-
Western blot analysis of Ubiquinol-Cytochrome C Reductase Core Protein I on different lysates with Rabbit anti-Ubiquinol-Cytochrome C Reductase Core Protein I antibody (HA750699) at 1/5,000 dilution.
Lane 1: HeLa cell lysate (20 µg/Lane)
Lane 2: HepG2 cell lysate (20 µg/Lane)
Lane 3: HCT 116 cell lysate (20 µg/Lane)
Lane 4: 293T cell lysate (20 µg/Lane)
Lane 5: PC-3M cell lysate (20 µg/Lane)
Lane 6: Jurkat cell lysate (20 µg/Lane)
Lane 7: NIH/3T3 cell lysate (20 µg/Lane)
Lane 8: PC-12 cell lysate (20 µg/Lane)
Lane 9: Mouse kidney tissue lysate (40 µg/Lane)
Lane 10: Mouse brain tissue lysate (40 µg/Lane)
Lane 11: Rat kidney tissue lysate (40 µg/Lane)
Lane 12: Rat brain tissue lysate (40 µg/Lane)
Predicted band size: 53 kDa
Observed band size: 45 kDa
Exposure time: 8 seconds;
4-20% SDS-PAGE gel.
Proteins were transferred to a PVDF membrane and blocked with 5% NFDM/TBST for 1 hour at room temperature. The primary antibody (HA750699) at 1/5,000 dilution was used in 5% NFDM/TBST at room temperature for 2 hours. Goat Anti-Rabbit IgG - HRP Secondary Antibody (HA1001) at 1:100,000 dilution was used for 1 hour at room temperature.
-
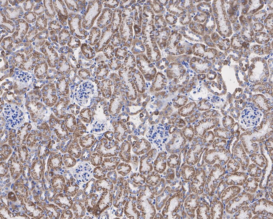
Immunohistochemical analysis of paraffin-embedded human kidney tissue with Rabbit anti-Ubiquinol-Cytochrome C Reductase Core Protein I antibody (HA750699) at 1/5,000 dilution.
The section was pre-treated using heat mediated antigen retrieval with Tris-EDTA buffer (pH 9.0) for 20 minutes. The tissues were blocked in 1% BSA for 20 minutes at room temperature, washed with ddH2O and PBS, and then probed with the primary antibody (HA750699) at 1/5,000 dilution for 1 hour at room temperature. The detection was performed using an HRP conjugated compact polymer system. DAB was used as the chromogen. Tissues were counterstained with hematoxylin and mounted with DPX.
-
Immunohistochemical analysis of paraffin-embedded human liver tissue with Rabbit anti-Ubiquinol-Cytochrome C Reductase Core Protein I antibody (HA750699) at 1/5,000 dilution.
The section was pre-treated using heat mediated antigen retrieval with Tris-EDTA buffer (pH 9.0) for 20 minutes. The tissues were blocked in 1% BSA for 20 minutes at room temperature, washed with ddH2O and PBS, and then probed with the primary antibody (HA750699) at 1/5,000 dilution for 1 hour at room temperature. The detection was performed using an HRP conjugated compact polymer system. DAB was used as the chromogen. Tissues were counterstained with hematoxylin and mounted with DPX.
-
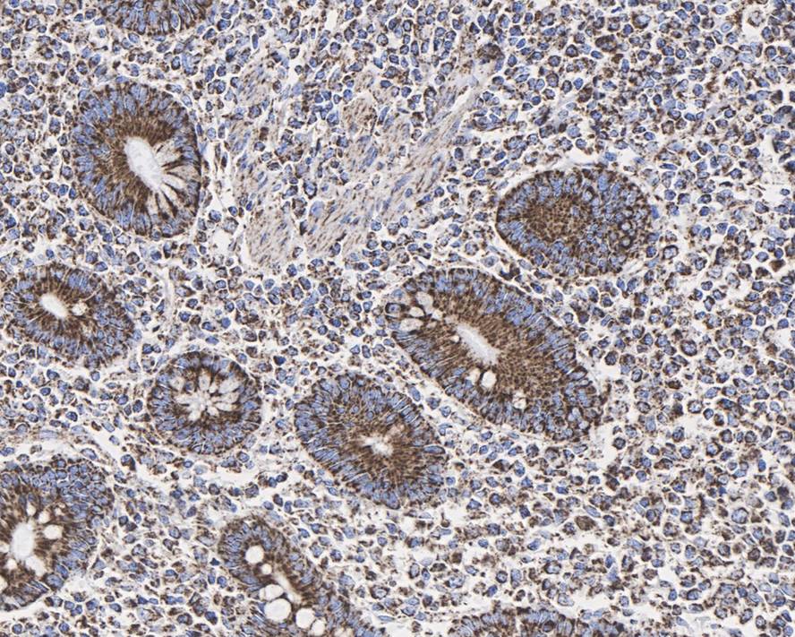
Immunohistochemical analysis of paraffin-embedded human small intestine tissue with Rabbit anti-Ubiquinol-Cytochrome C Reductase Core Protein I antibody (HA750699) at 1/5,000 dilution.
The section was pre-treated using heat mediated antigen retrieval with Tris-EDTA buffer (pH 9.0) for 20 minutes. The tissues were blocked in 1% BSA for 20 minutes at room temperature, washed with ddH2O and PBS, and then probed with the primary antibody (HA750699) at 1/5,000 dilution for 1 hour at room temperature. The detection was performed using an HRP conjugated compact polymer system. DAB was used as the chromogen. Tissues were counterstained with hematoxylin and mounted with DPX.
-
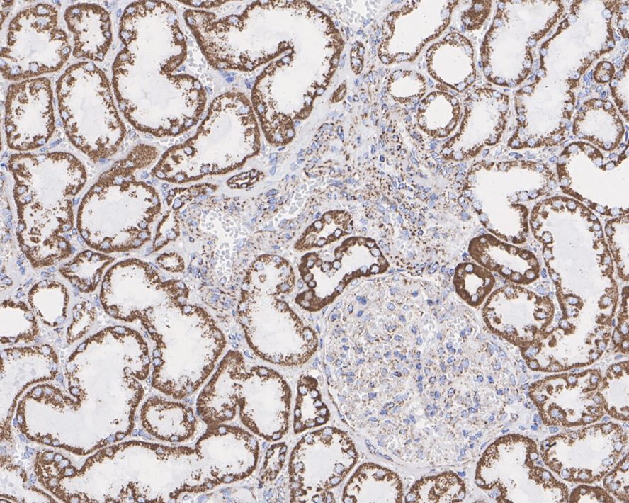
Immunohistochemical analysis of paraffin-embedded mouse kidney tissue with Rabbit anti-Ubiquinol-Cytochrome C Reductase Core Protein I antibody (HA750699) at 1/5,000 dilution.
The section was pre-treated using heat mediated antigen retrieval with Tris-EDTA buffer (pH 9.0) for 20 minutes. The tissues were blocked in 1% BSA for 20 minutes at room temperature, washed with ddH2O and PBS, and then probed with the primary antibody (HA750699) at 1/5,000 dilution for 1 hour at room temperature. The detection was performed using an HRP conjugated compact polymer system. DAB was used as the chromogen. Tissues were counterstained with hematoxylin and mounted with DPX.
-
Immunofluorescence analysis of paraffin-embedded human liver tissue labeling Ubiquinol-Cytochrome C Reductase Core Protein I with Rabbit anti-Ubiquinol-Cytochrome C Reductase Core Protein I antibody (HA750699) at 1/1,000 dilution.
The section was pre-treated using heat mediated antigen retrieval with Tris-EDTA buffer (pH 9.0) for 20 minutes. The tissues were blocked in 10% negative goat serum for 1 hour at room temperature, washed with PBS, and then probed with the primary antibody (HA750699, green) at 1/1,000 dilution overnight at 4 ℃, washed with PBS. Goat Anti-Rabbit IgG H&L (iFluor™ 488, HA1121) was used as the secondary antibody at 1/1,000 dilution. Nuclei were counterstained with DAPI (blue).
-
Immunofluorescence analysis of paraffin-embedded human kidney tissue labeling Ubiquinol-Cytochrome C Reductase Core Protein I with Rabbit anti-Ubiquinol-Cytochrome C Reductase Core Protein I antibody (HA750699) at 1/1,000 dilution.
The section was pre-treated using heat mediated antigen retrieval with Tris-EDTA buffer (pH 9.0) for 20 minutes. The tissues were blocked in 10% negative goat serum for 1 hour at room temperature, washed with PBS, and then probed with the primary antibody (HA750699, green) at 1/1,000 dilution overnight at 4 ℃, washed with PBS. Goat Anti-Rabbit IgG H&L (iFluor™ 488, HA1121) was used as the secondary antibody at 1/1,000 dilution. Nuclei were counterstained with DAPI (blue).
-
Immunocytochemistry analysis of HepG2 cells labeling Ubiquinol-Cytochrome C Reductase Core Protein I with Rabbit anti-Ubiquinol-Cytochrome C Reductase Core Protein I antibody (HA750699) at 1/100 dilution.
Cells were fixed in 4% paraformaldehyde for 20 minutes at room temperature, permeabilized with 0.1% Triton X-100 in PBS for 5 minutes at room temperature, then blocked with 1% BSA in 10% negative goat serum for 1 hour at room temperature. Cells were then incubated with Rabbit anti-Ubiquinol-Cytochrome C Reductase Core Protein I antibody (HA750699) at 1/100 dilution in 1% BSA in PBST overnight at 4 ℃. Goat Anti-Rabbit IgG H&L (iFluor™ 488, HA1121) was used as the secondary antibody at 1/1,000 dilution. PBS instead of the primary antibody was used as the secondary antibody only control. Nuclear DNA was labelled in blue with DAPI.
Beta tubulin (M1305-2, red) was stained at 1/100 dilution overnight at +4℃. Goat Anti-Mouse IgG H&L (iFluor™ 594, HA1126) was used as the secondary antibody at 1/1,000 dilution.
-
Immunocytochemistry analysis of 293T cells labeling Ubiquinol-Cytochrome C Reductase Core Protein I with Rabbit anti-Ubiquinol-Cytochrome C Reductase Core Protein I antibody (HA750699) at 1/100 dilution.
Cells were fixed in 4% paraformaldehyde for 20 minutes at room temperature, permeabilized with 0.1% Triton X-100 in PBS for 5 minutes at room temperature, then blocked with 1% BSA in 10% negative goat serum for 1 hour at room temperature. Cells were then incubated with Rabbit anti-Ubiquinol-Cytochrome C Reductase Core Protein I antibody (HA750699) at 1/100 dilution in 1% BSA in PBST overnight at 4 ℃. Goat Anti-Rabbit IgG H&L (iFluor™ 488, HA1121) was used as the secondary antibody at 1/1,000 dilution. PBS instead of the primary antibody was used as the secondary antibody only control. Nuclear DNA was labelled in blue with DAPI.
Beta tubulin (M1305-2, red) was stained at 1/100 dilution overnight at +4℃. Goat Anti-Mouse IgG H&L (iFluor™ 594, HA1126) was used as the secondary antibody at 1/1,000 dilution.
请注意: All products are "FOR RESEARCH USE ONLY AND ARE NOT INTENDED FOR DIAGNOSTIC OR THERAPEUTIC USE"