图片
-
☑ Cell treatment (CT)
Western blot analysis of IL-1 beta on different lysates with Mouse anti-IL-1 beta antibody (HA610004) at 1/1,000 dilution.
Lane 1: THP-1 cell lysate
Lane 2: THP-1 treated with 80nM TPA overnight then replaced with 100ng/mL LPS for 6 hours add 300ng/mL BFA for last 3 hours cell lysate
Lysates/proteins at 10 µg/Lane.
Predicted band size: 31 kDa
Observed band size: 31 kDa
Exposure time: 1 minute;
4-20% SDS-PAGE gel.
Proteins were transferred to a PVDF membrane and blocked with 5% NFDM/TBST for 1 hour at room temperature. The primary antibody (HA610004) at 1/1,000 dilution was used in 5% NFDM/TBST at 4℃ overnight. Goat Anti-Mouse IgG - HRP Secondary Antibody (HA1006) at 1/50,000 dilution was used for 1 hour at room temperature.
-
Western blot analysis of IL-1 beta on different proteins with Mouse anti-IL-1 beta antibody (HA610004) at 1/2,000 dilution.
Lane 1: Recombinant mouse IL-1 beta
Lane 2: Recombinant rat IL-1 beta
Lane 3: Recombinant human IL-1 beta
Lysates/proteins at 50 ng/Lane.
Exposure time: 30 seconds;
4-20% SDS-PAGE gel.
Proteins were transferred to a PVDF membrane and blocked with 5% NFDM/TBST for 1 hour at room temperature. The primary antibody (HA610004) at 1/2,000 dilution was used in 5% NFDM/TBST at room temperature for 2 hours. Goat Anti-Mouse IgG - HRP Secondary Antibody (HA1006) at 1/50,000 dilution was used for 1 hour at room temperature.
-
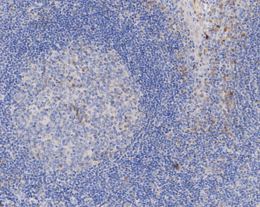
Immunohistochemical analysis of paraffin-embedded human tonsil tissue with Mouse anti-IL-1 beta antibody (HA610004) at 1/100 dilution.
The section was pre-treated using heat mediated antigen retrieval with Tris-EDTA buffer (pH 9.0) for 20 minutes. The tissues were blocked in 1% BSA for 20 minutes at room temperature, washed with ddH2O and PBS, and then probed with the primary antibody (HA610004) at 1/100 dilution for 1 hour at room temperature. The detection was performed using an HRP conjugated compact polymer system. DAB was used as the chromogen. Tissues were counterstained with hematoxylin and mounted with DPX.
-
IL-1 beta Antibody (HA610004) in indirect ELISA.
Indirect ELISA analysis of IL-1 beta was performed by coating wells of a 96-well plate with 50 µl per well of IL-1 beta antigen diluted in carbonate/bicarbonate buffer, at a concentration of 1 µg/mL overnight at 4℃. Wells of the plate were washed, blocked with StartingBlock blocking buffer, and incubated with 50 µl per well of a mouse IL-1 beta monoclonal antibody starting at a concentration of 20 µg/mL and serially diluting it to a concentration of 1.28 ng/mL for 2 hours at room temperature. The plate was washed and incubated with 50 µl per well of an HRP-conjugated goat anti-mouse IgG secondary antibody at a dilution of 1:10,000 for one hour at room temperature. Detection was performed using an Ultra TMB Substrate for 5 minutes at room temperature in the dark. The reaction was stopped with sulfuric acid and absorbances were read on a spectrophotometer at 450 nm.
-
Application: IF-Tissue
Species: Human
Site: tonsil
Sample: Paraffin-embedded section
Antibody concentration: 1/200
请注意: All products are "FOR RESEARCH USE ONLY AND ARE NOT INTENDED FOR DIAGNOSTIC OR THERAPEUTIC USE"