-
☑ Relative expression (RE)
Western blot analysis of Tau on different lysates with Rabbit anti-Tau antibody (HA751009) at 1/5,000 dilution.
Lane 1: Mouse brain tissue lysate (20 µg/Lane)
Lane 2: Mouse spleen tissue lysate (negative) (20 µg/Lane)
Lane 3: Mouse cerebellum tissue lysate (20 µg/Lane)
Lane 4: Mouse testis tissue lysate (negative) (20 µg/Lane)
Lane 5: Rat brain tissue lysate (20 µg/Lane)
Lane 6: Rat spleen tissue lysate (negative) (20 µg/Lane)
Lane 7: Rat cerebellum tissue lysate (20 µg/Lane)
Lane 8: Rat testis tissue lysate (negative) (20 µg/Lane)
Lane 9: Pig brain tissue lysate (20 µg/Lane)
Lane 10: Pig spleen tissue lysate (negative) (20 µg/Lane)
Observed band size: 50-60 kDa
Exposure time: 6 seconds; ECL: K1801;
4-20% SDS-PAGE gel.
Proteins were transferred to a PVDF membrane and blocked with 5% NFDM/TBST for 1 hour at room temperature. The primary antibody (HA751009) at 1/5,000 dilution was used in primary antibody dilution (K1803) at 4℃ overnight. Goat Anti-Rabbit IgG - HRP Secondary Antibody (HA1001) at 1/50,000 dilution was used for 1 hour at room temperature.
Negative control : Spleen, Testis (PMID: 24309898, PMID: 24386422)
-
Western blot analysis of Tau on different lysates with Rabbit anti-Tau antibody (HA751009) at 1/1,000 dilution.
Lane 1: Mouse brain tissue lysate (hot lysis)
Lane 2: Rat brain tissue lysate
Lysates/proteins at 40 µg/Lane.
Predicted band size: 79 kDa
Observed band size: 50-70 kDa
Exposure time: 1 minute 50 seconds; ECL: K1801;
4-20% SDS-PAGE gel.
Proteins were transferred to a PVDF membrane and blocked with 5% NFDM/TBST for 1 hour at room temperature. The primary antibody (HA751009) at 1/1,000 dilution was used in 5% NFDM/TBST at 4℃ overnight. Goat Anti-Rabbit IgG - HRP Secondary Antibody (HA1001) at 1/50,000 dilution was used for 1 hour at room temperature.
-
☑ Relative expression (RE)
Western blot analysis of Tau on different lysates with Rabbit anti-Tau antibody (HA751009) at 1/5,000 dilution.
Lane 1: Mouse brain tissue lysate (40 µg/Lane)
Lane 2: HeLa cell lysate (negative) (20 µg/Lane)
Lane 3: Rat brain tissue lysate (no heat) (40 µg/Lane)
Notice: no heat means the lysate is not boiled.
Predicted band size: 79 kDa
Observed band size: 50-70 kDa
Exposure time: 14 seconds; ECL: K1801;
4-20% SDS-PAGE gel.
Proteins were transferred to a PVDF membrane and blocked with 5% NFDM/TBST for 1 hour at room temperature. The primary antibody (HA751009) at 1/5,000 dilution was used in primary antibody dilution (K1803) at 4℃ overnight. Goat Anti-Rabbit IgG - HRP Secondary Antibody (HA1001) at 1/50,000 dilution was used for 1 hour at room temperature.
-
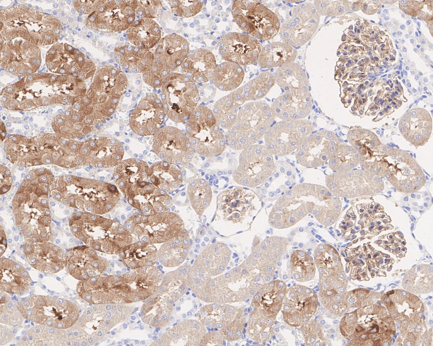
Immunohistochemical analysis of paraffin-embedded rat kidney tissue with Rabbit anti-Tau antibody (HA751009) at 1/5,000 dilution.
The section was pre-treated using heat mediated antigen retrieval with Tris-EDTA buffer (pH 9.0) for 20 minutes. The tissues were blocked in 1% BSA for 20 minutes at room temperature, washed with ddH2O and PBS, and then probed with the primary antibody (HA751009) at 1/5,000 dilution for 1 hour at room temperature. The detection was performed using an HRP conjugated compact polymer system. DAB was used as the chromogen. Tissues were counterstained with hematoxylin and mounted with DPX.
-
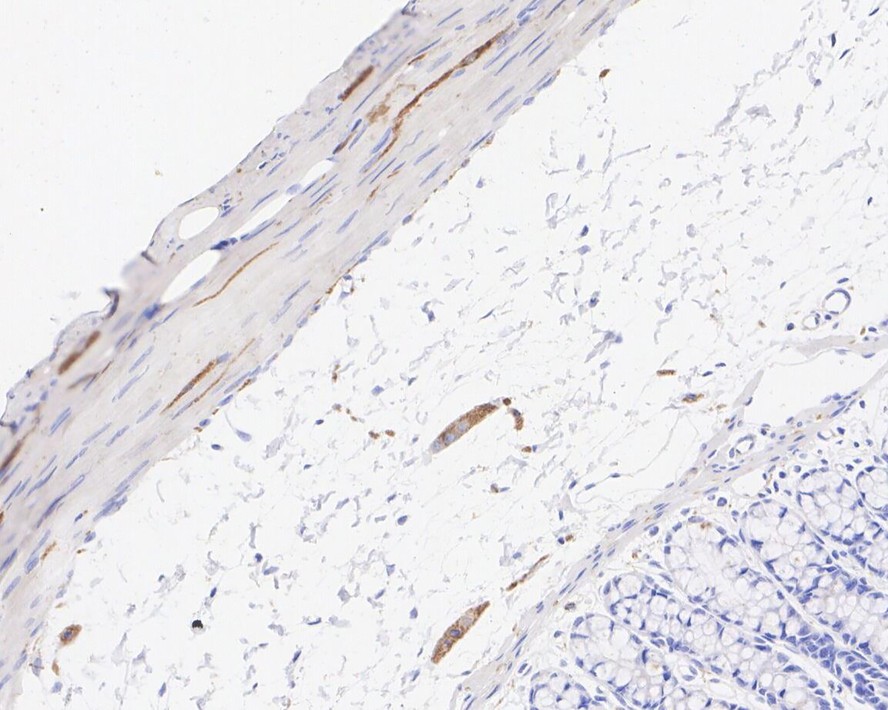
Immunohistochemical analysis of paraffin-embedded rat colon tissue with Rabbit anti-Tau antibody (HA751009) at 1/5,000 dilution.
The section was pre-treated using heat mediated antigen retrieval with Tris-EDTA buffer (pH 9.0) for 20 minutes. The tissues were blocked in 1% BSA for 20 minutes at room temperature, washed with ddH2O and PBS, and then probed with the primary antibody (HA751009) at 1/5,000 dilution for 1 hour at room temperature. The detection was performed using an HRP conjugated compact polymer system. DAB was used as the chromogen. Tissues were counterstained with hematoxylin and mounted with DPX.
-
Tau was immunoprecipitated from 0.2 mg mouse brain tissue lysate with HA751009 at 2 µg/10 µl beads. Western blot was performed from the immunoprecipitate using HA751009 at 1/5,000 dilution. Anti-Rabbit IgG for IP Nano-secondary antibody (NBI01H) at 1/5,000 dilution was used for 1 hour at room temperature.
Lane 1: Mouse brain tissue lysate (input)
Lane 2: HA751009 IP in mouse brain tissue lysate
Lane 3: Rabbit IgG instead of HA751009 in mouse brain tissue lysate
Blocking/Dilution buffer: 5% NFDM/TBST
Exposure time: 50 seconds; ECL: K1802
请注意: All products are "FOR RESEARCH USE ONLY AND ARE NOT INTENDED FOR DIAGNOSTIC OR THERAPEUTIC USE"