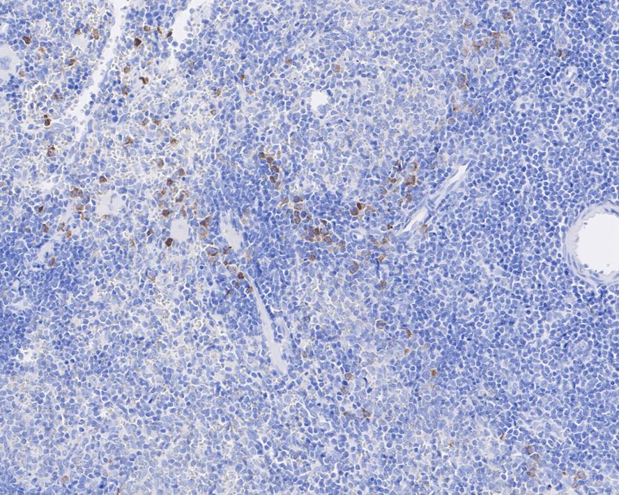
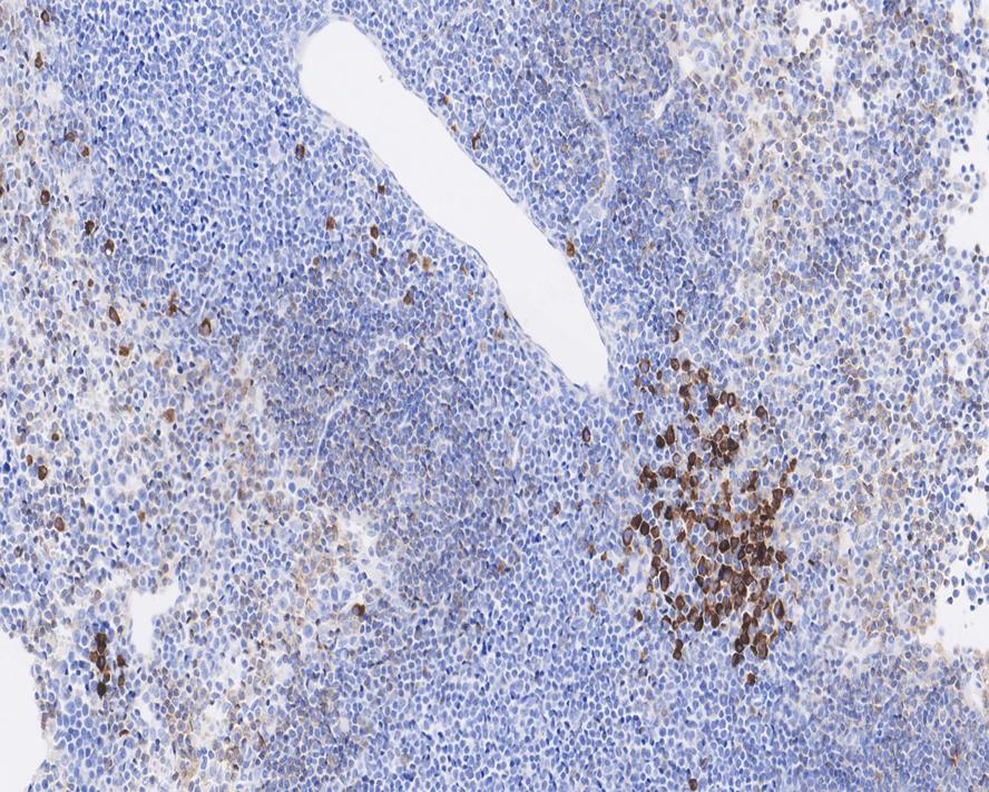
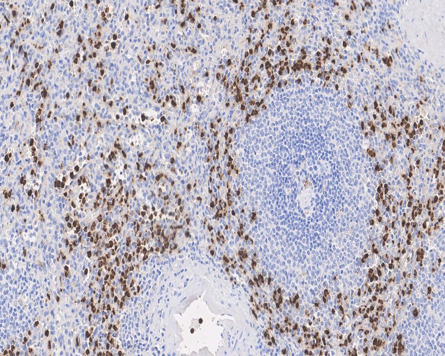
CLP Recombinant Rabbit Monoclonal Antibody [PSH01-73] - BSA and Azide free
Catalog# HA750748
CLP Recombinant Rabbit Monoclonal Antibody [PSH01-73] - BSA and Azide free
Application
-
IHC-P
-
IF-Tissue
Reactivity
-
Human
-
Mouse
-
Rat
With BSA and Azide
-
HA721725
含抗保成分
Conjugation
-
unconjugated
浙公网安备 33019202000643号