Level of Neural Cell Adhesion Molecule Cntn2
Author: Kaiyan Wei,et al
PMID: 39604780
期刊: Molecular Neurobiology
应用: WB
反应种属: Mouse
发表时间: 2024 Dec
-
Citation
-
CD39/CD73 Dysregulation of Adenosine Metabolism Increases Decidual Natural Killer Cell Cytotoxicity: Implications in Unexplained Recurrent Spontaneous Abortion
Author: Zhu, J., Song, G., Zhou, X., Han, T. L., Yu, X., Chen, H., Mansell, T., Novakovic, B., Baker, P. N., Cannon, R. D., Saffery, R., Chen, C., & Zhang, H.
PMID: 35222389
期刊: Frontiers In Immunology
应用: IHC-P
反应种属: Human
发表时间: 2022 Feb
-
Citation
同靶点 & 同通路的产品
NCAM1 / CD56 Recombinant Rabbit Monoclonal Antibody [PSH08-89]
Application: WB,IHC-P,IF-Tissue
Reactivity: Human
Conjugate: unconjugated
NCAM1 / CD56 Recombinant Rabbit Monoclonal Antibody [PSH06-82]
Application: WB,IHC-P,IHC-Fr,IF-Cell,FC,IF-Tissue
Reactivity: Human,Mouse,Rat,Cynomolgus monkey,Pig
Conjugate: unconjugated
NCAM1 / CD56 Recombinant Rabbit Monoclonal Antibody [JF1021] - BSA and Azide free
Application: WB,IF-Cell,IF-Tissue,IHC-P,FC,IP
Reactivity: Human,Zebrafish
Conjugate: unconjugated
NCAM1 / CD56 Recombinant Rabbit Monoclonal Antibody [PSH06-53] - BSA and Azide free
Application: WB,IHC-P,IF-Cell,FC,IP
Reactivity: Human,Mouse,Rat
Conjugate: unconjugated
NCAM1 / CD56 Recombinant Rabbit Monoclonal Antibody [PSH06-82] - BSA and Azide free
Application: WB,IHC-P,IHC-Fr,IF-Cell,FC,IF-Tissue
Reactivity: Human,Mouse,Rat,Cynomolgus monkey,Pig
Conjugate: unconjugated
NCAM1 / CD56 Recombinant Mouse Monoclonal Antibody [PDH0-07]
Application: IHC-P,WB
Reactivity: Human
Conjugate: unconjugated
NCAM1 / CD56 Recombinant Rabbit Monoclonal Antibody [PSH06-53]
Application: WB,IHC-P,IF-Cell,FC,IP
Reactivity: Human,Mouse,Rat
Conjugate: unconjugated
NCAM1 / CD56 Rabbit Polyclonal Antibody
Application: WB,IF-Cell
Reactivity: Human,Mouse,Rat
Conjugate: unconjugated
NCAM1 / CD56 Recombinant Rabbit Monoclonal Antibody
Application: mIHC
Reactivity: Human
Conjugate: unconjugated

