Catalog# M1701-9
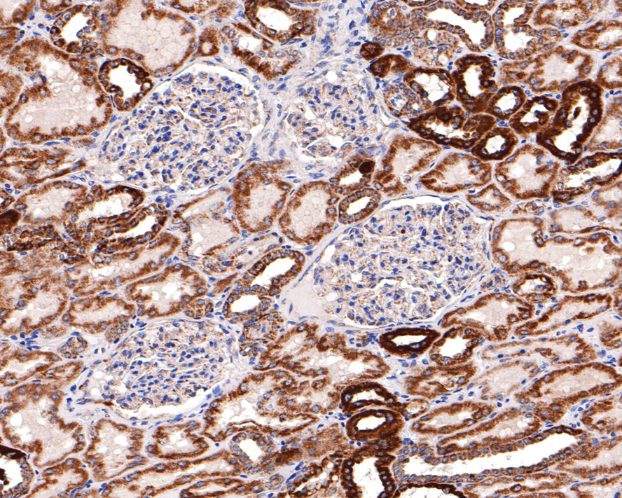
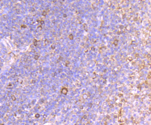
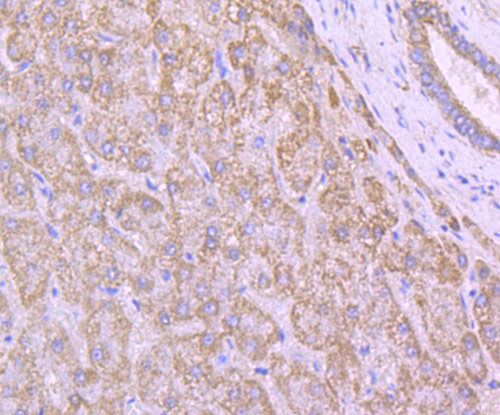
Cytochrome C Mouse Monoclonal Antibody [10-E11-G2]
Application
-
WB
-
IHC-P
-
IF-Cell
Reactivity
-
Human
-
Mouse
-
Rat
This product has been cited in peer reviewed publications, see list HERE

