-
Western blot analysis of Recombinant Rabbit IgG (HA750951) on different lysates at 1/1,000 dilution.
Lane 1: HeLa cell lysate
Lane 2: Jurkat cell lysate
Lane 3: 293T cell lysate
Lane 4: NIH/3T3 cell lysate
Lane 5: RAW264.7 cell lysate
Lane 6: C6 cell lysate
Lane 7: PC-12 cell lysate
Lysates/proteins at 20 µg/Lane.
Exposure time: 3 minutes; ECL: K1801;
4-20% SDS-PAGE gel.
Proteins were transferred to a PVDF membrane and blocked with 5% NFDM/TBST for 1 hour at room temperature. The primary antibody (HA750951) at 1/1,000 dilution was used in 5% NFDM/TBST at 4℃ overnight. Goat Anti-Rabbit IgG - HRP Secondary Antibody (HA1001) at 1/50,000 dilution was used for 1 hour at room temperature.
-
Immunocytochemistry analysis of HeLa cells labeling Recombinant Rabbit IgG (HA750951) at 1/100 dilution.
Cells were fixed in 4% paraformaldehyde for 20 minutes at room temperature, permeabilized with 0.1% Triton X-100 in PBS for 5 minutes at room temperature, then blocked with 1% BSA in 10% negative goat serum for 1 hour at room temperature. Cells were then incubated with Recombinant Rabbit IgG (HA750951) at 1/100 dilution in 1% BSA in PBST overnight at 4 ℃. Goat Anti-Rabbit IgG H&L (iFluor™ 488, HA1121) was used as the secondary antibody at 1/1,000 dilution. PBS instead of the primary antibody was used as the secondary antibody only control. Nuclear DNA was labelled in blue with DAPI.
Beta tubulin (M1305-2, red) was stained at 1/100 dilution overnight at +4℃. Goat Anti-Mouse IgG H&L (iFluor™ 594, HA1126) was used as the secondary antibody at 1/1,000 dilution.
-
Immunocytochemistry analysis of NIH/3T3 cells labeling Recombinant Rabbit IgG (HA750951) at 1/100 dilution.
Cells were fixed in 4% paraformaldehyde for 20 minutes at room temperature, permeabilized with 0.1% Triton X-100 in PBS for 5 minutes at room temperature, then blocked with 1% BSA in 10% negative goat serum for 1 hour at room temperature. Cells were then incubated with Recombinant Rabbit IgG (HA750951) at 1/100 dilution in 1% BSA in PBST overnight at 4 ℃. Goat Anti-Rabbit IgG H&L (iFluor™ 488, HA1121) was used as the secondary antibody at 1/1,000 dilution. PBS instead of the primary antibody was used as the secondary antibody only control. Nuclear DNA was labelled in blue with DAPI.
Beta tubulin (M1305-2, red) was stained at 1/100 dilution overnight at +4℃. Goat Anti-Mouse IgG H&L (iFluor™ 594, HA1126) was used as the secondary antibody at 1/1,000 dilution.
-
Immunocytochemistry analysis of C6 cells labeling Recombinant Rabbit IgG (HA750951) at 1/100 dilution.
Cells were fixed in 4% paraformaldehyde for 20 minutes at room temperature, permeabilized with 0.1% Triton X-100 in PBS for 5 minutes at room temperature, then blocked with 1% BSA in 10% negative goat serum for 1 hour at room temperature. Cells were then incubated with Recombinant Rabbit IgG (HA750951) at 1/100 dilution in 1% BSA in PBST overnight at 4 ℃. Goat Anti-Rabbit IgG H&L (iFluor™ 488, HA1121) was used as the secondary antibody at 1/1,000 dilution. PBS instead of the primary antibody was used as the secondary antibody only control. Nuclear DNA was labelled in blue with DAPI.
Beta tubulin (M1305-2, red) was stained at 1/100 dilution overnight at +4℃. Goat Anti-Mouse IgG H&L (iFluor™ 594, HA1126) was used as the secondary antibody at 1/1,000 dilution.
-
Immunohistochemical analysis of paraffin-embedded human testis tissue with Recombinant Rabbit IgG (HA750951) at 1/200 dilution.
The section was pre-treated using heat mediated antigen retrieval with Tris-EDTA buffer (pH 9.0) for 20 minutes. The tissues were blocked in 1% BSA for 20 minutes at room temperature, washed with ddH2O and PBS, and then probed with the primary antibody (HA750951) at 1/200 dilution for 1 hour at room temperature. The detection was performed using an HRP conjugated compact polymer system. DAB was used as the chromogen. Tissues were counterstained with hematoxylin and mounted with DPX.
-
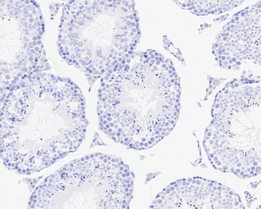
Immunohistochemical analysis of paraffin-embedded mouse testis tissue with Recombinant Rabbit IgG (HA750951) at 1/200 dilution.
The section was pre-treated using heat mediated antigen retrieval with Tris-EDTA buffer (pH 9.0) for 20 minutes. The tissues were blocked in 1% BSA for 20 minutes at room temperature, washed with ddH2O and PBS, and then probed with the primary antibody (HA750951) at 1/200 dilution for 1 hour at room temperature. The detection was performed using an HRP conjugated compact polymer system. DAB was used as the chromogen. Tissues were counterstained with hematoxylin and mounted with DPX.
-
Immunohistochemical analysis of paraffin-embedded rat testis tissue with Recombinant Rabbit IgG (HA750951) at 1/200 dilution.
The section was pre-treated using heat mediated antigen retrieval with Tris-EDTA buffer (pH 9.0) for 20 minutes. The tissues were blocked in 1% BSA for 20 minutes at room temperature, washed with ddH2O and PBS, and then probed with the primary antibody (HA750951) at 1/200 dilution for 1 hour at room temperature. The detection was performed using an HRP conjugated compact polymer system. DAB was used as the chromogen. Tissues were counterstained with hematoxylin and mounted with DPX.
-
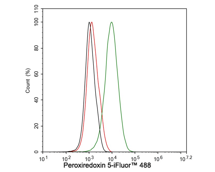
Flow cytometric analysis of HeLa cells labeling Peroxiredoxin 5.
Cells were fixed and permeabilized. Then stained with the primary antibody (HA722061, 1μg/mL) (green) compared with Recombinant Rabbit IgG (HA750951, 1μg/mL) (red). After incubation of the primary antibody at +4℃ for an hour, the cells were stained with a iFluor™ 488 conjugate-Goat anti-Rabbit IgG Secondary antibody (HA1121) at 1/1,000 dilution for 30 minutes at +4℃. Unlabelled sample was used as a control (cells without incubation with primary antibody; black).
-
Flow cytometric analysis of NIH/3T3 cells labeling Peroxiredoxin 5.
Cells were fixed and permeabilized. Then stained with the primary antibody (HA722061, 1μg/mL) (green) compared with Recombinant Rabbit IgG (HA750951, 1μg/mL) (red). After incubation of the primary antibody at +4℃ for an hour, the cells were stained with a iFluor™ 488 conjugate-Goat anti-Rabbit IgG Secondary antibody (HA1121) at 1/1,000 dilution for 30 minutes at +4℃. Unlabelled sample was used as a control (cells without incubation with primary antibody; black).
-
Flow cytometric analysis of C6 cells labeling Peroxiredoxin 5.
Cells were fixed and permeabilized. Then stained with the primary antibody (HA722061, 1μg/mL) (green) compared with Recombinant Rabbit IgG (HA750951, 1μg/mL) (red). After incubation of the primary antibody at +4℃ for an hour, the cells were stained with a iFluor™ 488 conjugate-Goat anti-Rabbit IgG Secondary antibody (HA1121) at 1/1,000 dilution for 30 minutes at +4℃. Unlabelled sample was used as a control (cells without incubation with primary antibody; black).
-
Peroxiredoxin 5 was immunoprecipitated in 0.2mg HeLa cell lysate with HA722061 at 2 µg/10 µl beads. Western blot was performed from the immunoprecipitate using HA722061 at 1/1,000 dilution. Anti-Rabbit IgG for IP Nano-secondary antibody (NBI01H) at 1/5,000 dilution was used for 1 hour at room temperature.
Lane 1: HeLa cell lysate (input)
Lane 2: HA722061 IP in HeLa cell lysate
Lane 3: Recombinant Rabbit IgG (HA750951) instead of HA722061 in HeLa cell lysate
Blocking/Dilution buffer: 5% NFDM/TBST
Exposure time: 43 seconds; ECL: K1801
-
Peroxiredoxin 5 was immunoprecipitated in 0.2mg PC-12 cell lysate with HA722061 at 2 µg/10 µl beads. Western blot was performed from the immunoprecipitate using HA722061 at 1/1,000 dilution. Anti-Rabbit IgG for IP Nano-secondary antibody (NBI01H) at 1/5,000 dilution was used for 1 hour at room temperature.
Lane 1: PC-12 cell lysate (input)
Lane 2: HA722061 IP in PC-12 cell lysate
Lane 3: Recombinant Rabbit IgG (HA750951) instead of HA722061 in PC-12 cell lysate
Blocking/Dilution buffer: 5% NFDM/TBST
Exposure time: 43 seconds; ECL: K1801
-
☑ Cell treatment (CT)
Chromatin immunoprecipitations were performed with cross-linked chromatin from HeLa cells treated with 500ng/mL TSA for 4 hours with Histone H3 (acetyl K27) (HA500046) or Recombinant Rabbit IgG (HA750951) according to the ChIP protocol. The enriched DNA was quantified by real-time PCR using indicated primers. The amount of immunoprecipitated DNA in each sample is represented as signal relative to the total amount of input chromatin, which is equivalent to one.
请注意: All products are "FOR RESEARCH USE ONLY AND ARE NOT INTENDED FOR DIAGNOSTIC OR THERAPEUTIC USE"