Catalog# HA723130
Nanos3 Recombinant Rabbit Monoclonal Antibody [PSH09-65]
Application
-
WB
-
IF-Cell
-
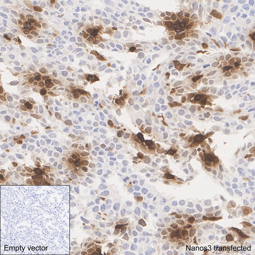
IHC-P
Reactivity
-
Human
BSA and Azide free
-
HA751307
不含抗保成分
Conjugation
-
unconjugated


浙公网安备 33019202000643号