Catalog# HA721669
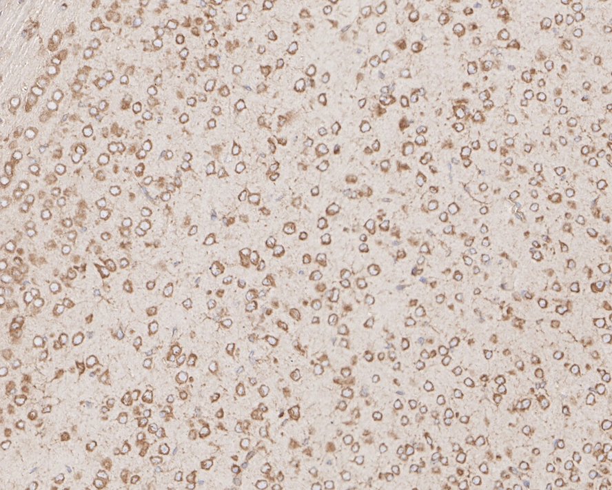
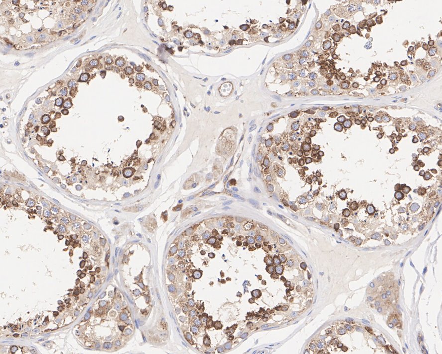
FXR1 Recombinant Rabbit Monoclonal Antibody [PSH01-35]
Application
-
WB
-
IHC-P
-
IF-Cell
-
IP
Reactivity
-
Human
-
Mouse
-
Rat
-
Monkey
BSA and Azide free
-
HA750713
不含抗保成分
Conjugation
-
unconjugated


浙公网安备 33019202000643号