Catalog# M1701-5
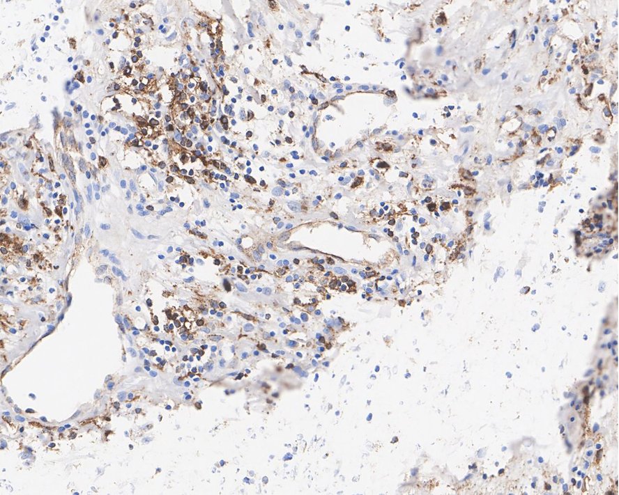
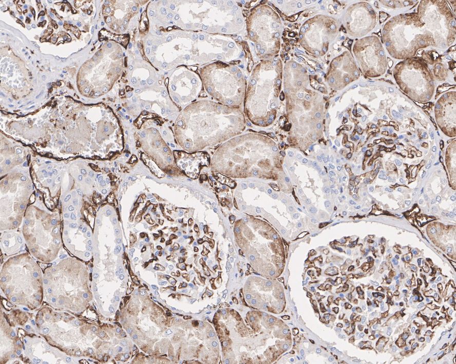
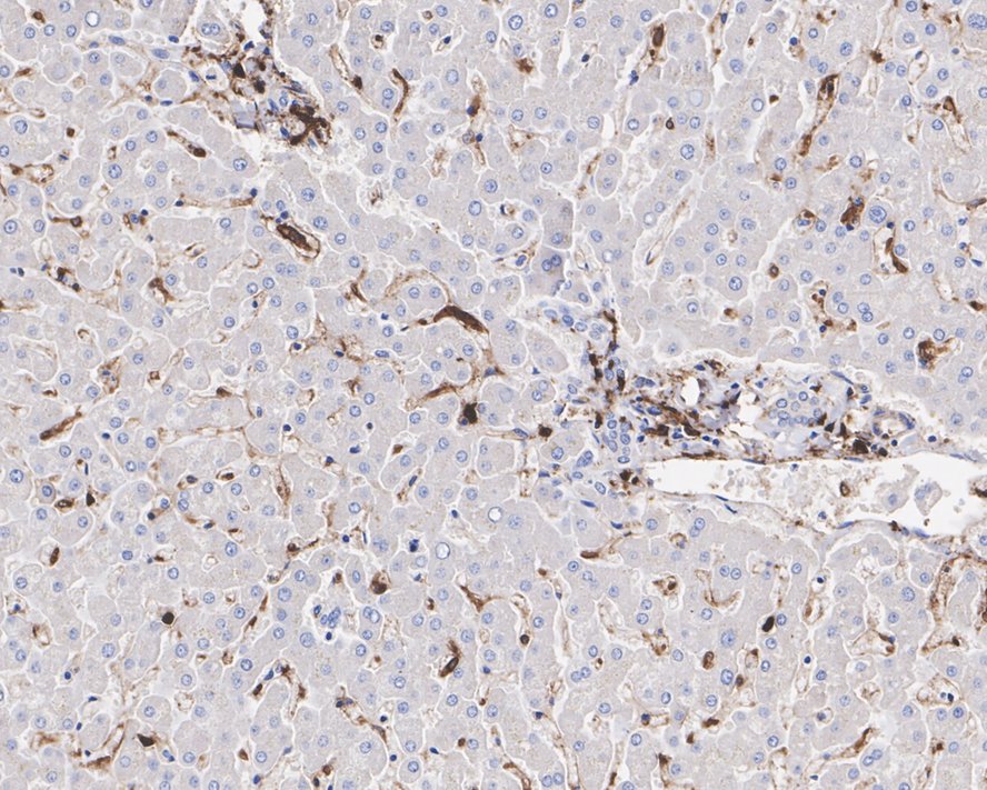
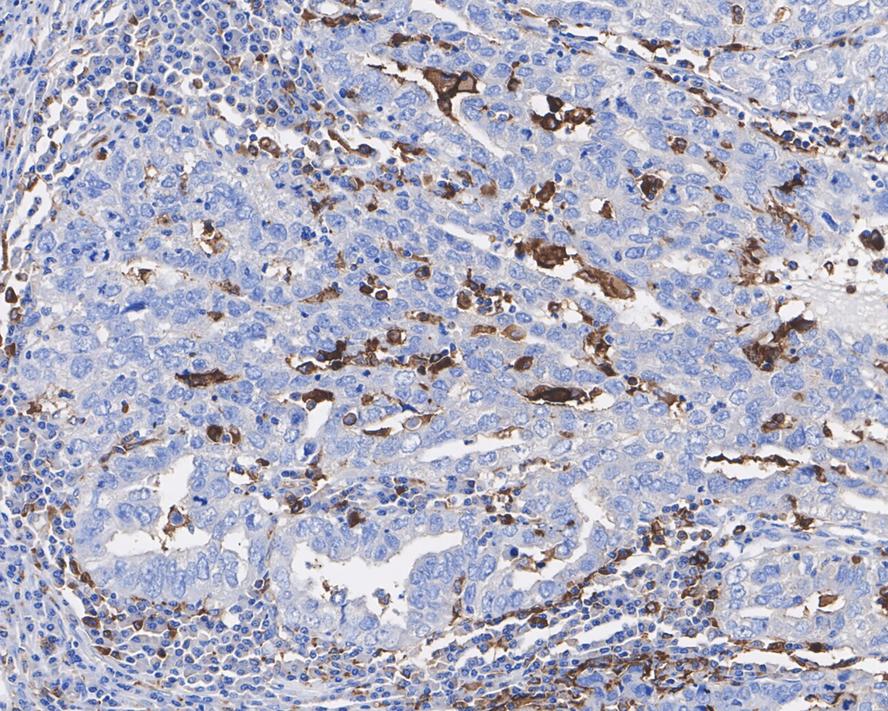
HLA-DR Mouse Monoclonal Antibody [10-D8]
Application
-
WB
-
IHC-P
-
IF-Cell
Reactivity
-
Human
Conjugation
-
unconjugated

浙公网安备 33019202000643号