Catalog# HA722216
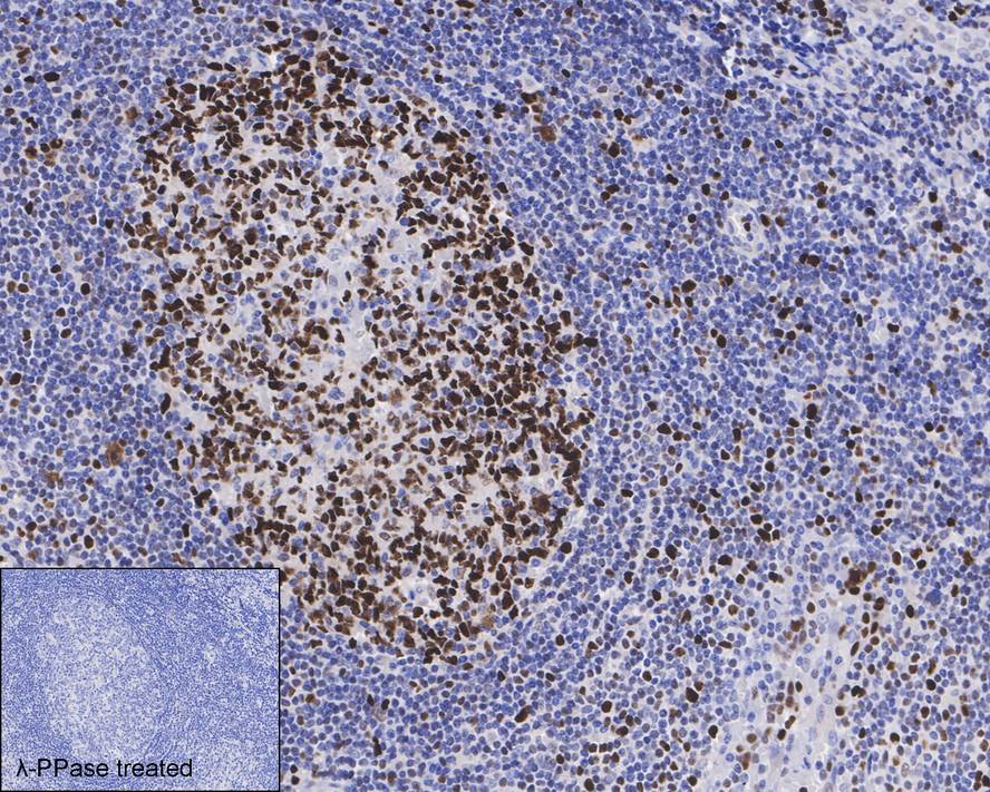
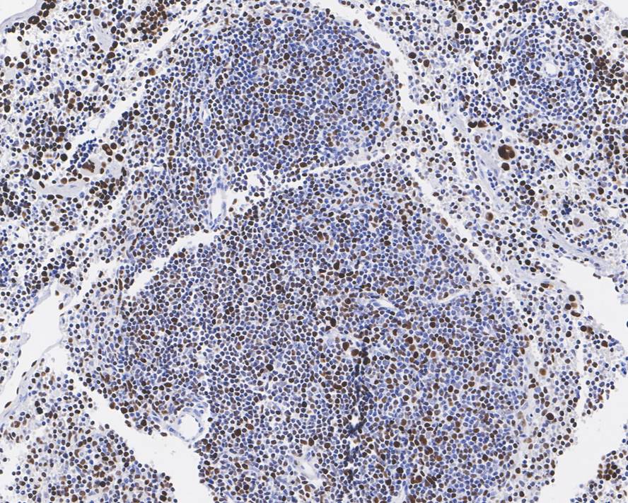
Phospho-MCM2 (S40) Recombinant Rabbit Monoclonal Antibody [JE35-01]
Application
-
WB
-
IF-Cell
-
IHC-P
-
FC
-
IF-Tissue
Reactivity
-
Human
-
Mouse
-
Rat
Conjugation
-
unconjugated


浙公网安备 33019202000643号