Catalog# HA722901
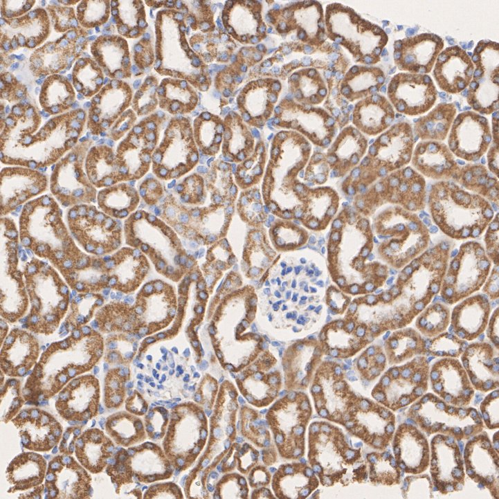
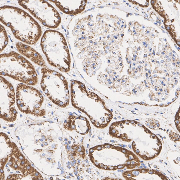
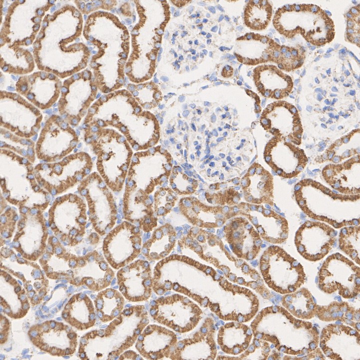
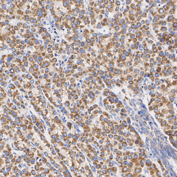
SDHB Recombinant Rabbit Monoclonal Antibody [JE77-70]
Application
-
WB
-
IHC-P
-
IP
-
IF-Cell
Reactivity
-
Human
-
Mouse
-
Rat


