-
Western blot analysis of Myc tag on different lysates with Rabbit anti-Myc tag antibody (HA751640) at 1/20,000 dilution.
Lane 1: 293T transfected with Myc-tagged empty control cell lysate
Lane 2: 293T transfected with Myc-tagged Claudin18.2 (C-terminal) cell lysate
Lane 3: 293T transfected with Myc-tagged empty control cell lysate
Lane 4: 293T transfected with Myc-tagged ACAT2 (C-terminal) cell lysate
Lysates/proteins at 10 µg/Lane.
Exposure time: 4 seconds; ECL: K1801;
4-20% SDS-PAGE gel.
Proteins were transferred to a PVDF membrane and blocked with 5% NFDM/TBST for 1 hour at room temperature. The primary antibody (HA751640) at 1/20,000 dilution was used in primary antibody dilution (K1803) at 4℃ overnight. Goat Anti-Rabbit IgG - HRP Secondary Antibody (HA1001) at 1/50,000 dilution was used for 1 hour at room temperature.
-
Western blot analysis of Myc tag on different lysates with Rabbit anti-Myc tag antibody (HA751640) at 1/5,000 dilution.
Lane 1: 293T transfected with Myc-tagged empty control cell lysate
Lane 2: 293T transfected with Myc-tagged Histone H3.1 (N-terminal) cell lysate
Lysates/proteins at 10 µg/Lane.
Exposure time: 40 seconds; ECL: K1802;
4-20% SDS-PAGE gel.
Proteins were transferred to a PVDF membrane and blocked with 5% NFDM/TBST for 1 hour at room temperature. The primary antibody (HA751640) at 1/5,000 dilution was used in primary antibody dilution (K1803) at 4℃ overnight. Goat Anti-Rabbit IgG - HRP Secondary Antibody (HA1001) at 1/50,000 dilution was used for 1 hour at room temperature.
-
Immunocytochemistry analysis of 293T cells labeling Myc tag with Rabbit anti-Myc tag antibody (HA751640) at 1/15,000 dilution.
293T cells, transfected with Myc-tagged empty control (top, negative) / Myc-tagged Claudin18.2 (C-terminal) (middle, positive) / Myc-tagged Histone H3.1 (N-terminal) (bottom, positive) expression vector, respectively, were fixed in 4% paraformaldehyde for 15 minutes at room temperature, permeabilized with 0.1% Triton X-100 in PBS for 15 minutes at room temperature, then blocked with 1% BSA in 10% negative goat serum for 1 hour at room temperature. Cells were then incubated with Rabbit anti-Myc tag antibody (HA751640) at 1/15,000 dilution in 1% BSA in PBST overnight at 4 ℃. Goat Anti-Rabbit IgG H&L (iFluor™ 488, HA1121) was used as the secondary antibody at 1/1,000 dilution. PBS instead of the primary antibody was used as the secondary antibody only control. Nuclear DNA was labelled in blue with DAPI.
Myc tag (HA601081, red) was stained at 1/1,000 dilution overnight at +4℃. Goat Anti-Mouse IgG H&L (iFluor™ 594, HA1126) was used as the secondary antibody at 1/1,000 dilution.
-
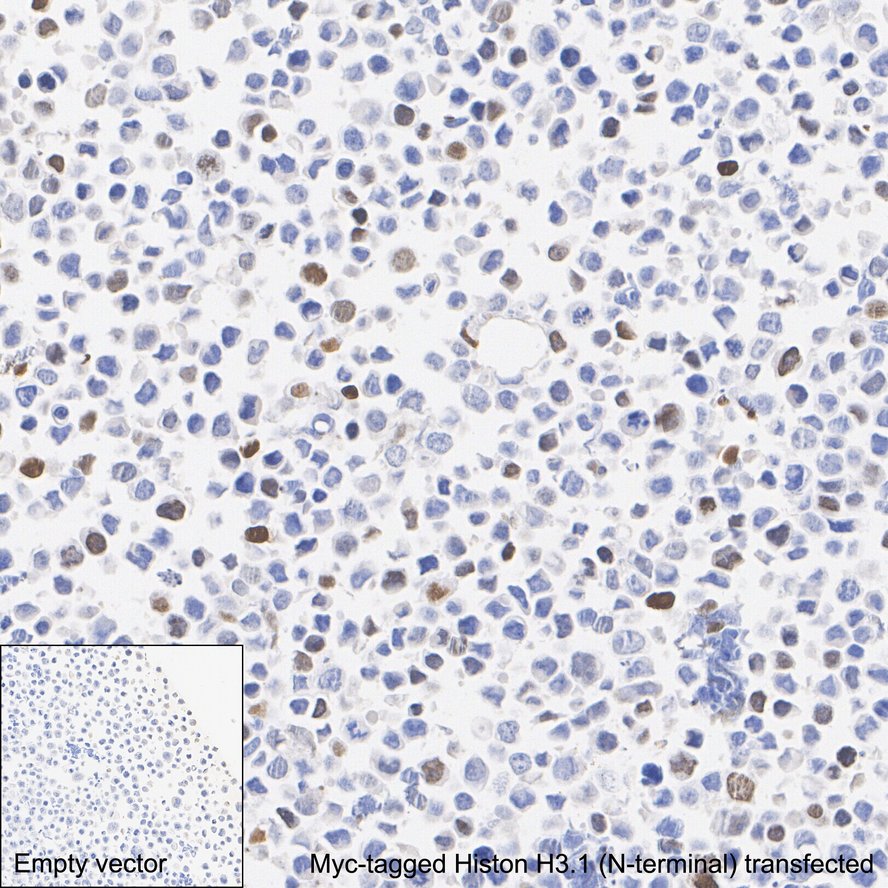
Immunohistochemical analysis of paraffin-embedded 293T cells transfected with Myc-tagged Histone H3.1 (N-terminal) with Rabbit anti-Myc tag antibody (HA751640) at 1/30,000 dilution.
The section was pre-treated using heat mediated antigen retrieval with Tris-EDTA buffer (pH 9.0) for 20 minutes. The tissues were blocked in 1% BSA for 20 minutes at room temperature, washed with ddH2O and PBS, and then probed with the primary antibody (HA751640) at 1/30,000 dilution for 1 hour at room temperature. The detection was performed using an HRP conjugated compact polymer system. DAB was used as the chromogen. Tissues were counterstained with hematoxylin and mounted with DPX.
-
Flow cytometric analysis of 293T cells transfected with Myc-tagged empty control (left) / 293T cells transfected with Myc-tagged ACAT2 (C-terminal) (right) labeling Myc tag.
Cells were fixed and permeabilized. Then stained with the primary antibody (HA751640, 1/5,000) (red) compared with Rabbit IgG Isotype Control (green). After incubation of the primary antibody at +4℃ for an hour, the cells were stained with a iFluor™ 488 conjugate-Goat anti-Rabbit IgG Secondary antibody (HA1121) at 1/1,000 dilution for 30 minutes at +4℃. Unlabelled sample was used as a control (cells without incubation with primary antibody; black).
-
Myc tag was immunoprecipitated from 0.2 mg 293T transfected with Myc-tagged Histone H3.1 (N-terminal) cell lysate with HA751640 at 2 µg/10 µl beads. Western blot was performed from the immunoprecipitate using HA751640 at 1/5,000 dilution. HRP Conjugated Anti-Rabbit IgG for IP Nano-secondary antibody at 1/5,000 dilution was used for 1 hour at room temperature.
Lane 1: 293T transfected with Myc-tagged Histone H3.1 (N-terminal) cell lysate (input)
Lane 2: HA751640 IP in 293T transfected with Myc-tagged Histone H3.1 (N-terminal) cell lysate
Lane 3: Rabbit IgG instead of HA751640 in 293T transfected with Myc-tagged Histone H3.1 (N-terminal) cell lysate
Blocking/Dilution buffer: primary antibody dilution (K1803)
Exposure time: 42 seconds; ECL: K1801
-
Myc tag was immunoprecipitated from 0.2 mg 293T transfected with Myc-tagged ACAT2 (C-terminal) cell lysate with HA751640 at 2 µg/10 µl beads. Western blot was performed from the immunoprecipitate using HA751640 at 1/20,000 dilution. HRP Conjugated Anti-Rabbit IgG for IP Nano-secondary antibody at 1/5,000 dilution was used for 1 hour at room temperature.
Lane 1: 293T transfected with Myc-tagged ACAT2 (C-terminal) cell lysate (input)
Lane 2: HA751640 IP in 293T transfected with Myc-tagged ACAT2 (C-terminal) cell lysate
Lane 3: Rabbit IgG instead of HA751640 in 293T transfected with Myc-tagged ACAT2 (C-terminal) cell lysate
Blocking/Dilution buffer: primary antibody dilution (K1803)
Exposure time: 2 seconds; ECL: K1801
请注意: All products are "FOR RESEARCH USE ONLY AND ARE NOT INTENDED FOR DIAGNOSTIC OR THERAPEUTIC USE"