RMB: 900 特惠 1500 1500
产品规格
概述
产品名称
Cytochrome C Recombinant Rabbit Monoclonal Antibody [SC69-08]
抗体类型
Recombinant Rabbit monoclonal Antibody
免疫原
Synthetic peptide within human Cytochrome C aa 20-60.
种属反应性
Human, Mouse, Rat
验证应用
WB, IF-Tissue, IHC-P, IP, IF-Cell
分子量
Predicted band size: 12 kDa
阳性对照
HeLa cell lysate, C6 cell lysate, Mouse brain tissue lysate, Mouse kidney tissue lysate, Rat brain tissue lysate, Rat kidney tissue lysate, Jurkat cell lysate, Human kidney tissue lysate, C6, human kidney tissue, mouse liver tissue, mouse kidney tissue, rat brain tissue.
偶联
unconjugated
克隆号
SC69-08
RRID
产品特性
形态
Liquid
浓度
存放说明
Shipped at 4℃. Store at +4℃ short term (1-2 weeks). It is recommended to aliquot into single-use upon delivery. Store at -20℃ long term.
存储缓冲液
1*TBS (pH7.4), 0.05% BSA, 40% Glycerol. Preservative: 0.05% Sodium Azide.
亚型
IgG
纯化方式
Protein A affinity purified.
应用稀释度
-
WB
-
1:2,000
-
IF-Tissue
-
1:50-1:100
-
IHC-P
-
1:1,000-1:5,000
-
IP
-
Use at an assay dependent concentration.
-
IF-Cell
-
1:100
靶点
功能
Cytochrome c is a well characterized mobile electron transport protein that is essential to energy conversion in all aerobic organisms. In mammalian cells, this highly conserved protein is normally localized to the mitochondrial intermembrane space. More recent studies have identifed cytosolic cytochrome c as a factor necessary for activation of apoptosis. During apoptosis, cytochrome c is translocated from the mitochondrial membrane to the cytosol, where it is required for activation of caspase-3 (CPP32). Overexpression of Bcl-2 has been shown to prevent the translocation of cytochrome c, thereby blocking the apoptotic process. Overexpression of Bax has been shown to induce the release of cytochrome c and to induce cell death. The release of cytochrome c from the mitochondria is thought to trigger an apoptotic cascade, whereby Apaf-1 binds to Apaf-3 (caspase-9) in a cytochrome c-dependent manner, leading to caspase-9 cleavage of caspase-3.
背景文献
1. Liu Z et al. Mark4 promotes oxidative stress and inflammation via binding to PPAR and activating NF-kB pathway in mice adipocytes. Sci Rep 6:21382 (2016).
2. Qi Y et al. PGC-1a Silencing Compounds the Perturbation of Mitochondrial Function Caused by Mutant SOD1 in Skeletal Muscle of ALS Mouse Model. Front Aging Neurosci 7:204 (2015).
序列相似性
Belongs to the cytochrome c family.
翻译后修饰
Binds 1 heme group per subunit.; Phosphorylation at Tyr-49 and Tyr-98 both reduce by half the turnover in the reaction with cytochrome c oxidase, down-regulating mitochondrial respiration.
亚细胞定位
Mitochondrion intermembrane space.
别名
CYC antibody
CYC_HUMAN antibody
CYCS antibody
Cytochrome c antibody
Cytochrome c somatic antibody
HCS antibody
THC4 antibody
图片
-
Western blot analysis of Cytochrome C on different lysates with Rabbit anti-Cytochrome C antibody (ET1610-60) at 1/2,000 dilution.
Lane 1: HeLa cell lysate (10 µg/Lane)
Lane 2: C6 cell lysate (10 µg/Lane)
Lane 3: Mouse brain tissue lysate (20 µg/Lane)
Lane 4: Mouse kidney tissue lysate (20 µg/Lane)
Lane 5: Rat brain tissue lysate (20 µg/Lane)
Lane 6: Rat kidney tissue lysate (20 µg/Lane)
Predicted band size: 12 kDa
Observed band size: 12 kDa
Exposure time: 4 seconds; ECL: K1801;
4-20% SDS-PAGE gel.
Proteins were transferred to a PVDF membrane and blocked with 5% NFDM/TBST for 1 hour at room temperature. The primary antibody (ET1610-60) at 1/2,000 dilution was used in 5% NFDM/TBST at 4℃ overnight. Goat Anti-Rabbit IgG - HRP Secondary Antibody (HA1001) at 1/50,000 dilution was used for 1 hour at room temperature. -
Western blot analysis of Cytochrome C on different lysates with Rabbit anti-Cytochrome C antibody (ET1610-60) at 1/2,000 dilution.
Lane 1: HeLa cell lysate (15 µg/Lane)
Lane 2: Jurkat cell lysate (15 µg/Lane)
Lane 3: C6 cell lysate (15 µg/Lane)
Lane 4: Human kidney tissue lysate (20 µg/Lane)
Lane 5: Mouse brain tissue lysate (20 µg/Lane)
Lane 6: Rat brain tissue lysate (20 µg/Lane)
Predicted band size: 12 kDa
Observed band size: 12 kDa
Exposure time: 3 minutes; ECL: K1801;
4-20% SDS-PAGE gel.
Proteins were transferred to a PVDF membrane and blocked with 5% NFDM/TBST for 1 hour at room temperature. The primary antibody (ET1610-60) at 1/2,000 dilution was used in 5% NFDM/TBST at 4℃ overnight. Goat Anti-Rabbit IgG - HRP Secondary Antibody (HA1001) at 1/50,000 dilution was used for 1 hour at room temperature. -
Immunocytochemistry analysis of C6 cells labeling Cytochrome C with Rabbit anti-Cytochrome C antibody (ET1610-60) at 1/100 dilution.
Cells were fixed in 4% paraformaldehyde for 20 minutes at room temperature, permeabilized with 0.1% Triton X-100 in PBS for 5 minutes at room temperature, then blocked with 1% BSA in 10% negative goat serum for 1 hour at room temperature. Cells were then incubated with Rabbit anti-Cytochrome C antibody (ET1610-60) at 1/100 dilution in 1% BSA in PBST overnight at 4 ℃. Goat Anti-Rabbit IgG H&L (iFluor™ 488, HA1121) was used as the secondary antibody at 1/1,000 dilution. PBS instead of the primary antibody was used as the secondary antibody only control. Nuclear DNA was labelled in blue with DAPI.
Beta tubulin (M1305-2, red) was stained at 1/100 dilution overnight at +4℃. Goat Anti-Mouse IgG H&L (iFluor™ 594, HA1126) was used as the secondary antibody at 1/1,000 dilution. -
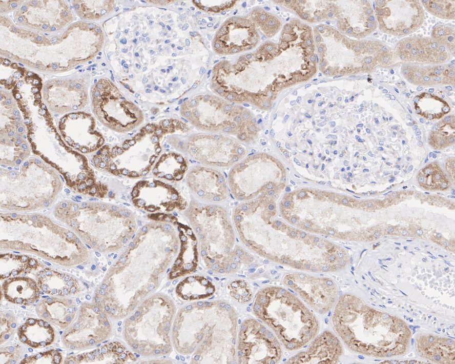
Immunohistochemical analysis of paraffin-embedded human kidney tissue with Rabbit anti-Cytochrome C antibody (ET1610-60) at 1/5,000 dilution.
The section was pre-treated using heat mediated antigen retrieval with Tris-EDTA buffer (pH 9.0) for 20 minutes. The tissues were blocked in 1% BSA for 20 minutes at room temperature, washed with ddH2O and PBS, and then probed with the primary antibody (ET1610-60) at 1/5,000 dilution for 1 hour at room temperature. The detection was performed using an HRP conjugated compact polymer system. DAB was used as the chromogen. Tissues were counterstained with hematoxylin and mounted with DPX. -
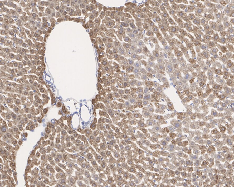
Immunohistochemical analysis of paraffin-embedded mouse liver tissue with Rabbit anti-Cytochrome C antibody (ET1610-60) at 1/5,000 dilution.
The section was pre-treated using heat mediated antigen retrieval with Tris-EDTA buffer (pH 9.0) for 20 minutes. The tissues were blocked in 1% BSA for 20 minutes at room temperature, washed with ddH2O and PBS, and then probed with the primary antibody (ET1610-60) at 1/5,000 dilution for 1 hour at room temperature. The detection was performed using an HRP conjugated compact polymer system. DAB was used as the chromogen. Tissues were counterstained with hematoxylin and mounted with DPX. -
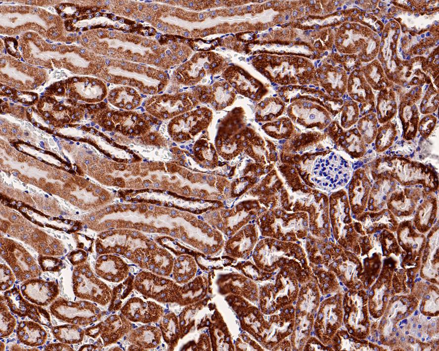
Immunohistochemical analysis of paraffin-embedded mouse kidney tissue with Rabbit anti-Cytochrome C antibody (ET1610-60) at 1/1,000 dilution.
The section was pre-treated using heat mediated antigen retrieval with Tris-EDTA buffer (pH 9.0) for 20 minutes. The tissues were blocked in 1% BSA for 20 minutes at room temperature, washed with ddH2O and PBS, and then probed with the primary antibody (ET1610-60) at 1/1,000 dilution for 1 hour at room temperature. The detection was performed using an HRP conjugated compact polymer system. DAB was used as the chromogen. Tissues were counterstained with hematoxylin and mounted with DPX. -
Immunohistochemical analysis of paraffin-embedded rat brain tissue with Rabbit anti-Cytochrome C antibody (ET1610-60) at 1/1,000 dilution.
The section was pre-treated using heat mediated antigen retrieval with Tris-EDTA buffer (pH 9.0) for 20 minutes. The tissues were blocked in 1% BSA for 20 minutes at room temperature, washed with ddH2O and PBS, and then probed with the primary antibody (ET1610-60) at 1/1,000 dilution for 1 hour at room temperature. The detection was performed using an HRP conjugated compact polymer system. DAB was used as the chromogen. Tissues were counterstained with hematoxylin and mounted with DPX.
请注意: All products are "FOR RESEARCH USE ONLY AND ARE NOT INTENDED FOR DIAGNOSTIC OR THERAPEUTIC USE"
引文
-
Endothelial-targeted modification of ginseng-derived exosomes for IL-6 SiRNA delivery ameliorates hepatic ischemia-reperfusion injury
期刊: Journal Of Nanobiotechnology
DOI: 10.1186/s12951-025-03954-2
IF: 12.6
应用: WB
反应种属: Mouse
发表时间: 2026 Jan
-
Liuwei Dihuang Pills Suppress Hepatocellular Carcinoma via PI3K/AKT/TP53 Pathway: Integrating Network Pharmacology, Metabolomics, and Experimental Validation
期刊: Phytomedicine
DOI: 10.1016/j.phymed.2026.157780
IF: 8.3
应用: WB
反应种属: Human
发表时间: 2026 Jan
-
Ganfule capsule alleviates AFB1-induced toxic liver injury via inhibiting oxidative stress, inflammatory response, and apoptosis
期刊: Ecotoxicology And Environmental Safety
DOI: 10.1016/j.ecoenv.2025.119125
IF: 6.1
应用: WB
反应种属: Mouse
发表时间: 2025 Sept
-
Apelin-13 treats postmenopausal osteoporosis by reducing mitochondrial oxidative phosphorylation and modulating the OPG/RANK/RANKL/IGF-1 pathway
期刊: Biochemical And Biophysical Research Communications
DOI: 10.1016/j.bbrc.2025.152738
IF: 2.2
应用: WB
反应种属: Mouse
发表时间: 2025 Sept
-
Mechanistic insights into the Ganfule capsule in alleviating alcoholic liver disease
期刊: Bioorganic Chemistry
DOI: 10.1016/j.bioorg.2025.109144
IF: 4.7
应用: WB
反应种属: Mouse
发表时间: 2025 Oct
-
Gracillin Protects Liver Ischemia-Reperfusion Injury from Oxidative Stress-Induced Apoptosis
期刊: Drug Design Development And Therapy
DOI: 10.2147/DDDT.S479009
IF: 5.1
应用: WB
反应种属: Mouse
发表时间: 2025 Nov
-
hnRNP K regulates mitochondrial apoptosis induced by porcine circovirus type 3 capsid protein
期刊: Veterinary Microbiology
DOI: 10.1016/j.vetmic.2025.110557
IF: 2.7
应用: WB
反应种属: Porcine
发表时间: 2025 May
-
Paeonol enhances a recombinant EGFR-targeted fusion protein-drug conjugate induced antitumor efficacy in esophageal cancer
期刊: Biochemical Pharmacology
DOI: 10.1016/j.bcp.2025.116856
IF: 5.3
应用: WB
反应种属: Human
发表时间: 2025 Mar
-
A novel PEGylated squid-derived protamine protein in combination with sorafenib effectively inhibits hepatocellular carcinoma growth
期刊: International Journal Of Biological Macromolecules
DOI: 10.1016/j.ijbiomac.2025.145283
IF: 8.5
应用: WB
反应种属: Mouse
发表时间: 2025 Jun
-
Insights into Lead Toxicity and Detoxification Mechanisms in the Silkworm, Bombyx mori
期刊: Insects
DOI: 10.3390/insects16070699
IF: 2.9
应用: WB
反应种属: Bombyx mori
发表时间: 2025 Jul
-
A new NCL-targeting aptamer-drug conjugate as a promising therapy against esophageal cancer
期刊: Journal Of Nanobiotechnology
DOI:
IF: 10.6
应用: WB
反应种属: Human
发表时间: 2025 Jan
-
A new NCL-targeting aptamer-drug conjugate as a promising therapy against esophageal cancer
期刊: JOURNAL OF NANOBIOTECHNOLOGY
DOI: 10.1186/s12951-025-03127-1
IF: 12.6
应用: WB
反应种属: Human
发表时间: 2025 Jan
-
Cyanidin-3-O-Glucoside Mitigates Hepatotoxicity Induced by 2-Amino-3-Methylimidazo[4,5-f]Quinoline via Endogenous and Exogenous Apoptotic Signaling Pathways: Evidence From In Vivo and In Silico Studies
期刊: Molecular Nutrition & Food Research
DOI: 10.1002/mnfr.70363
IF: 4.2
应用: WB
反应种属: Mouse
发表时间: 2025 Dec
-
The Chemotherapy Medication of Evodia lepta (Spreng). Merr. on the Viability of Tongue Cancer Cells Through the PD-L1/MMP14/HSPA5 Pathway
期刊: Cancer Management And Research
DOI: 10.2147/CMAR.S533380
IF: 2.6
应用: WB
反应种属:
发表时间: 2025 Aug
-
ERRγ Promotes Multiple Myeloma Survival by Coordinating NF-κB Signaling and Mitochondrial Apoptosis Regulation
期刊: Oncology Research
DOI: 10.32604/or.2025.063700
IF: 4.1
应用: WB
反应种属: Human
发表时间: 2025 Aug
-
Effects and mechanisms of Polygonati Rhizoma polysaccharide on potassium oxonate and hypoxanthine-induced hyperuricemia in mice
期刊: International Journal Of Biological Macromolecules
DOI:
IF: 7.7
应用: WB
反应种属: Mouse
发表时间: 2024 Sep
-
Japanese encephalitis virus infection induces mitochondrial-mediated apoptosis through the proapoptotic protein BAX
期刊: Frontiers In Microbiology
DOI: 10.3389/fmicb.2024.1485667
IF: 4
应用: WB
反应种属: Pig
发表时间: 2024 Oct
-
Rhein induces apoptosis of AGS and MGC803 cells by regulating the Ras/PI3K/AKT and p38/MAPK signaling pathway
期刊: Journal Of Pharmacy And Pharmacology
DOI:
IF: 2.8
应用: WB
反应种属: Mouse
发表时间: 2024 Oct
-
New findings on post-mortem chicken quality changes: The ROS-influenced MAPK-JNK signaling pathway affects chicken quality by regulating muscle cell apoptosis
期刊: Food Chemistry
DOI:
IF: 8.5
应用: WB
反应种属: Chicken
发表时间: 2024 Jul
-
Tumor-derived extracellular vesicle drug delivery system for chemo-photothermal-immune combination cancer treatment
期刊: iScience
DOI:
IF: 5.8
应用: WB
反应种属: Mouse
发表时间: 2024 Jan
-
Quercetin Promotes Apoptosis of Gastric Cancer Cells through the EGFR-ERK Signaling Pathway
期刊:
DOI:
IF:
应用: IF
反应种属: Human
发表时间: 2024 Feb
-
Gold (I) complexes bearing EGFR-inhibiting ligands as anti-HCC agents through dual targeting of EGFR and TrxR
期刊: European Journal Of Medicinal Chemistry
DOI:
IF: 6
应用: WB
反应种属: Human
发表时间: 2024 Dec
-
Engaging natural regulatory myeloid cells to restrict T-cell hyperactivation-induced liver inflammation via extracellular vesicle-mediated purine metabolism regulation
期刊: Theranostics
DOI:
IF: 12.4
应用: WB
反应种属: Mouse
发表时间: 2024 Aug
-
Schisandra chinensis lignans regulate and cooperate with endogenous cannabinoid systems to ameliorate intestinal barrier injury associated with depression
期刊: Phytomedicine
DOI:
IF: 6.7
应用: WB
反应种属: Mouse
发表时间: 2024 Aug
-
Costunolide ameliorates MNNG-induced chronic atrophic gastritis through inhibiting oxidative stress and DNA damage via activation of Nrf2
期刊: Phytomedicine
DOI:
IF: 7.9
应用: WB
反应种属: Human
发表时间: 2024 Apr
-
Maternal exposure to beta-Cypermethrin disrupts placental development by dysfunction of trophoblast cells from oxidative stress
期刊: Toxicology
DOI:
IF: 4.5
应用: IF
反应种属: Mouse
发表时间: 2024 Apr
-
Inhibition of PRKAA/AMPK (Ser485/491) phosphorylation by crizotinib induces cardiotoxicity via perturbing autophagosome-lysosome fusion
期刊: Autophagy
DOI: 10.1080/15548627.2023.2259216
IF: 13.3
应用: WB
反应种属: Human,Mouse
发表时间: 2023 Oct
-
The delaying effect of Qingxin Zishen decoction on ovarian aging: Examining regulation of ovarian mitochondria apoptosis in aged rats
期刊: Experimental Gerontology
DOI:
IF: 3.9
应用: WB
反应种属: Rat
发表时间: 2023 Oct
-
LASS2 enhances p53 protein stability and nuclear import to suppress liver cancer progression through interaction with MDM2/MDMX
期刊: Cell Death Discovery
DOI:
IF: 7
应用: WB
反应种属: Human
发表时间: 2023 Nov
-
A network pharmacology approach and experimental validation to investigate the anticancer mechanism and potential active targets of ethanol extract of Wei-Tong-Xin against colorectal cancer through induction of apoptosis via PI3K/AKT signaling pathway
期刊: Journal Of Ethnopharmacology
DOI:
IF: 5.4
应用: WB
反应种属: Human
发表时间: 2023 Mar
-
Combination of Zearalenone and Deoxynivalenol Induces Apoptosis by Mitochondrial Pathway in Piglet Sertoli Cells: Role of Endoplasmic Reticulum Stress
期刊: Toxins
DOI:
IF: 4.2
应用: WB,IF
反应种属: Pig
发表时间: 2023 Jul
-
Network-based pharmacology and in vitro validation reveal that galangin induces apoptosis in bladder cancer cells by promoting the p53 signaling pathway
期刊: Anti-Cancer Agents In Medicinal Chemistry
DOI:
IF: 2.527
应用: WB
反应种属: Human
发表时间: 2022 Oct
-
The HSP90 inhibitor KW-2478 depletes the malignancy of BCR/ABL and overcomes the imatinib-resistance caused by BCR/ABL amplification
期刊: Experimental Hematology & Oncology
DOI:
IF: 5.133
应用: WB
反应种属: Human
发表时间: 2022 May
-
Sodium Butyrate Ameliorates Oxidative Stress-Induced Intestinal Epithelium Barrier Injury and Mitochondrial Damage through AMPK-Mitophagy Pathway
期刊: Oxidative Medicine And Cellular Longevity
DOI:
IF: 6.543
应用:
反应种属:
发表时间: 2022 Jan
-
Phellinus baumii Polyphenol: A Potential Therapeutic Candidate against Lung Cancer Cells
期刊: International Journal Of Molecular Sciences
DOI:
IF: 6.208
应用: WB
反应种属: Human
发表时间: 2022 Dec
-
Metformin Prevents Follicular Atresia in Aging Laying Chickens through Activation of PI3K/AKT and Calcium Signaling Pathways
期刊: Oxidative Medicine And Cellular Longevity
DOI:
IF: 5.076
应用: WB,IF,IHC-P
反应种属: Chicken
发表时间: 2020 Nov
-
A New Fusion Peptide Targeting Pancreatic Cancer and Inhibiting Tumor Growth
期刊: Onco Targets And Therapy
DOI:
IF: 3.34
应用: WB
反应种属: Human
发表时间: 2020 Aug
同靶点 & 同通路的产品
Cytochrome C Recombinant Rabbit Monoclonal Antibody [SC59-01]
Application: WB,IHC-P
Reactivity: Human,Mouse,Rat
Conjugate: unconjugated
Cytochrome C Mouse Monoclonal Antibody [10-E11-G2]
Application: WB,IHC-P,IF-Cell
Reactivity: Human,Mouse,Rat
Conjugate: unconjugated
cytochrome C Mouse Monoclonal Antibody [6G1]
Application: WB,IF,IP,FC,IHC-P
Reactivity: Human,Mouse,Rat
Conjugate: unconjugated
Cytochrome C Recombinant Rabbit Monoclonal Antibody [SC59-01] - BSA and Azide free
Application: WB,IHC-P
Reactivity: Human,Mouse,Rat
Conjugate: unconjugated
Cytochrome C Recombinant Rabbit Monoclonal Antibody [SC69-08] - BSA and Azide free
Application: WB,IF-Tissue,IHC-P,IP,IF-Cell
Reactivity: Human,Mouse,Rat
Conjugate: unconjugated
Cytochrome C Rabbit Polyclonal Antibody
Application: WB,IHC-P
Reactivity: Human,Mouse,Rat
Conjugate: unconjugated

浙公网安备 33019202000643号