Catalog# HA721730
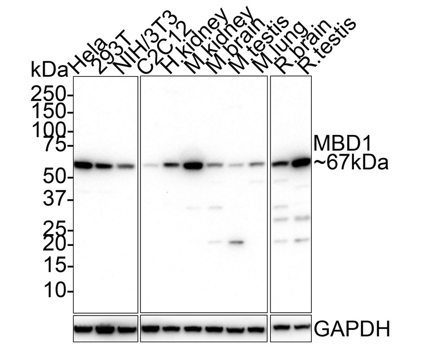
MBD1 Recombinant Rabbit Monoclonal Antibody [PSH01-78]
Application
-
WB
Reactivity
-
Human
-
Mouse
-
Rat
BSA and Azide free
-
HA750752
不含抗保成分
Conjugation
-
unconjugated


浙公网安备 33019202000643号