Skip to content

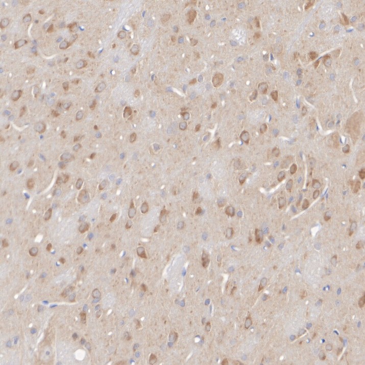
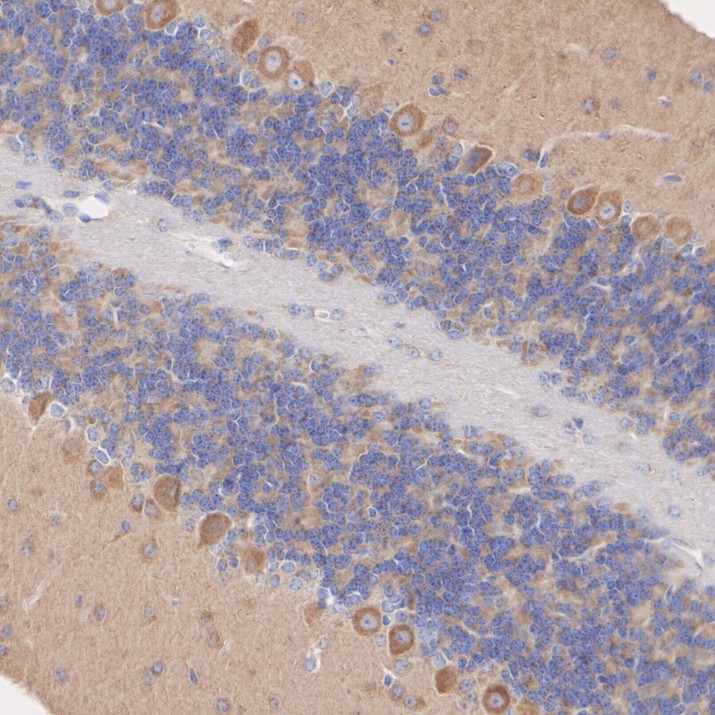
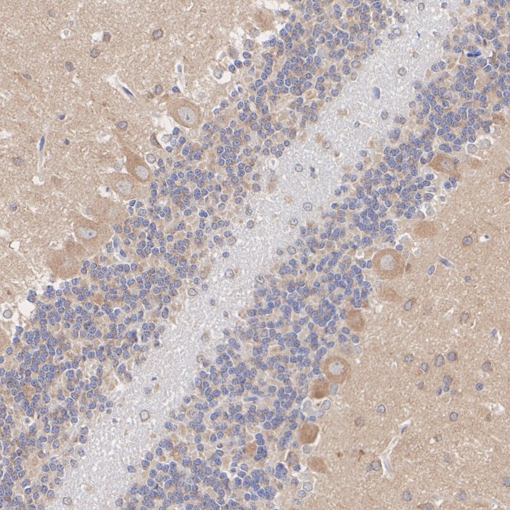
Huntingtin Recombinant Rabbit Monoclonal Antibody [JB89-34] - BSA and Azide free

Rmb: 5600

产品规格

联系我们

邮箱: market@huabio.cn

技术支持电话:0571-86052305

0571-89986345

市场客服电话:0571-88062880

查找各地代理商

Catalog# HA750462

Huntingtin Recombinant Rabbit Monoclonal Antibody [JB89-34] - BSA and Azide free

Application
  • WB

  • IHC-P

  • FC

  • IHC-Fr

  • IF-Cell

  • IF-Tissue

Reactivity
  • Human

  • Mouse

  • Rat

With BSA and Azide
Predicted reactivity
  • Pig

预测的种属支持售后
Conjugation
  • unconjugated

Close (esc)

Popup

Use this popup to embed a mailing list sign up form. Alternatively use it as a simple call to action with a link to a product or a page.

Age verification

By clicking enter you are verifying that you are old enough to consume alcohol.

搜索