图片
-
Application: IHC-Fr
Species: Mouse
Site: Small intestine
Sample: Frozen section
Antibody concentration: 1:200
Antigen retrieval: The section was pre-treated using heat mediated antigen retrieval with sodium citrate buffer (pH 6.0) for about 2 minutes in microwave oven.
-
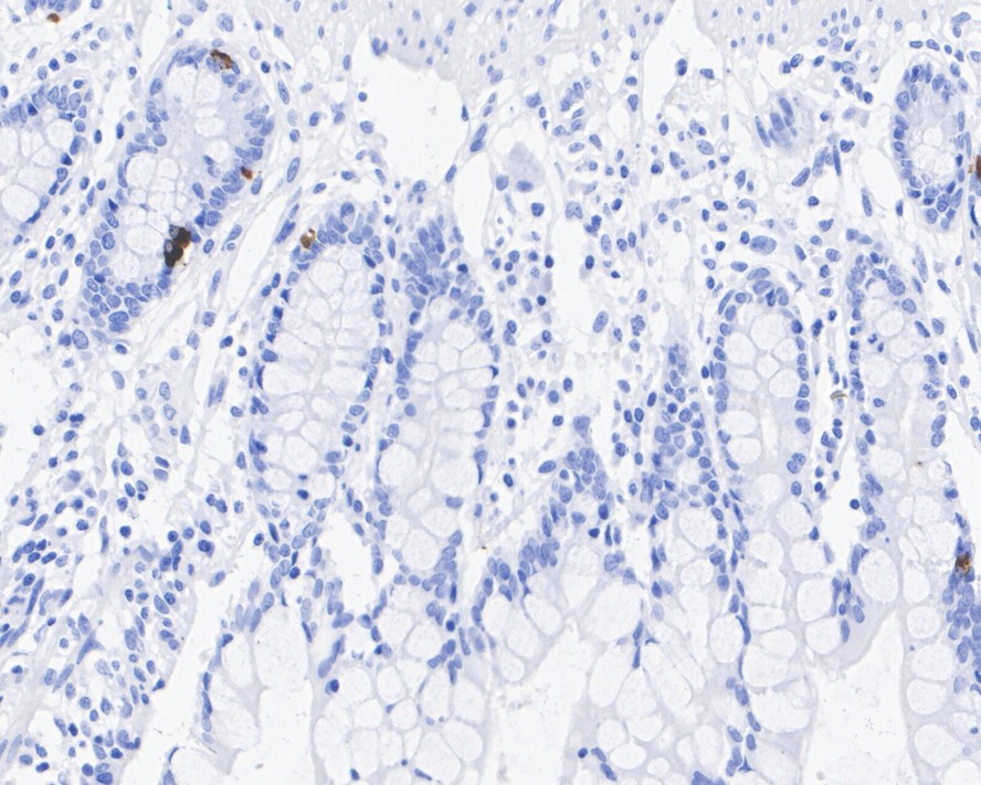
Application: IHC-Fr
Species: Rat
Site: Small intestine
Sample: Frozen section
Antibody concentration: 1:200
Antigen retrieval: The section was pre-treated using heat mediated antigen retrieval with sodium citrate buffer (pH 6.0) for about 2 minutes in microwave oven.
-
Western blot analysis of 5-HT (Serotonin) on different peptides with Rabbit anti-5-HT (Serotonin) antibody (HA751044) at 1/2,000 dilution.
Lane 1: 5-HT-BSA (positive) (30 ng/Lane)
Lane 2: Tryptamine-BSA (negative) (30 ng/Lane)
Lane 3: 5-Methoxytryptamine-BSA (negative) (30 ng/Lane)
Lane 4: Dopamine-BSA (negative) (30 ng/Lane)
Lane 5: BSA (negative) (30 ng/Lane)
Predicted band size: 66 kDa
Observed band size: 66 kDa
Exposure time: 1 minute; ECL: K1801;
4-20% SDS-PAGE gel.
Proteins were transferred to a PVDF membrane and blocked with 5% NFDM/TBST for 1 hour at room temperature. The primary antibody (HA751044) at 1/2,000 dilution was used in 5% NFDM/TBST at room temperature for 2 hours. Goat Anti-Rabbit IgG - HRP Secondary Antibody (HA1001) at 1/50,000 dilution was used for 1 hour at room temperature.
-
Immunohistochemical analysis of paraffin-embedded human stomach tissue with Rabbit anti-5-HT (Serotonin) antibody (HA751044) at 1/200 dilution.
The section was pre-treated using heat mediated antigen retrieval with sodium citrate buffer (pH 6.0) (high pressure) for 2 minutes. The tissues were blocked in 1% BSA for 20 minutes at room temperature, washed with ddH2O and PBS, and then probed with the primary antibody (HA751044) at 1/200 dilution for 1 hour at room temperature. The detection was performed using an HRP conjugated compact polymer system. DAB was used as the chromogen. Tissues were counterstained with hematoxylin and mounted with DPX.
-
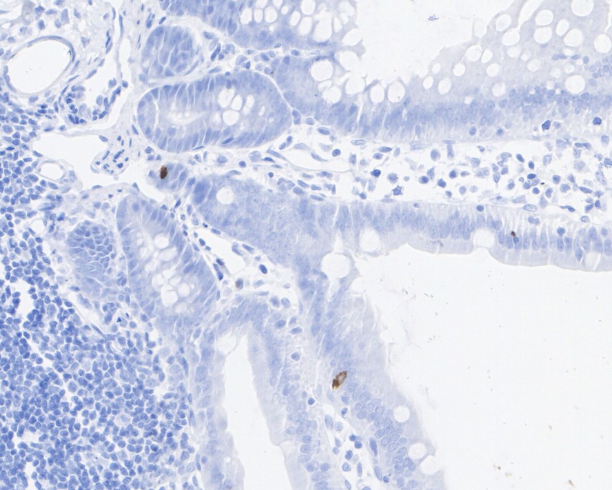
Immunohistochemical analysis of paraffin-embedded human small intestine tissue with Rabbit anti-5-HT (Serotonin) antibody (HA751044) at 1/1,000 dilution.
The section was pre-treated using heat mediated antigen retrieval with sodium citrate buffer (pH 6.0) (high pressure) for 2 minutes. The tissues were blocked in 1% BSA for 20 minutes at room temperature, washed with ddH2O and PBS, and then probed with the primary antibody (HA751044) at 1/1,000 dilution for 1 hour at room temperature. The detection was performed using an HRP conjugated compact polymer system. DAB was used as the chromogen. Tissues were counterstained with hematoxylin and mounted with DPX.
-
Immunohistochemical analysis of paraffin-embedded mouse small intestine tissue with Rabbit anti-5-HT (Serotonin) antibody (HA751044) at 1/1,000 dilution.
The section was pre-treated using heat mediated antigen retrieval with sodium citrate buffer (pH 6.0) (high pressure) for 2 minutes. The tissues were blocked in 1% BSA for 20 minutes at room temperature, washed with ddH2O and PBS, and then probed with the primary antibody (HA751044) at 1/1,000 dilution for 1 hour at room temperature. The detection was performed using an HRP conjugated compact polymer system. DAB was used as the chromogen. Tissues were counterstained with hematoxylin and mounted with DPX.
-
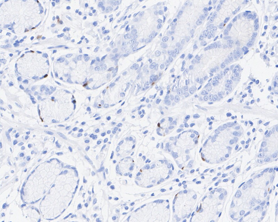
Immunohistochemical analysis of paraffin-embedded rat small intestine tissue with Rabbit anti-5-HT (Serotonin) antibody (HA751044) at 1/1,000 dilution.
The section was pre-treated using heat mediated antigen retrieval with sodium citrate buffer (pH 6.0) (high pressure) for 2 minutes. The tissues were blocked in 1% BSA for 20 minutes at room temperature, washed with ddH2O and PBS, and then probed with the primary antibody (HA751044) at 1/1,000 dilution for 1 hour at room temperature. The detection was performed using an HRP conjugated compact polymer system. DAB was used as the chromogen. Tissues were counterstained with hematoxylin and mounted with DPX.
-
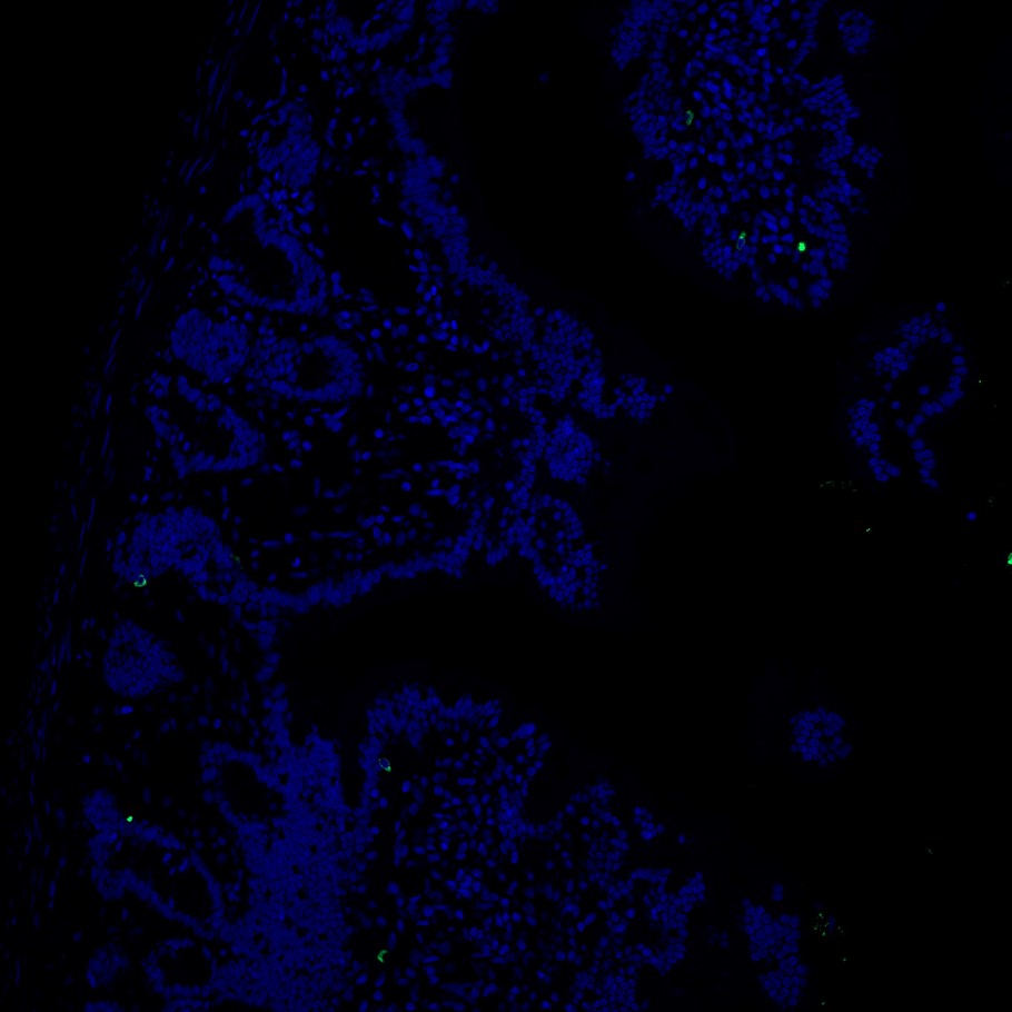
Immunofluorescence analysis of paraffin-embedded human small intestine tissue labeling 5-HT (Serotonin) with Rabbit anti-5-HT (Serotonin) antibody (HA751044) at 1/200 dilution.
The section was pre-treated using heat mediated antigen retrieval with sodium citrate buffer (pH 6.0) (high pressure) for 2 minutes. The tissues were blocked in 10% negative goat serum for 1 hour at room temperature, washed with PBS, and then probed with the primary antibody (HA751044, green) at 1/200 dilution overnight at 4 ℃, washed with PBS. Goat Anti-Rabbit IgG H&L (iFluor™ 488, HA1121) was used as the secondary antibody at 1/1,000 dilution. Nuclei were counterstained with DAPI (blue).
-
Application: IF-tissue
Species: Mouse
Site: Small intestine
Sample: Paraffin-embedded section
Antibody concentration: 1:200
-
Application: IF-tissue
Species: Rat
Site: Small intestine
Sample: Paraffin-embedded section
Antibody concentration: 1:200
-
Competitive ELISA analysis of 5-HT was performed by coating wells of a 96-well plate with 50 µL per well of 5-HT-BSA diluted in carbonate/bicarbonate buffer, at a concentration of 1 µg/mL overnight at 4℃. Wells of the plate were washed, blocked with 1%BSA blocking buffer, and incubated with 50 µL per well of 5-HT monoclonal antibody at concentration of 1 µg/mL with serial diluted 5-HT starting from a concentration of 10µg/mL for 45 min at 37℃. The plate was washed and incubated with 50 µL per well of an HRP-conjugated goat anti-rabbit IgG secondary antibody at a dilution of 1:70,000 for 30 min at 37℃. Detection was performed using an Ultra TMB Substrate for 10 minutes at 37℃ in the dark. The reaction was stopped with sulfuric acid and absorbances were read on a spectrophotometer at 450 nm.
请注意: All products are "FOR RESEARCH USE ONLY AND ARE NOT INTENDED FOR DIAGNOSTIC OR THERAPEUTIC USE"