-
☑ Cell treatment (CT)
Western blot analysis of Phospho-EIF2S1 (S51) on different lysates with Rabbit anti-Phospho-EIF2S1 (S51) antibody (HA750059) at 1/2,000 dilution.
Lane 1: HeLa whole cell lysate (15 µg/Lane)
Lane 2: HeLa treated with 50nM Calyculin A for 3 hours whole cell lysate (15 µg/Lane)
Lane 3: NIH/3T3 whole cell lysate (15 µg/Lane)
Lane 4: NIH/3T3 treated with 100nM Calyculin A for 30 minutes whole cell lysate (15 µg/Lane)
Lane 5: C6 whole cell lysate (20 µg/Lane)
Lane 6: C6 treated with 100nM Calyculin A for 30 minutes whole cell lysate (20 µg/Lane)
Predicted band size: 36 kDa
Observed band size: 36 kDa
Exposure time: Lane 1-4: 2 minutes; Lane 5-6: 23 seconds;
4-20% SDS-PAGE gel.
Proteins were transferred to a PVDF membrane and blocked with 5% NFDM/TBST for 1 hour at room temperature. The primary antibody (HA750059) at 1/2,000 dilution was used in 5% NFDM/TBST at 4℃ overnight. Goat Anti-Rabbit IgG - HRP Secondary Antibody (HA1001) at 1:50,000 dilution was used for 1 hour at room temperature.
-
☑ Cell treatment (CT)
Western blot analysis of Phospho-EIF2S1 (S51) on THP-1 cell lysates.
Lane 1: THP-1 cells, whole cell lysate, 10ug/lane
Lane 2: THP-1 cells treated with 2.8ug/ul lambda-PP for 30 minutes, whole cell lysates, 10ug/lane
All lanes :
Anti-Phospho-EIF2S1 (S51) antibody (HA750059) at 1/500 dilution. Anti-GAPDH antibody (ET1601-4) at 1/10,000 dilution. Goat Anti-Rabbit IgG H&L (HRP) (HA1001) at 1/200,000 dilution.
Predicted band size: 36 kDa
Observed band size: 36 kDa
Blocking and diluting buffer: 5% BSA.
Exposure time: 3 minutes 43 seconds
-
☑ Cell treatment (CT)
Western blot analysis of Phospho-EIF2S1 (S51) on C2C12 cell lysates.
Lane 1: C2C12 cells, whole cell lysate, 10ug/lane
Lane 2: C2C12 cells treated with 300nM thapsigargin for 30 minutes, whole cell lysates, 10ug/lane
All lanes :
Anti-Phospho-EIF2S1 (S51) antibody (HA750059
) at 1:500 dilution. Anti-GAPDH antibody (ET1601-4) at 1:10,000 dilution. Goat Anti-Rabbit IgG H&L (HRP) (HA1001) at 1/200,000 dilution.
Predicted band size: 36 kDa
Observed band size: 36 kDa
Blocking and diluting buffer: 5% BSA.
Exposure time: 3 minutes 43 seconds
-
☑ Cell treatment (CT)
Western blot analysis of Phospho-EIF2S1 (S51) on mouse spleen tissue lysates.
Lane 1: mouse spleen tissue, whole tissue lysate, 20ug/lane
Lane 2: mouse spleen tissue treated with 2.8ug/ul lambda-PP for 30 minutes, whole tissue lysates, 20ug/lane
All lanes :
Anti-Phospho-EIF2S1 (S51) antibody (HA750059) at 1/500 dilution. Anti-GAPDH antibody (ET1601-4) at 1/10,000 dilution. Goat Anti-Rabbit IgG H&L (HRP) (HA1001) at 1/200,000 dilution.
Predicted band size: 36 kDa
Observed band size: 36 kDa
Blocking and diluting buffer: 5% BSA.
Exposure time: 3 minutes 43 seconds
-
☑ Cell treatment (CT)
Western blot analysis of Phospho-EIF2S1 (S51) on rat spleen tissue lysates.
Lane 1: rat spleen tissue, whole tissue lysate, 20ug/lane
Lane 2: rat spleen tissue treated with 2.8ug/ul lambda-PP for 30 minutes, whole tissue lysates, 20ug/lane
All lanes :
Anti-Phospho-EIF2S1 (S51) antibody (HA750059) at 1/500 dilution. Anti-GAPDH antibody (ET1601-4) at 1/10,000 dilution. Goat Anti-Rabbit IgG H&L (HRP) (HA1001) at 1/200,000 dilution.
Predicted band size: 36 kDa
Observed band size: 36 kDa
Blocking and diluting buffer: 5% BSA.
Exposure time: 1 minute 15 seconds
-
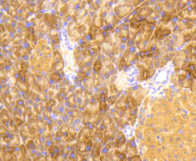
Immunohistochemical analysis of paraffin-embedded human liver tissue using anti-Phospho-EIF2S1 (S51) antibody. The section was pre-treated using heat mediated antigen retrieval with Tris-EDTA buffer (pH 8.0-8.4) for 20 minutes.The tissues were blocked in 5% BSA for 30 minutes at room temperature, washed with ddH2O and PBS, and then probed with the primary antibody (HA750059, 1/50) for 30 minutes at room temperature. The detection was performed using an HRP conjugated compact polymer system. DAB was used as the chromogen. Tissues were counterstained with hematoxylin and mounted with DPX.
-
Immunohistochemical analysis of paraffin-embedded human pancreas tissue using anti-Phospho-EIF2S1 (S51) antibody. The section was pre-treated using heat mediated antigen retrieval with Tris-EDTA buffer (pH 8.0-8.4) for 20 minutes.The tissues were blocked in 5% BSA for 30 minutes at room temperature, washed with ddH2O and PBS, and then probed with the primary antibody (HA750059, 1/50) for 30 minutes at room temperature. The detection was performed using an HRP conjugated compact polymer system. DAB was used as the chromogen. Tissues were counterstained with hematoxylin and mounted with DPX.
-
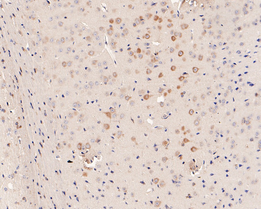
Immunohistochemical analysis of paraffin-embedded mouse brain tissue with Rabbit anti-Phospho-EIF2S1 (S51) antibody (HA750059) at 1/200 dilution.
The section was pre-treated using heat mediated antigen retrieval with Tris-EDTA buffer (pH 9.0) for 20 minutes. The tissues were blocked in 1% BSA for 20 minutes at room temperature, washed with ddH2O and PBS, and then probed with the primary antibody (HA750059) at 1/200 dilution for 1 hour at room temperature. The detection was performed using an HRP conjugated compact polymer system. DAB was used as the chromogen. Tissues were counterstained with hematoxylin and mounted with DPX.
-
Immunohistochemical analysis of paraffin-embedded mouse placenta tissue using anti-Phospho-EIF2S1 (S51) antibody. The section was pre-treated using heat mediated antigen retrieval with Tris-EDTA buffer (pH 8.0-8.4) for 20 minutes.The tissues were blocked in 5% BSA for 30 minutes at room temperature, washed with ddH2O and PBS, and then probed with the primary antibody (HA750059, 1/50) for 30 minutes at room temperature. The detection was performed using an HRP conjugated compact polymer system. DAB was used as the chromogen. Tissues were counterstained with hematoxylin and mounted with DPX.
-
Immunohistochemical analysis of paraffin-embedded mouse pancreas tissue using anti-Phospho-EIF2S1 (S51) antibody. The section was pre-treated using heat mediated antigen retrieval with Tris-EDTA buffer (pH 8.0-8.4) for 20 minutes.The tissues were blocked in 5% BSA for 30 minutes at room temperature, washed with ddH2O and PBS, and then probed with the primary antibody (HA750059, 1/50) for 30 minutes at room temperature. The detection was performed using an HRP conjugated compact polymer system. DAB was used as the chromogen. Tissues were counterstained with hematoxylin and mounted with DPX.
-
Immunohistochemical analysis of paraffin-embedded human prostate carcinoma tissue using anti-Phospho-EIF2S1 (S51) antibody. The section was pre-treated using heat mediated antigen retrieval with Tris-EDTA buffer (pH 8.0-8.4) for 20 minutes.The tissues were blocked in 5% BSA for 30 minutes at room temperature, washed with ddH2O and PBS, and then probed with the primary antibody (HA750059, 1/50) for 30 minutes at room temperature. The detection was performed using an HRP conjugated compact polymer system. DAB was used as the chromogen. Tissues were counterstained with hematoxylin and mounted with DPX.
-
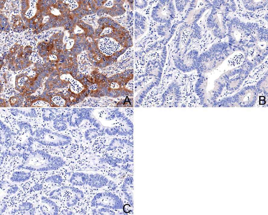
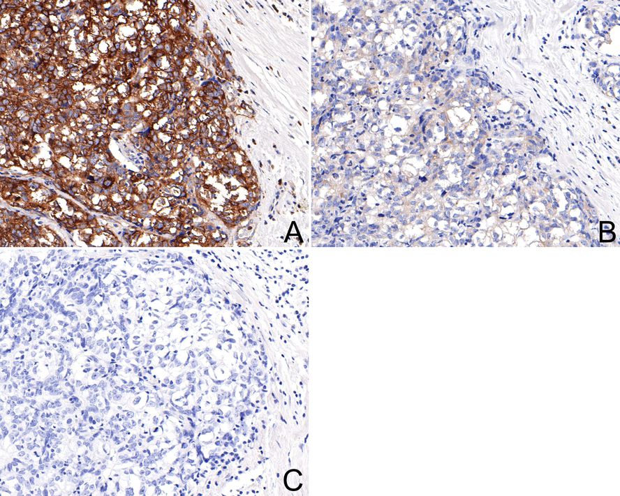
☑ Cell treatment (CT),Relative expression (RE)
Immunohistochemical analysis of paraffin-embedded human breast carcinoma tissue with Rabbit anti-Phospho-EIF2S1 (S51) antibody (HA750059) at 1/200 dilution.
A: Untreated human breast carcinoma tissue
B: λ-PPase treated human breast carcinoma tissue
C: Negative control
The section was pre-treated using heat mediated antigen retrieval with Tris-EDTA buffer (pH 9.0) for 20 minutes. The tissues were blocked in 1% BSA for 20 minutes at room temperature, washed with ddH2O and PBS, and then probed with the primary antibody (HA750059) at 1/200 dilution for 1 hour at room temperature. The detection was performed using an HRP conjugated compact polymer system. DAB was used as the chromogen. Tissues were counterstained with hematoxylin and mounted with DPX.
-
☑ Cell treatment (CT),Relative expression (RE)
Immunohistochemical analysis of paraffin-embedded human colon carcinoma tissue with Rabbit anti-Phospho-EIF2S1 (S51) antibody (HA750059) at 1/200 dilution.
A: Untreated human colon carcinoma tissue
B: λ-PPase treated human colon carcinoma tissue
C: Negative control
The section was pre-treated using heat mediated antigen retrieval with Tris-EDTA buffer (pH 9.0) for 20 minutes. The tissues were blocked in 1% BSA for 20 minutes at room temperature, washed with ddH2O and PBS, and then probed with the primary antibody (HA750059) at 1/200 dilution for 1 hour at room temperature. The detection was performed using an HRP conjugated compact polymer system. DAB was used as the chromogen. Tissues were counterstained with hematoxylin and mounted with DPX.
-
Flow cytometric analysis of Phospho-EIF2S1 (S51) was done on Hela cells. The cells were fixed, permeabilized and stained with the primary antibody (HA750059, 1/50) (blue). After incubation of the primary antibody at room temperature for an hour, the cells were stained with a Alexa Fluor 488-conjugated Goat anti-Rabbit IgG Secondary antibody at 1/1000 dilution for 30 minutes.Unlabelled sample was used as a control (cells without incubation with primary antibody; red).
-
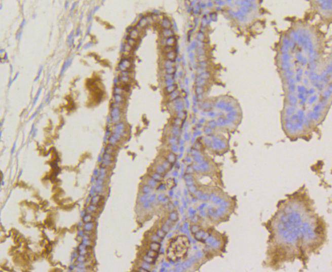
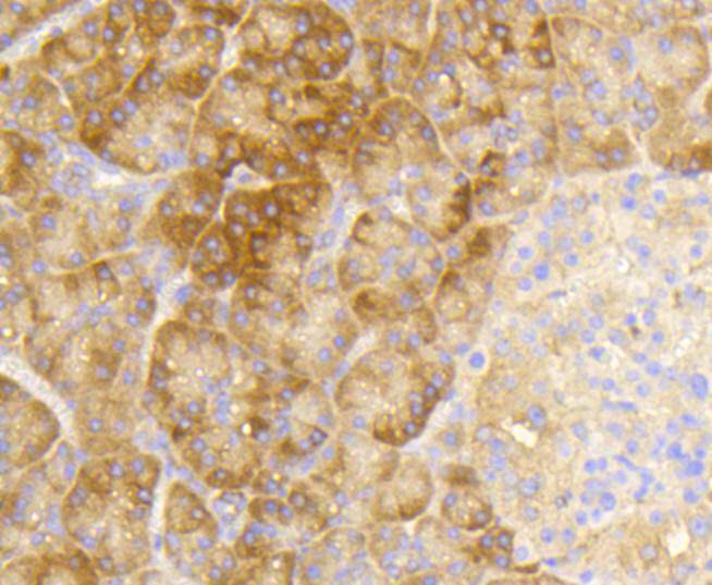
Immunohistochemical analysis of paraffin-embedded mouse pancreas tissue with Rabbit anti-Phospho-EIF2S1 (S51) antibody (HA750059) at 1/1,000 dilution.
The section was pre-treated using heat mediated antigen retrieval with Tris-EDTA buffer (pH 9.0) for 20 minutes. The tissues were blocked in 1% BSA for 20 minutes at room temperature, washed with ddH2O and PBS, and then probed with the primary antibody (HA750059) at 1/1,000 dilution for 1 hour at room temperature. The detection was performed using an HRP conjugated compact polymer system. DAB was used as the chromogen. Tissues were counterstained with hematoxylin and mounted with DPX.
请注意: All products are "FOR RESEARCH USE ONLY AND ARE NOT INTENDED FOR DIAGNOSTIC OR THERAPEUTIC USE"