RMB: 699 特惠 1500 1500
产品规格
概述
产品名称
TROP2 Recombinant Rabbit Monoclonal Antibody [PSH22-14]
抗体类型
Recombinant Rabbit monoclonal Antibody
种属反应性
Human, Mouse, Rat
验证应用
WB, IF-Cell, IHC-Fr, IHC-P, IF-Tissue
分子量
Predicted band size: 36 kDa
阳性对照
MDA-MB-468 cell lysate, MCF7 cell lysate, SK-Br-3 cell lysate, A431 cell lysate, Mouse skin tissue lysate, Mouse lung tissue lysate, Rat skin tissue lysate, Rat lung tissue lysate, MCF7, human breast cancer tissue, human breast ductal carcinoma tissue, human cervical squamous cell carcinoma tissue, human urothelial carcinoma tissue, human prostate cancer tissue, human kidney tissue, human skin tissue, mouse kidney tissue, mouse skin tissue, rat skin tissue.
偶联
unconjugated
克隆号
PSH22-14
反应性数据
Tested 已验证(内部验证通过)
Published 文献已报道(未内部验证,但有文献支持)
Predicted 预测可反应(基于高同源性)
Not recommended 不推荐(内部验证未通过)
| WB | IF-Cell | IHC-Fr | IHC-P | IF-Tissue | |
|---|---|---|---|---|---|
| Human |
|
|
|
|
|
| Mouse |
|
|
|
|
|
| Rat |
|
|
|
|
产品特性
形态
Liquid
浓度
存放说明
Shipped at 4℃. Store at +4℃ short term (1-2 weeks). It is recommended to aliquot into single-use upon delivery. Store at -20℃ long term.
存储缓冲液
PBS (pH7.4), 0.1% BSA, 40% Glycerol. Preservative: 0.05% Sodium Azide.
亚型
IgG
纯化方式
Protein A affinity purified.
应用稀释度
-
WB
-
1:2,000-1:5,000
-
IF-Cell
-
1:2,500
-
IHC-Fr
-
1:500
-
IHC-P
-
1:1,000
-
IF-Tissue
-
1:400
靶点
功能
Tumor-associated calcium signal transducer 2, also known as Trop-2 and as epithelial glycoprotein-1 antigen (EGP-1) is a protein that in humans is encoded by the TACSTD2 gene. Mutations of this gene result in gelatinous drop-like corneal dystrophy, an autosomal recessive disorder characterized by severe corneal amyloidosis leading to blindness. Trop-2 expression was originally described in trophoblasts (placenta) and fetal tissues (e.g., lung). Later, its expression was also described in the normal stratified squamous epithelium of the skin, uterine cervix, esophagus, and tonsillar crypts. Trop-2 plays a role in tumor progression by actively interacting with several key molecular signaling pathways traditionally associated with cancer development and progression. Aberrant overexpression of Trop-2 has been described in several solid cancers, such as colorectal, renal, lung, and breast cancers. Trop-2 expression has also been described in some rare and aggressive malignancies, e.g., salivary duct, anaplastic thyroid, uterine/ovarian, and neuroendocrine prostate cancers. This overexpression is caused by deregulations at a transcriptional and posttranscriptional level.
背景文献
1. Tang W et al. Targeting Trop2 by Bruceine D suppresses breast cancer metastasis by blocking Trop2/beta-catenin positive feedback loop. J Adv Res. 2024 Apr
2. Chou J et al. TROP2 Expression Across Molecular Subtypes of Urothelial Carcinoma and Enfortumab Vedotin-resistant Cells. Eur Urol Oncol. 2022 Dec
亚细胞定位
Membrane.
别名
Cell surface glycoprotein Trop 2 antibody
Cell surface glycoprotein Trop-2 antibody
Cell surface glycoprotein Trop2 antibody
Epithelial glycoprotein 1 antibody
GA733 1 antibody
GA7331 antibody
M1S 1 antibody
M1S1 antibody
Membrane component chromosome 1 surface marker 1 antibody
Pancreatic carcinoma marker protein GA733 1 antibody
展开Cell surface glycoprotein Trop 2 antibody
Cell surface glycoprotein Trop-2 antibody
Cell surface glycoprotein Trop2 antibody
Epithelial glycoprotein 1 antibody
GA733 1 antibody
GA7331 antibody
M1S 1 antibody
M1S1 antibody
Membrane component chromosome 1 surface marker 1 antibody
Pancreatic carcinoma marker protein GA733 1 antibody
Pancreatic carcinoma marker protein GA733-1 antibody
Pancreatic carcinoma marker protein GA7331 antibody
TACD 2 antibody
TACD2_HUMAN antibody
TACSTD 2 antibody
Tacstd2 antibody
Trop 2 antibody
Trop2 antibody
Tumor associated calcium signal transducer 2 precursor antibody
Tumor-associated calcium signal transducer 2 antibody
折叠图片
-
☑ Relative expression (RE)
Western blot analysis of TROP2 on different lysates with Rabbit anti-TROP2 antibody (HA724275) at 1/5,000 dilution.
Lane 1: MDA-MB-468 cell lysate (10 µg/Lane)
Lane 2: MCF7 cell lysate (10 µg/Lane)
Lane 3: SK-Br-3 cell lysate (10 µg/Lane)
Lane 4: A431 cell lysate (10 µg/Lane)
Lane 5: HEK-293 cell lysate (negative) (10 µg/Lane)
Predicted band size: 36 kDa
Observed band size: 40-60 kDa
Exposure time: 10 seconds; ECL: K1801;
4-20% SDS-PAGE gel.
Proteins were transferred to a PVDF membrane and blocked with 5% NFDM/TBST for 1 hour at room temperature. The primary antibody (HA724275) at 1/5,000 dilution was used in primary antibody dilution (K1803) at 4℃ overnight. Goat Anti-Rabbit IgG - HRP Secondary Antibody (HA1001) at 1/50,000 dilution was used for 1 hour at room temperature.
Negative control: HEK-293 (PMID: 38250577). -
☑ Relative expression (RE)
Western blot analysis of TROP2 on different lysates with Rabbit anti-TROP2 antibody (HA724275) at 1/5,000 dilution.
Lane 1: Mouse skin tissue lysate (20 µg/Lane)
Lane 2: Mouse lung tissue lysate (20 µg/Lane)
Lane 3: Mouse liver tissue lysate (negative) (20 µg/Lane)
Lane 4: Rat skin tissue lysate (20 µg/Lane)
Lane 5: Rat lung tissue lysate (20 µg/Lane)
Lane 6: Rat liver tissue lysate (negative) (20 µg/Lane)
Predicted band size: 36 kDa
Observed band size: 40-60 kDa
Exposure time: 20 seconds; ECL: K1801;
4-20% SDS-PAGE gel.
Proteins were transferred to a PVDF membrane and blocked with 5% NFDM/TBST for 1 hour at room temperature. The primary antibody (HA724275) at 1/5,000 dilution was used in primary antibody dilution (K1803) at 4℃ overnight. Goat Anti-Rabbit IgG - HRP Secondary Antibody (HA1001) at 1/50,000 dilution was used for 1 hour at room temperature.
Negative control: liver tissue (PMID: 38250577). -
☑ Relative expression (RE)
Immunocytochemistry analysis of MCF7 (positive) and HEK-293 (negative) labeling TROP2 with Rabbit anti-TROP2 antibody (HA724275) at 1/2,500 dilution.
Cells were fixed in 4% paraformaldehyde for 15 minutes at room temperature, permeabilized with 0.1% Triton X-100 in PBS for 15 minutes at room temperature, then blocked with 1% BSA in 10% negative goat serum for 1 hour at room temperature. Cells were then incubated with Rabbit anti-TROP2 antibody (HA724275) at 1/2,500 dilution in 1% BSA in PBST overnight at 4 ℃. Goat Anti-Rabbit IgG H&L (iFluor™ 488, HA1121) was used as the secondary antibody at 1/1,000 dilution. PBS instead of the primary antibody was used as the secondary antibody only control. Nuclear DNA was labelled in blue with DAPI.
Beta tubulin (HA601187, red) was stained at 1/100 dilution overnight at +4℃. Goat Anti-Mouse IgG H&L (iFluor™ 594, HA1126) was used as the secondary antibody at 1/1,000 dilution.
Negative control: HEK-293 (PMID: 38250577). -
Application: IHC-Fr
Species: Mouse
Site: kidney
Sample: Frozen section
Antibody concentration: 1/500
Antigen retrieval: Not required -
Immunohistochemical analysis of paraffin-embedded human breast cancer tissue with Rabbit anti-TROP2 antibody (HA724275) at 1/1,000 dilution.
The section was pre-treated using heat mediated antigen retrieval with Tris-EDTA buffer (pH 9.0) for 20 minutes. The tissues were blocked in 1% BSA for 20 minutes at room temperature, washed with ddH2O and PBS, and then probed with the primary antibody (HA724275) at 1/1,000 dilution for 1 hour at room temperature. The detection was performed using an HRP conjugated compact polymer system. DAB was used as the chromogen. Tissues were counterstained with hematoxylin and mounted with DPX. -
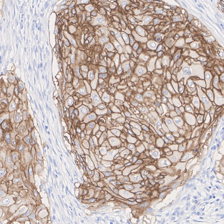
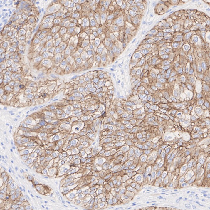
Immunohistochemical analysis of paraffin-embedded human breast ductal carcinoma tissue with Rabbit anti-TROP2 antibody (HA724275) at 1/1,000 dilution.
The section was pre-treated using heat mediated antigen retrieval with Tris-EDTA buffer (pH 9.0) for 20 minutes. The tissues were blocked in 1% BSA for 20 minutes at room temperature, washed with ddH2O and PBS, and then probed with the primary antibody (HA724275) at 1/1,000 dilution for 1 hour at room temperature. The detection was performed using an HRP conjugated compact polymer system. DAB was used as the chromogen. Tissues were counterstained with hematoxylin and mounted with DPX. -
Immunohistochemical analysis of paraffin-embedded human cervical squamous cell carcinoma tissue with Rabbit anti-TROP2 antibody (HA724275) at 1/1,000 dilution.
The section was pre-treated using heat mediated antigen retrieval with Tris-EDTA buffer (pH 9.0) for 20 minutes. The tissues were blocked in 1% BSA for 20 minutes at room temperature, washed with ddH2O and PBS, and then probed with the primary antibody (HA724275) at 1/1,000 dilution for 1 hour at room temperature. The detection was performed using an HRP conjugated compact polymer system. DAB was used as the chromogen. Tissues were counterstained with hematoxylin and mounted with DPX. -
Immunohistochemical analysis of paraffin-embedded human urothelial carcinoma tissue with Rabbit anti-TROP2 antibody (HA724275) at 1/1,000 dilution.
The section was pre-treated using heat mediated antigen retrieval with Tris-EDTA buffer (pH 9.0) for 20 minutes. The tissues were blocked in 1% BSA for 20 minutes at room temperature, washed with ddH2O and PBS, and then probed with the primary antibody (HA724275) at 1/1,000 dilution for 1 hour at room temperature. The detection was performed using an HRP conjugated compact polymer system. DAB was used as the chromogen. Tissues were counterstained with hematoxylin and mounted with DPX. -
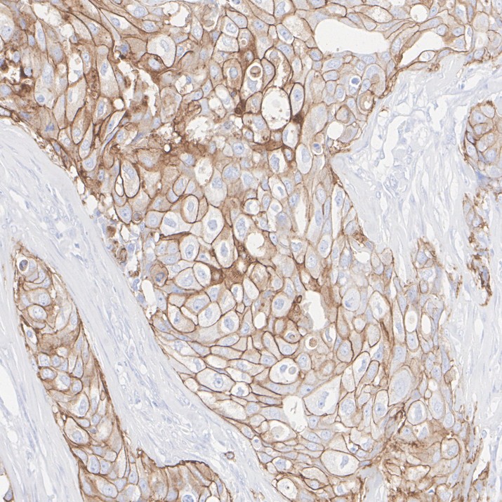
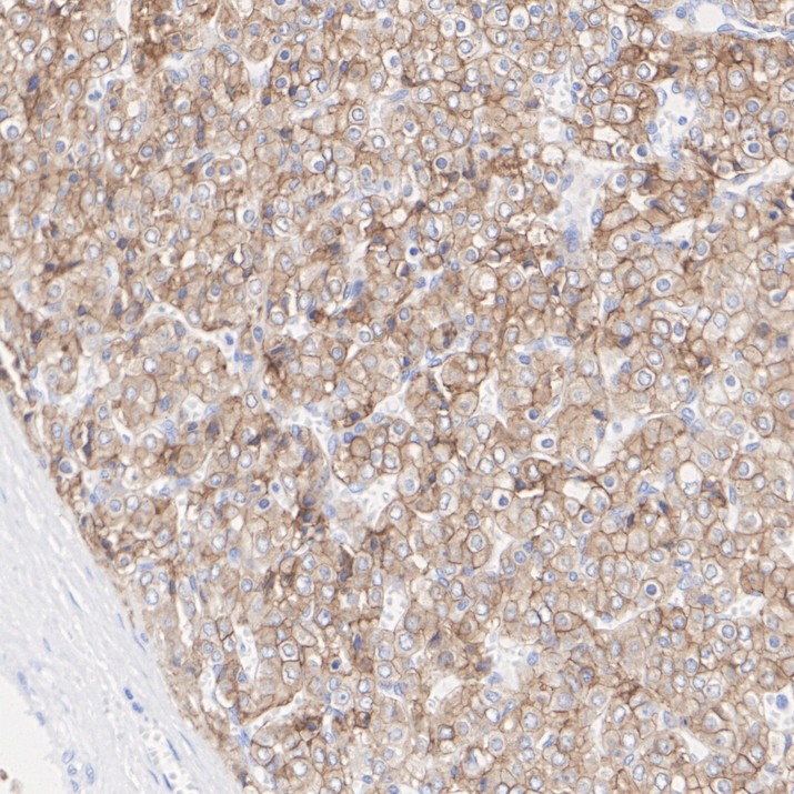
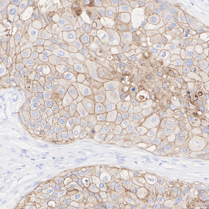
Immunohistochemical analysis of paraffin-embedded human prostate cancer tissue with Rabbit anti-TROP2 antibody (HA724275) at 1/1,000 dilution.
The section was pre-treated using heat mediated antigen retrieval with Tris-EDTA buffer (pH 9.0) for 20 minutes. The tissues were blocked in 1% BSA for 20 minutes at room temperature, washed with ddH2O and PBS, and then probed with the primary antibody (HA724275) at 1/1,000 dilution for 1 hour at room temperature. The detection was performed using an HRP conjugated compact polymer system. DAB was used as the chromogen. Tissues were counterstained with hematoxylin and mounted with DPX. -
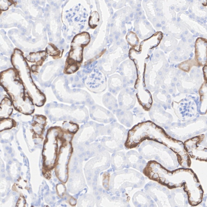
Immunohistochemical analysis of paraffin-embedded human kidney tissue with Rabbit anti-TROP2 antibody (HA724275) at 1/1,000 dilution.
The section was pre-treated using heat mediated antigen retrieval with Tris-EDTA buffer (pH 9.0) for 20 minutes. The tissues were blocked in 1% BSA for 20 minutes at room temperature, washed with ddH2O and PBS, and then probed with the primary antibody (HA724275) at 1/1,000 dilution for 1 hour at room temperature. The detection was performed using an HRP conjugated compact polymer system. DAB was used as the chromogen. Tissues were counterstained with hematoxylin and mounted with DPX. -
Immunohistochemical analysis of paraffin-embedded human skin tissue with Rabbit anti-TROP2 antibody (HA724275) at 1/1,000 dilution.
The section was pre-treated using heat mediated antigen retrieval with Tris-EDTA buffer (pH 9.0) for 20 minutes. The tissues were blocked in 1% BSA for 20 minutes at room temperature, washed with ddH2O and PBS, and then probed with the primary antibody (HA724275) at 1/1,000 dilution for 1 hour at room temperature. The detection was performed using an HRP conjugated compact polymer system. DAB was used as the chromogen. Tissues were counterstained with hematoxylin and mounted with DPX. -
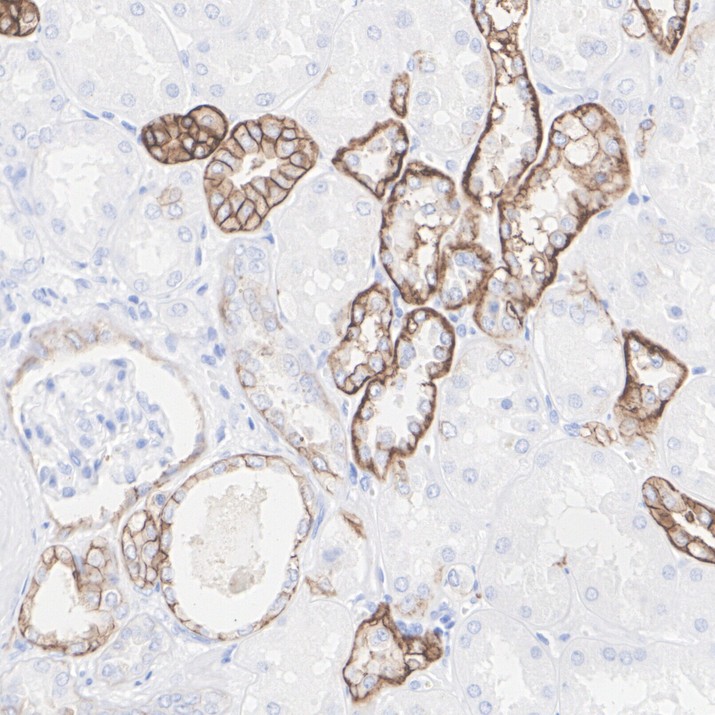
Immunohistochemical analysis of paraffin-embedded mouse kidney tissue with Rabbit anti-TROP2 antibody (HA724275) at 1/1,000 dilution.
The section was pre-treated using heat mediated antigen retrieval with Tris-EDTA buffer (pH 9.0) for 20 minutes. The tissues were blocked in 1% BSA for 20 minutes at room temperature, washed with ddH2O and PBS, and then probed with the primary antibody (HA724275) at 1/1,000 dilution for 1 hour at room temperature. The detection was performed using an HRP conjugated compact polymer system. DAB was used as the chromogen. Tissues were counterstained with hematoxylin and mounted with DPX. -
Immunohistochemical analysis of paraffin-embedded mouse skin tissue with Rabbit anti-TROP2 antibody (HA724275) at 1/1,000 dilution.
The section was pre-treated using heat mediated antigen retrieval with Tris-EDTA buffer (pH 9.0) for 20 minutes. The tissues were blocked in 1% BSA for 20 minutes at room temperature, washed with ddH2O and PBS, and then probed with the primary antibody (HA724275) at 1/1,000 dilution for 1 hour at room temperature. The detection was performed using an HRP conjugated compact polymer system. DAB was used as the chromogen. Tissues were counterstained with hematoxylin and mounted with DPX. -
Immunohistochemical analysis of paraffin-embedded rat skin tissue with Rabbit anti-TROP2 antibody (HA724275) at 1/1,000 dilution.
The section was pre-treated using heat mediated antigen retrieval with Tris-EDTA buffer (pH 9.0) for 20 minutes. The tissues were blocked in 1% BSA for 20 minutes at room temperature, washed with ddH2O and PBS, and then probed with the primary antibody (HA724275) at 1/1,000 dilution for 1 hour at room temperature. The detection was performed using an HRP conjugated compact polymer system. DAB was used as the chromogen. Tissues were counterstained with hematoxylin and mounted with DPX. -
Application: IF-Tissue
Species: Human
Site: skin
Sample: Paraffin-embedded section
Antibody concentration: 1/400 -
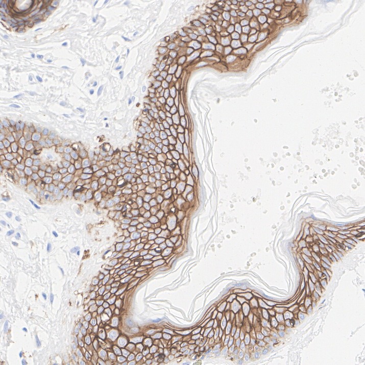
Application: IF-Tissue
Species: Rat
Site: skin
Sample: Paraffin-embedded section
Antibody concentration: 1/400
请注意: All products are "FOR RESEARCH USE ONLY AND ARE NOT INTENDED FOR DIAGNOSTIC OR THERAPEUTIC USE"


浙公网安备 33019202000643号