图片
-
☑ Cell treatment (CT)
Western blot analysis of Phospho-Tau (T217) on different lysates with Rabbit anti-Phospho-Tau (T217) antibody (HA751287) at 1/2,000 dilution.
Lane 1: 293T transfected with Tau cell lysate
Lane 2: 293T transfected with Tau (mutated T217A) cell lysate (negative)
Lysates/proteins at 15 µg/Lane.
Predicted band size: 79 kDa
Observed band size: 55-75 kDa
Exposure time: 2 seconds; ECL: K1801;
4-20% SDS-PAGE gel.
Proteins were transferred to a PVDF membrane and blocked with 5% NFDM/TBST for 1 hour at room temperature. The primary antibody (HA751287) at 1/2,000 dilution was used in 5% NFDM/TBST at 4℃ overnight. Goat Anti-Rabbit IgG - HRP Secondary Antibody (HA1001) at 1/50,000 dilution was used for 1 hour at room temperature.
-
☑ Cell treatment (CT)
Immunocytochemistry analysis of 293T cells labeling Phospho-Tau (T217) with Rabbit anti-Phospho-Tau (T217) antibody (HA751287) at 1/500 dilution.
293T cells, transfected with empty control (top, negative) / Tau (middle, positive) / Tau (mutated T217A) (bottom, negative) expression vector, respectively, were fixed in 4% paraformaldehyde for 15 minutes at room temperature, permeabilized with 0.1% Triton X-100 in PBS for 15 minutes at room temperature, then blocked with 1% BSA in 10% negative goat serum for 1 hour at room temperature. Cells were then incubated with Rabbit anti-Phospho-Tau (T217) antibody (HA751287) at 1/500 dilution in 1% BSA in PBST overnight at 4 ℃. Goat Anti-Rabbit IgG H&L (iFluor™ 488, HA1121) was used as the secondary antibody at 1/1,000 dilution. PBS instead of the primary antibody was used as the secondary antibody only control. Nuclear DNA was labelled in blue with DAPI.
Beta tubulin (HA601187, red) was stained at 1/100 dilution overnight at +4℃. Goat Anti-Mouse IgG H&L (iFluor™ 594, HA1126) was used as the secondary antibody at 1/1,000 dilution.
-
Western blot analysis of Phospho-Tau (T217) on different lysates with Rabbit anti-Phospho-Tau (T217) antibody (HA751287) at 1/1,000 dilution.
Lane 1: Human brain tissue lysate (40 µg/Lane)
Lane 2: Rat brain tissue lysate (40 µg/Lane)
Predicted band size: 79 kDa
Observed band size: 55-75 kDa
Exposure time: 3 minutes; ECL: K1802;
4-20% SDS-PAGE gel.
Proteins were transferred to a PVDF membrane and blocked with 5% NFDM/TBST for 1 hour at room temperature. The primary antibody (HA751287) at 1/1,000 dilution was used in 5% NFDM/TBST at 4℃ overnight. Goat Anti-Rabbit IgG - HRP Secondary Antibody (HA1001) at 1/50,000 dilution was used for 1 hour at room temperature.
-
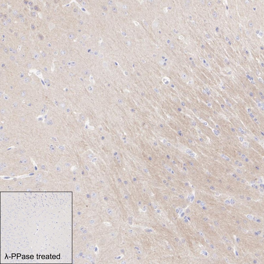
☑ Cell treatment (CT)
Immunohistochemical analysis of paraffin-embedded mouse brain tissue untreated / treated with λpp with Rabbit anti-Phospho-Tau (T217) antibody (HA751287) at 1/50 dilution.
The section was pre-treated using heat mediated antigen retrieval with Tris-EDTA buffer (pH 9.0) for 20 minutes. The tissues were blocked in 1% BSA for 20 minutes at room temperature, washed with ddH2O and PBS, and then probed with the primary antibody (HA751287) at 1/50 dilution for 1 hour at room temperature. The detection was performed using an HRP conjugated compact polymer system. DAB was used as the chromogen. Tissues were counterstained with hematoxylin and mounted with DPX.
-
Immunofluorescence analysis of frozen mouse brain tissue with Rabbit anti-Phospho-Tau (T217) antibody (HA751287) at 1/50 dilution.
The section was pre-treated using heat mediated antigen retrieval with sodium citrate buffer (pH 6.0) for about 2 minutes in microwave oven. The tissues were blocked in 10% negative goat serum for 1 hour at room temperature, washed with PBS, and then probed with the primary antibody (HA751287, green) at 1/50 dilution overnight at 4 ℃, washed with PBS. Goat Anti-Rabbit IgG H&L (iFluor™ 488, HA1121) was used as the secondary antibody at 1/1,000 dilution. Nuclei were counterstained with DAPI (blue).
-
Western blot analysis of Phospho-Tau (T217) on different lysates with Rabbit anti-Phospho-Tau (T217) antibody (HA751287) at 1/1,000 dilution.
Lane 1: WT mouse cortex tissue#4
Lane 2: WT mouse cortex tissue#6
Lane 3: WT mouse cortex tissue#24
Lane 4: WT mouse cortex tissue#27
Lane 5: Tau P301S(PS19)mouse cortex tissue#1
Lane 6: Tau P301S(PS19)mouse cortex tissue#15
Lane 7: Tau P301S(PS19)mouse cortex tissue#19
Lane 8: Tau P301S(PS19)mouse cortex tissue#22
Lysates/proteins at 40 µg/Lane.
Predicted band size: 79 kDa
Observed band size: 60 kDa
Exposure time: 3 minutes; ECL: K1802;
4-20% SDS-PAGE gel.
Proteins were transferred to a PVDF membrane and blocked with 5% NFDM/TBST for 1 hour at room temperature. The primary antibody (HA751287) at 1/1,000 dilution was used in 5% NFDM/TBST at 4℃ overnight. Goat Anti-Rabbit IgG - HRP Secondary Antibody (HA1001) at 1/50,000 dilution was used for 1 hour at room temperature.
请注意: All products are "FOR RESEARCH USE ONLY AND ARE NOT INTENDED FOR DIAGNOSTIC OR THERAPEUTIC USE"