Catalog# HA722054
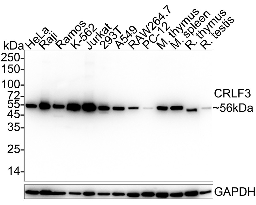
CRLF3 Recombinant Rabbit Monoclonal Antibody [PSH03-88]
Application
-
WB
-
IF-Cell
Reactivity
-
Human
-
Mouse
-
Rat
BSA and Azide free
-
HA750913
不含抗保成分
Conjugation
-
unconjugated

浙公网安备 33019202000643号