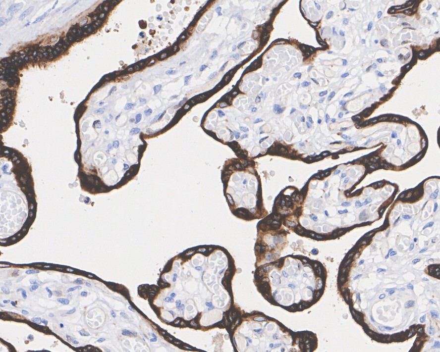
Steroid sulfatase Recombinant Rabbit Monoclonal Antibody [PSH05-74] - BSA and Azide free
Catalog# HA751024
Steroid sulfatase Recombinant Rabbit Monoclonal Antibody [PSH05-74] - BSA and Azide free
Application
-
WB
-
IHC-P
Reactivity
-
Human
With BSA and Azide
-
HA722441
含抗保成分
Conjugation
-
unconjugated
浙公网安备 33019202000643号