Catalog# HA722441
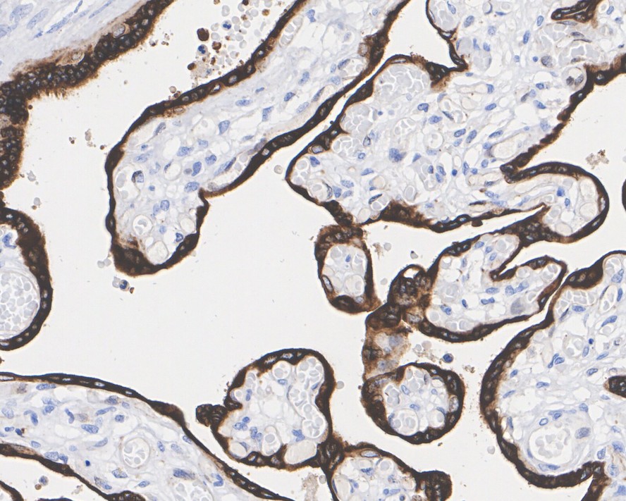
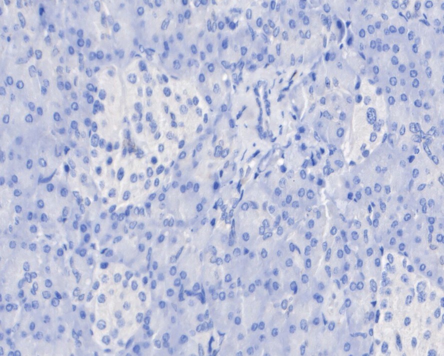
Steroid sulfatase Recombinant Rabbit Monoclonal Antibody [PSH05-74]
Application
-
WB
-
IHC-P
Reactivity
-
Human
BSA and Azide free
-
HA751024
不含抗保成分
Conjugation
-
unconjugated


浙公网安备 33019202000643号