图片
-
Western blot analysis of LAMP2a on different lysates with Rabbit anti-LAMP2a antibody (HA750016) at 1/5,000 dilution.
Lane 1: SK-MEL-28 cell lysate (20 µg/Lane)
Lane 2: HeLa cell lysate (20 µg/Lane)
Lane 3: JAR cell lysate (20 µg/Lane)
Lane 4: U-937 cell lysate (20 µg/Lane)
Lane 5: RAW264.7 cell lysate (15 µg/Lane)
Lane 6: NIH/3T3 cell lysate (15 µg/Lane)
Lane 7: PC-12 cell lysate (15 µg/Lane)
Lane 8: Mouse liver tissue lysate (30 µg/Lane)
Lane 9: Rat liver tissue lysate (30 µg/Lane)
Lane 10: Rat lung tissue lysate (30 µg/Lane)
Predicted band size: 45 kDa
Observed band size: 70-140 kDa
Exposure time: Lane 1-4: 2 minutes 37 seconds; Lane 5-10: 5 minutes;
4-20% SDS-PAGE gel.
Proteins were transferred to a PVDF membrane and blocked with 5% NFDM/TBST for 1 hour at room temperature. The primary antibody (HA750016) at 1/5,000 dilution was used in 5% NFDM/TBST at 4℃ overnight. Goat Anti-Rabbit IgG - HRP Secondary Antibody (HA1001) at 1:50,000 dilution was used for 1 hour at room temperature.
-
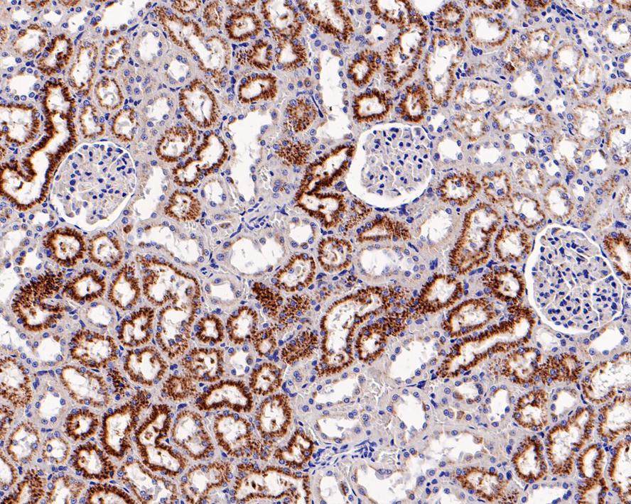
Immunohistochemical analysis of paraffin-embedded human kidney tissue with Rabbit anti-LAMP2a antibody (HA750016) at 1/500 dilution.
The section was pre-treated using heat mediated antigen retrieval with Tris-EDTA buffer (pH 9.0) for 20 minutes. The tissues were blocked in 1% BSA for 20 minutes at room temperature, washed with ddH2O and PBS, and then probed with the primary antibody (HA750016) at 1/500 dilution for 1 hour at room temperature. The detection was performed using an HRP conjugated compact polymer system. DAB was used as the chromogen. Tissues were counterstained with hematoxylin and mounted with DPX.
-
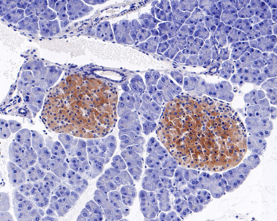
Immunohistochemical analysis of paraffin-embedded mouse pancreas tissue with Rabbit anti-LAMP2a antibody (HA750016) at 1/500 dilution.
The section was pre-treated using heat mediated antigen retrieval with Tris-EDTA buffer (pH 9.0) for 20 minutes. The tissues were blocked in 1% BSA for 20 minutes at room temperature, washed with ddH2O and PBS, and then probed with the primary antibody (HA750016) at 1/500 dilution for 1 hour at room temperature. The detection was performed using an HRP conjugated compact polymer system. DAB was used as the chromogen. Tissues were counterstained with hematoxylin and mounted with DPX.
-
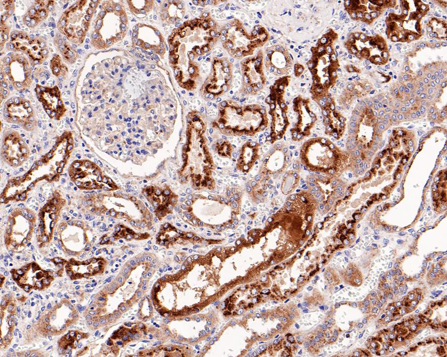
Immunohistochemical analysis of paraffin-embedded rat kidney tissue with Rabbit anti-LAMP2a antibody (HA750016) at 1/500 dilution.
The section was pre-treated using heat mediated antigen retrieval with Tris-EDTA buffer (pH 9.0) for 20 minutes. The tissues were blocked in 1% BSA for 20 minutes at room temperature, washed with ddH2O and PBS, and then probed with the primary antibody (HA750016) at 1/500 dilution for 1 hour at room temperature. The detection was performed using an HRP conjugated compact polymer system. DAB was used as the chromogen. Tissues were counterstained with hematoxylin and mounted with DPX.
-
LAMP2a was immunoprecipitated from 0.2 mg SK-MEL-28 cell lysate with HA750016 at 2 µg/10 µl beads. Western blot was performed from the immunoprecipitate using HA750016 at 1/2,000 dilution. HRP Conjugated Rabbit IgG kappa light chain antibody (M1208-2) at 1/5,000 dilution was used for 1 hour at room temperature.
Lane 1: SK-MEL-28 cell lysate (Input)
Lane 2: HA750016 IP in SK-MEL-28 cell lysate
Lane 3: Rabbit IgG instead of HA750016 in SK-MEL-28 cell lysate
Blocking/Dilution buffer: 5% NFDM/TBST
Exposure time: 20 seconds; ECL: K1801
请注意: All products are "FOR RESEARCH USE ONLY AND ARE NOT INTENDED FOR DIAGNOSTIC OR THERAPEUTIC USE"