Major histocompatibility complex (MHC) class II molecules destined for presentation to CD4+ helper T cells is determined by two key events. These events include the dissociation of class II-associated invariant chain peptides (CLIP) from an antigen binding groove in MHC II α/β dimers through the activity of MHC molecules HLA-DM and -DO, and subsequent peptide antigen binding. Accumulating in endosomal/lysosomal compartments and on the surface of B cells, HLA-DM, -DO molecules regulate the dissociation of CLIP and the subsequent binding of exogenous peptides to HLA class II molecules (HLA-DR, -DQ and -DP) by sustaining a conformation that favors peptide exchange. RFLP analysis of HLA-DM genes from rheumatoid arthritis (RA) patients suggests that certain polymorphisms are genetic factors for RA susceptibility. HLA-B belongs to the HLA class I heavy chain paralogs. Class I molecules play a central role in the immune system by presenting peptides derived from the endoplasmic reticulum lumen. HLA-B and -C can form heterodimers consisting of a membrane anchored heavy chain and a light chain (β-2-Microglobulin). Polymorphisms yield hundreds of HLA-B and -C alleles.
背景文献
1. Mastropasqua R et al. Corneoscleral limbus in glaucoma patients: in vivo confocal microscopy and immunocytological study. Invest Ophthalmol Vis Sci 56:2050-8 (2015).
2. Wang H et al. CD68(+)HLA-DR(+) M1-like macrophages promote motility of HCC cells via NF-kB/FAK pathway. Cancer Lett 345:91-9 (2014).
序列相似性
Belongs to the MHC class II family.
翻译后修饰
Ubiquitinated by MARCH1 or MARCH8 at Lys-244 leading to down-regulation of MHC class II. When associated with ubiquitination of the beta subunit of HLA-DR: HLA-DRB4 'Lys-254', the down-regulation of MHC class II may be highly effective.
Western blot analysis of HLA-DR on different lysates with Rabbit anti-HLA-DR antibody (ET1610-66) at 1/1,000 dilution.
Lane 1: Daudi cell lysate Lane 2: Raji cell lysate
Lysates/proteins at 20 µg/Lane.
Predicted band size: 29 kDa Observed band size: 35 kDa
Exposure time: 1 minute 40 seconds;
4-20% SDS-PAGE gel.
Proteins were transferred to a PVDF membrane and blocked with 5% NFDM/TBST for 1 hour at room temperature. The primary antibody (ET1610-66) at 1/1,000 dilution was used in 5% NFDM/TBST at 4℃ overnight. Goat Anti-Rabbit IgG - HRP Secondary Antibody (HA1001) at 1:100,000 dilution was used for 1 hour at room temperature.
Immunocytochemistry analysis of Hela cells labeling HLA-DR with Rabbit anti-HLA-DR antibody (ET1610-66) at 1/50 dilution.
Cells were fixed in 4% paraformaldehyde for 10 minutes at 37 ℃, permeabilized with 0.05% Triton X-100 in PBS for 20 minutes, and then blocked with 2% negative goat serum for 30 minutes at room temperature. Cells were then incubated with Rabbit anti-HLA-DR antibody (ET1610-66) at 1/50 dilution in 2% negative goat serum overnight at 4 ℃. Goat Anti-Rabbit IgG H&L (iFluor™ 488, HA1121) was used as the secondary antibody at 1/1,000 dilution. PBS instead of the primary antibody was used as the secondary antibody only control. Nuclear DNA was labelled in blue with DAPI.
Immunocytochemistry analysis of B16F1 cells labeling HLA-DR with Rabbit anti-HLA-DR antibody (ET1610-66) at 1/50 dilution.
Cells were fixed in 4% paraformaldehyde for 10 minutes at 37 ℃, permeabilized with 0.05% Triton X-100 in PBS for 20 minutes, and then blocked with 2% negative goat serum for 30 minutes at room temperature. Cells were then incubated with Rabbit anti-HLA-DR antibody (ET1610-66) at 1/50 dilution in 2% negative goat serum overnight at 4 ℃. Goat Anti-Rabbit IgG H&L (iFluor™ 488, HA1121) was used as the secondary antibody at 1/1,000 dilution. PBS instead of the primary antibody was used as the secondary antibody only control. Nuclear DNA was labelled in blue with DAPI.
Immunohistochemical analysis of paraffin-embedded human tonsil tissue using anti-HLA-DR antibody. The section was pre-treated using heat mediated antigen retrieval with Tris-EDTA buffer (pH 9.0) for 20 minutes.The tissues were blocked in 5% BSA for 30 minutes at room temperature, washed with ddH2O and PBS, and then probed with the primary antibody (ET1610-66, 1/200) for 30 minutes at room temperature. The detection was performed using an HRP conjugated compact polymer system. DAB was used as the chromogen. Tissues were counterstained with hematoxylin and mounted with DPX.
Immunohistochemical analysis of paraffin-embedded human liver tissue with Rabbit anti-HLA-DR antibody (ET1610-66) at 1/1,000 dilution.
The section was pre-treated using heat mediated antigen retrieval with Tris-EDTA buffer (pH 9.0) for 20 minutes. The tissues were blocked in 1% BSA for 20 minutes at room temperature, washed with ddH2O and PBS, and then probed with the primary antibody (ET1610-66) at 1/1,000 dilution for 1 hour at room temperature. The detection was performed using an HRP conjugated compact polymer system. DAB was used as the chromogen. Tissues were counterstained with hematoxylin and mounted with DPX.
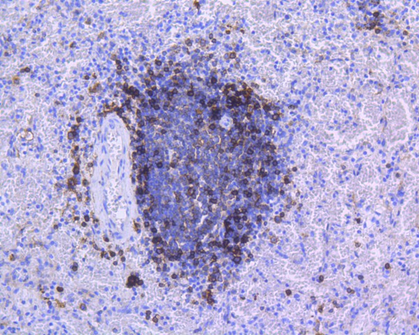
Immunohistochemical analysis of paraffin-embedded human spleen tissue using anti-HLA-DR antibody. The section was pre-treated using heat mediated antigen retrieval with Tris-EDTA buffer (pH 9.0) for 20 minutes.The tissues were blocked in 5% BSA for 30 minutes at room temperature, washed with ddH2O and PBS, and then probed with the primary antibody (ET1610-66, 1/200) for 30 minutes at room temperature. The detection was performed using an HRP conjugated compact polymer system. DAB was used as the chromogen. Tissues were counterstained with hematoxylin and mounted with DPX.
请注意: All products are "FOR RESEARCH USE ONLY AND ARE NOT INTENDED FOR DIAGNOSTIC OR THERAPEUTIC USE"