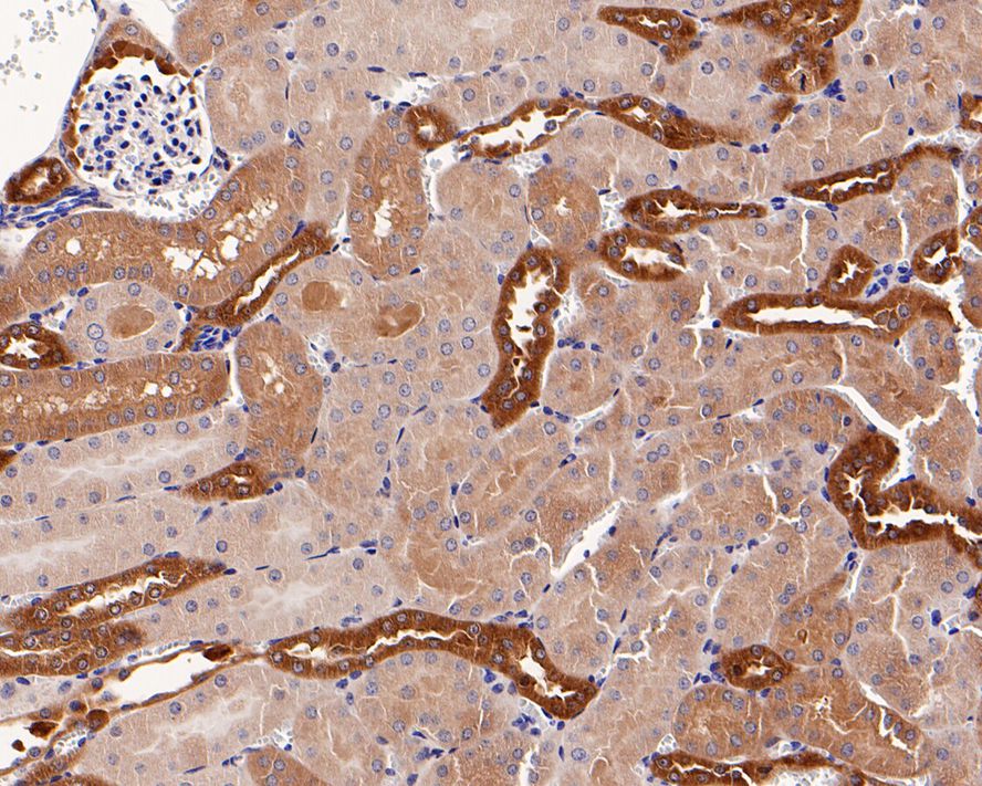
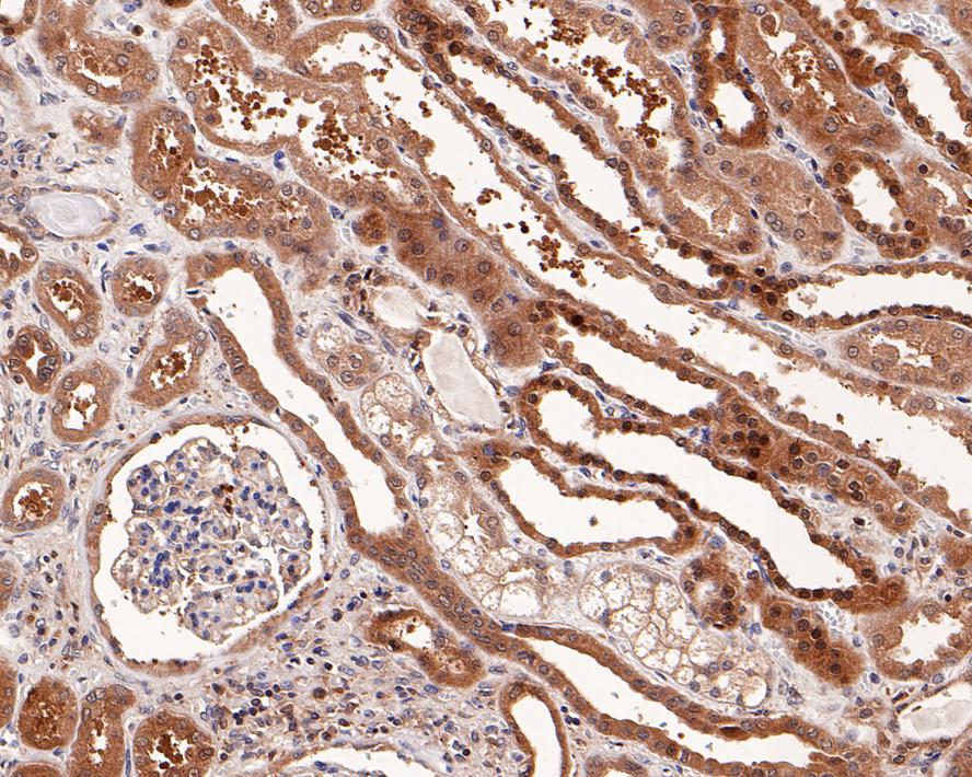
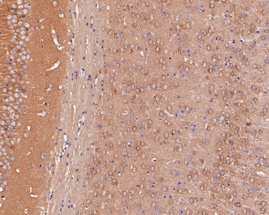
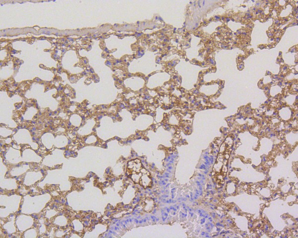
MEK1/2 Recombinant Rabbit Monoclonal Antibody [SR13-07] - BSA and Azide free
Catalog# HA750042
MEK1/2 Recombinant Rabbit Monoclonal Antibody [SR13-07] - BSA and Azide free
Application
-
WB
-
IF-Cell
-
IF-Tissue
-
IHC-P
-
IP
-
FC
Reactivity
-
Human
-
Mouse
-
Rat
With BSA and Azide
-
ET1602-3
含抗保成分
Predicted reactivity
预测的种属支持售后
-
Zebrafish
Conjugation
-
unconjugated
浙公网安备 33019202000643号