Catalog# HA721721
PSMA Recombinant Rabbit Monoclonal Antibody [PD00-72]
Application
-
WB
-
IF-Cell
-
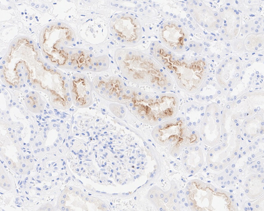
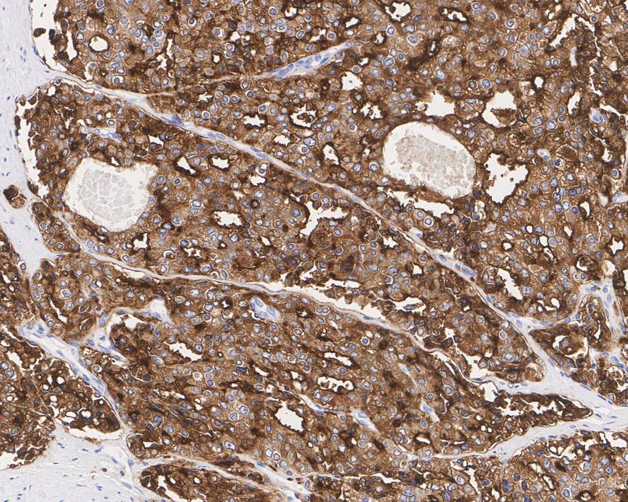
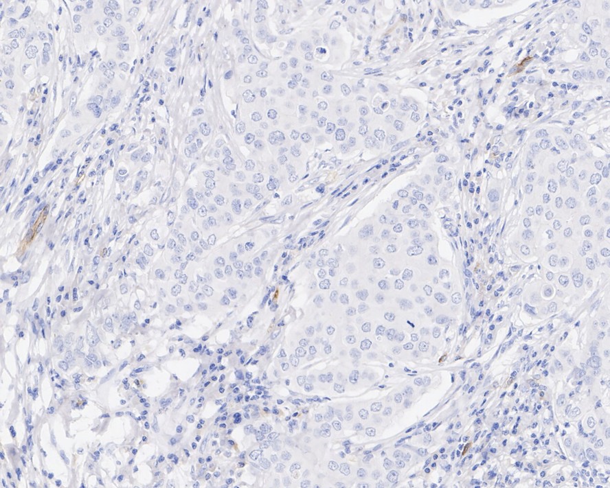
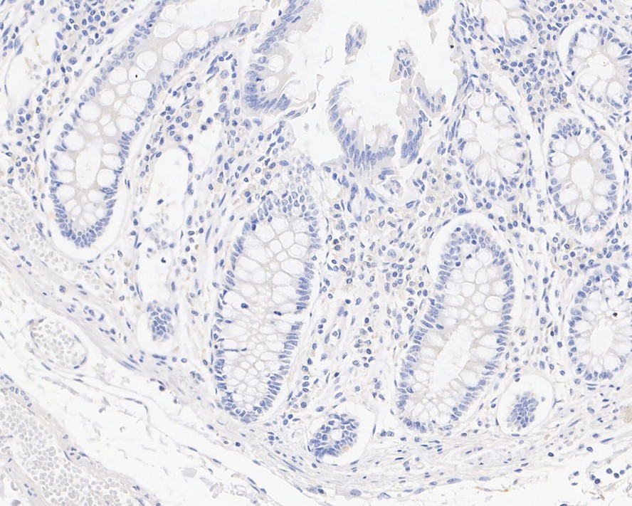
IHC-P
-
IF-Tissue
Reactivity
-
Human
Conjugation
-
unconjugated



浙公网安备 33019202000643号