图片
-
Immunohistochemical analysis of paraffin-embedded Brdu treated / Untreated / Edu treated mouse embryo brain tissue with Rabbit anti-BrdU antibody (HA750590) at 1/10,000 dilution.
The section was pre-treated using heat mediated antigen retrieval with sodium citrate buffer (pH 6.0) (high pressure) for 2 minutes. The tissues were blocked in 1% BSA for 20 minutes at room temperature, washed with ddH2O and PBS, and then probed with the primary antibody (HA750590) at 1/10,000 dilution for 1 hour at room temperature. The detection was performed using an HRP conjugated compact polymer system. DAB was used as the chromogen. Tissues were counterstained with hematoxylin and mounted with DPX.
-
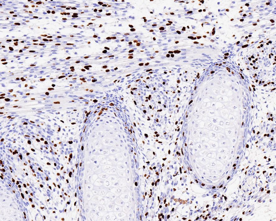
Immunohistochemical analysis of paraffin-embedded BrdU treated mouse embryo cartilage tissue with Rabbit anti-BrdU antibody (HA750590) at 1/10,000 dilution.
The section was pre-treated using heat mediated antigen retrieval with sodium citrate buffer (pH 6.0) (high pressure) for 2 minutes. The tissues were blocked in 1% BSA for 20 minutes at room temperature, washed with ddH2O and PBS, and then probed with the primary antibody (HA750590) at 1/10,000 dilution for 1 hour at room temperature. The detection was performed using an HRP conjugated compact polymer system. DAB was used as the chromogen. Tissues were counterstained with hematoxylin and mounted with DPX.
-
Immunofluorescence analysis of paraffin-embedded BrdU treated mouse embryo tissue labeling BrdU with Rabbit anti-BrdU antibody (HA750590) at 1/2,000 dilution.
The section was pre-treated using heat mediated antigen retrieval with sodium citrate buffer (pH 6.0) (high pressure) for 2 minutes. The tissues were blocked in 10% negative goat serum for 1 hour at room temperature, washed with PBS, and then probed with the primary antibody (HA750590, green) at 1/2,000 dilution overnight at 4 ℃, washed with PBS.
Goat Anti-Rabbit IgG H&L (iFluor™ 488, HA1121) was used as the secondary antibody at 1/1,000 dilution. Nuclei were counterstained with DAPI (blue).
-
Immunocytochemistry analysis of NIH/3T3 cells (Untreated / Brdu treated / Edu treated) labeling BrdU with Rabbit anti-BrdU antibody (HA750590) at 1/200 dilution.
Cells were fixed in 70% ethyl alcohol for 5 minutes at room temperature, then subjected to acid hydrolysis using 2M HCl in TBST for 30 minutes at room temperature. Permeabilized with 0.1% Triton X-100 in PBS for 15 minutes, and then blocked with 2% BSA for 30 minutes at room temperature. Cells were then incubated with Rabbit anti-BrdU antibody (HA750590) at 1/200 dilution in 2% negative goat serum overnight at 4 ℃. Goat Anti-Rabbit IgG H&L (iFluor™ 488, HA1121) was used as the secondary antibody at 1/1,000 dilution. PBS instead of the primary antibody was used as the secondary antibody only control. Nuclear DNA was labelled in blue with DAPI.
-
Dot plot showing Untreated / BrdU treated NIH/3T3 cells stained with HA750590. Cells were incubated with 10 µM BrdU for 30 minutes prior to being harvested, washed twice in 1x PBS and fixed in 70% ethanol at 4℃ for 30 minutes. Once fixed, pellets were acid denatured with 2M HCl for 30 minutes at room temperature and then neutralised with borate buffer (0.1M, pH8.5) for 15 minutes.
Samples were washed and incubated in 10% normal goat serum to block non-specific protein-protein interactions followed by the antibody (HA750590, 1µg/ml) for 30 min at room temperature. The secondary antibody used was iFluor™ 488 conjugate-Goat anti-Rabbit IgG (HA1121) at 1/1,000 dilution for 30 minutes at room temperature.
PI was added to cells 15 min prior to data acquisition.
-
Immunofluorescence analysis of paraffin-embedded EdU treated mouse embryo tissue (Negative) labeling BrdU with Rabbit anti-BrdU antibody (HA750590) at 1/2,000 dilution.
The section was pre-treated using heat mediated antigen retrieval with sodium citrate buffer (pH 6.0) (high pressure) for 2 minutes. The tissues were blocked in 10% negative goat serum for 1 hour at room temperature, washed with PBS, and then probed with the primary antibody (HA750590, green) at 1/2,000 dilution overnight at 4 ℃, washed with PBS.
Goat Anti-Rabbit IgG H&L (iFluor™ 488, HA1121) was used as the secondary antibody at 1/1,000 dilution. Nuclei were counterstained with DAPI (blue).
-
Dot plot showing EdU treated NIH/3T3 cells (Negative) stained with HA750590. Cells were incubated with 10 µM BrdU for 30 minutes prior to being harvested, washed twice in 1x PBS and fixed in 70% ethanol at 4℃ for 30 minutes. Once fixed, pellets were acid denatured with 2M HCl for 30 minutes at room temperature and then neutralised with borate buffer (0.1M, pH8.5) for 15 minutes.
Samples were washed and incubated in 10% normal goat serum to block non-specific protein-protein interactions followed by the antibody (HA750590, 1µg/ml) for 30 min at room temperature. The secondary antibody used was iFluor™ 488 conjugate-Goat anti-Rabbit IgG (HA1121) at 1/1,000 dilution for 30 minutes at room temperature.
PI was added to cells 15 min prior to data acquisition.
请注意: All products are "FOR RESEARCH USE ONLY AND ARE NOT INTENDED FOR DIAGNOSTIC OR THERAPEUTIC USE"