Catalog# HA723083
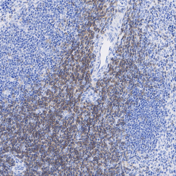
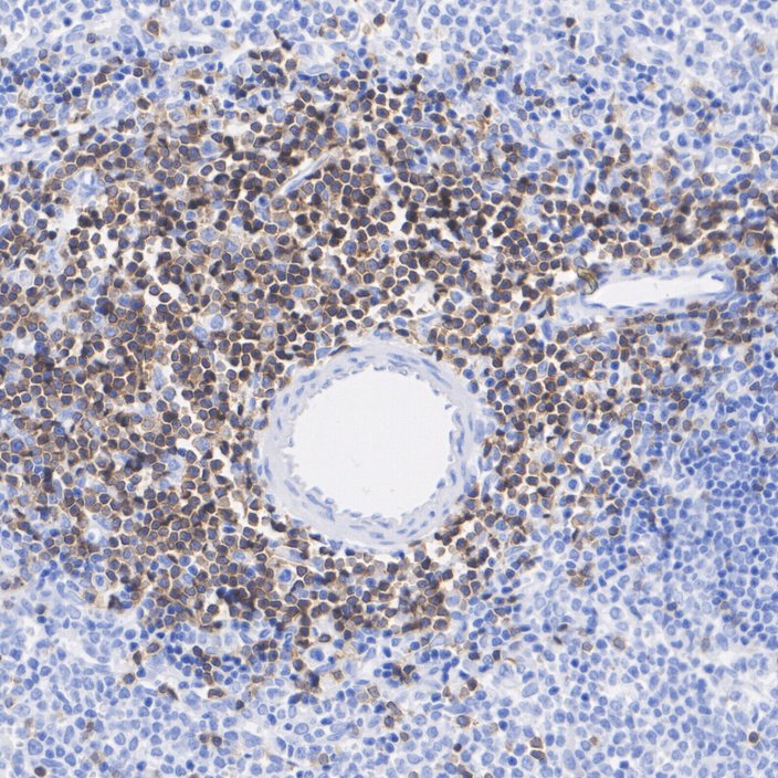
Lck Recombinant Rabbit Monoclonal Antibody [PSH09-25]
Application
-
WB
-
IF-Cell
-
IHC-P
-
IP
-
FC
Reactivity
-
Human
-
Mouse
-
Rat


